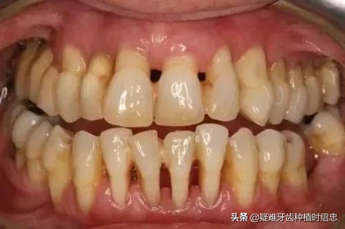
在口腔中最可怕的其实是牙龈萎缩,因为牙龈萎缩是不可逆的,不像其他的口腔疾病可以治疗修复。发生牙龈萎缩后几乎很难修复恢复,而且牙龈萎缩太过严重会导致牙齿松动脱落,即使想植牙也不太容易。

而牙齿酸痛来自牙本质暴露了,吃冷热接触就会神经敏感,想挽救得看看病因,一般习惯横着刷牙,接近根部位置会缺损,还有牙龈的问题,比如牙周病,牙根变长,酸痛更明显。
另外洗牙后牙结石被去除,牙龈萎缩,这时牙龈已经长不回去,就会持续酸痛,当然也有生理性牙龈退缩,这个和年龄有关,属于正常的牙龈高度降低。

如何解决牙齿酸痛?
像牙颈部缺损,除了纠正刷牙方式,还得对根部的缺口进行充填,堵住后牙本质就不会暴露了,而牙龈的话,只能通过手术来掩盖牙本质,当牙周病被控制后,中度或重度萎缩可以做引导组织再生术。

轻度萎缩建议护理即可,定期洗牙等避免萎缩恶化,或者刷抗过敏牙膏,能堵住牙本质小管,以及抑制神经传输,如果酸痛忍不了,脱敏的方法有很多,如氟保护剂,粘结剂,激光脱敏等,效果最好的就属于激光脱敏了,也不会复发。
如何防止牙龈往下退?
剩下的牙周膜很少,牙周病引起的要先控制炎症,那就得牙周系统性治疗,洗牙是最基础的,还得深度洁牙,刮掉根部牙结石,感染物少了,牙龈就不会再萎缩,酸痛好很多。

不过注意牙周炎还会复发,要定期检查,半年洗一次,萎缩部位容易有牙菌斑堆积,一定要用牙线清理,有条件最好是水牙线,冲洗掉食物残渣,不然萎缩加深,牙根暴露越多,牙齿三度松动,就会逐渐脱落。
所以,牙龈萎缩较轻的,先控制炎症再脱敏,牙本质缺损的,要及时补牙。
我们该如何预防牙龈萎缩呢?
定期进行口腔检查牙周炎、牙结石等,都是刺激引致牙龈萎缩的原因,所以应定期到口腔医院或者诊所检查,以便对症处理。每6到12个月洁一次牙,是预防牙龈炎症的有效措施。
定期口腔检查还能发现口腔潜在的各种问题哦。已有牙周病症状的患者,应及时接受系统牙周治疗。

刷牙姿势要正确掌握正确的刷牙方法。避免使用硬毛刷,选用软毛牙刷,配合使用牙缝刷、牙线以清理牙刷难以彻底清洁的牙间隙。刷牙动作一定要轻柔,心里默念这是我的牙,坏了可就没了。
