近日,我院口腔颌面外科在徐州疫情解封后的首月即完成一例在口腔颌面外科具有高显示度、高难度的口咽、颅底巨大神经鞘瘤手术。
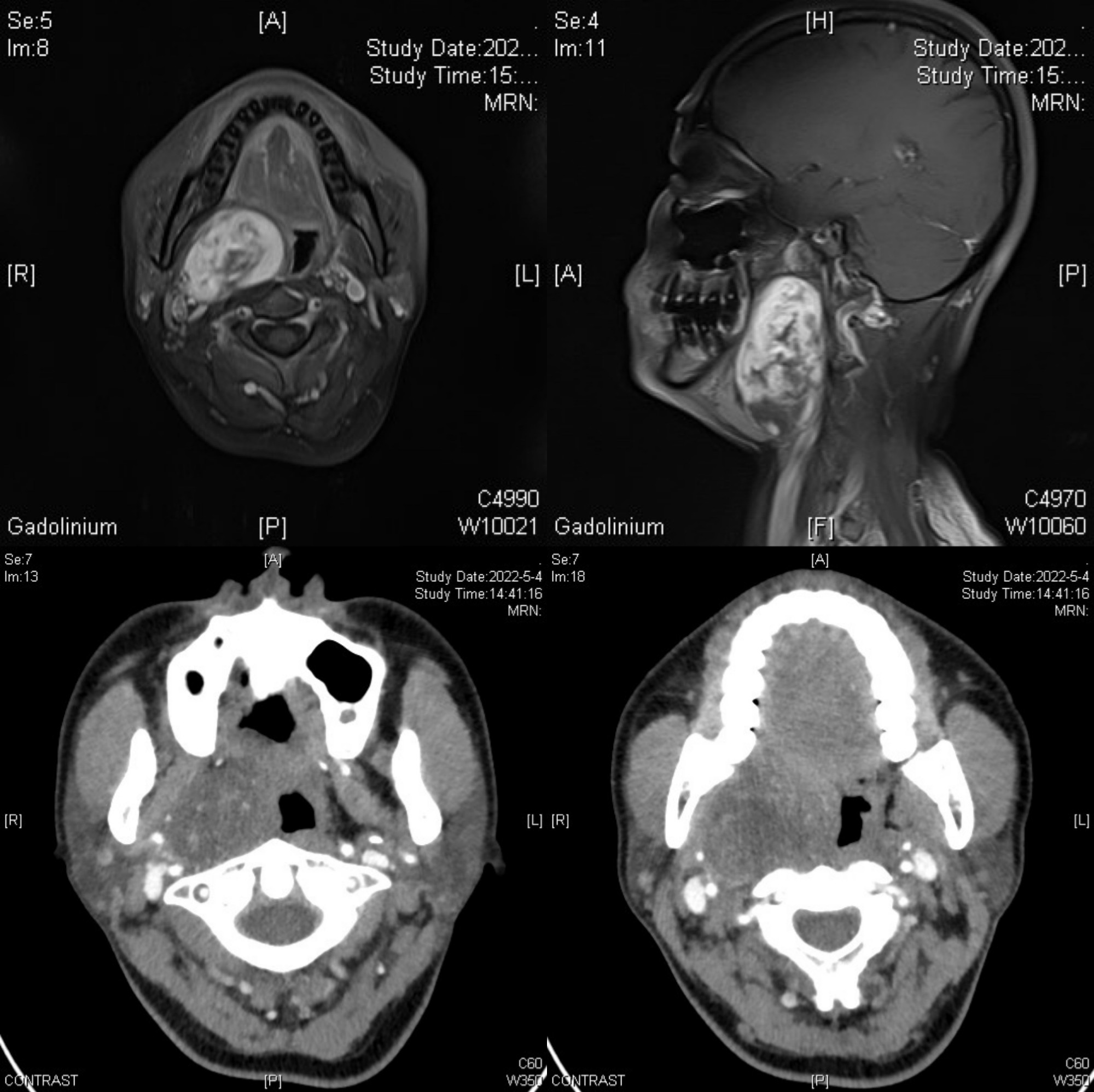
患者女性,47岁,因发现右颌下区肿物6年入住我院口腔颌面外科。入院后经过颌面部增强CT和增强MRI检查发现患者为右侧口咽部肿物,肿物体积较大,上达颅底翼外肌水平,下至甲状软骨水平,致使半侧咽腔堵塞。李家锋主任凭借影像学资料及多年的临床经验,初步考虑为神经鞘瘤可能。但由于肿物体积较大,位于咽侧深区,毗邻颈部重要大血管,致使该手术具有较大的难度和风险。既往对于该类型肿瘤,由于肿物体积较大,为避免重要血管及神经损伤,术中需暂时劈开下颌骨暴露肿物实施手术。术前和患者及其家属沟通后,患者对下颌骨暂时劈开心理负担很大,希望尽可能避免下颌骨的劈开。
为减少手术创伤及考虑到患者及其家属强烈要求,避免下颌骨暂时劈开,李家锋主任、吕中静博士在术前经过周密考虑并制定详尽的手术计划,带领团队成员通过颈外入路囊内摘除方式成功摘除肿瘤。术中发现该患者为来源于迷走神经的神经鞘瘤,李家锋主任、吕中静博士及团队成员在手术实施过程中,精准分离,充分保护颈内外动静脉及迷走神经,该患者术后并无相应的神经症状手术并发症的出现。该患者在术后1周顺利出院。该手术的成功实施,不仅最大程度减轻了患者的身体伤害,降低了患者经济负担,还加速了患者术后康复,缩短了术后康复时间。
神经鞘瘤又称为施万瘤,来源于神经鞘膜,头颈部神经鞘瘤主要发生于脑神经,如面神经、舌下神经、迷走神经及颈交感干。其生长缓慢,包膜完整,属于良性肿瘤,但也可发生恶变。神经鞘瘤患者一般无明显的临床症状,来源于感觉神经者可有疼痛不适症状。其治疗方式为手术摘除,术后并发症主要为手术损伤神经引起的一系列临床症状,如迷走神经的神经鞘瘤术后可能出现声嘶、呛咳等症状;交感神经神经鞘瘤术后可出现Horner综合征;而面神经神经鞘瘤术后可出现面瘫症状。
近年来,口腔科积极践行医院1234高质量发展战略,李家锋主任带领科室成员不懈努力、认真学习国内外先进技术,加强与国内一流学科的交流和接轨,不断勇攀技术高峰。与次例手术同日,李家锋主任带领团队又完成另外一例口咽、牙龈颌颈联合根治+胸大肌皮瓣修复+气管切开手术。这表明我院口腔科在口腔颌面部肿瘤诊治方面取得了重大进展。

