水肿这个事情,大家应该都不陌生。这是由于大量的体液潴留存在,使得身体局部或者全身出现皮肤肿胀,说简单一些就是皮肤一按一个坑。

看到一个人,咱们先是会看到他的面相,所以今天的水肿咱们也从面部说起。这种面部水肿的发病机制一般都属于肾炎性水肿。

该水肿会出现肾排水过少,体内水潴留过多从而出现血管内水分向外渗出的症状。水分流出后,又会怎样造成水肿症状呢?
这个一般都优先流到压力比较多的皮肤薄嫩、有洞口的地方,所以面部首当其冲,既有薄面,又有孔窍,水肿就发生了。

水肿一般都会引起血压升高,所以当出现水肿后,医生给你量血压,也不要吃惊!
面部水肿说完了,咱们讲一讲腿肿,这个多发生于肾综。

肾综患者一般会出现大量的尿蛋白流失,造成血管内白蛋白减少,血管内的水无法被管制,从而造成水肿。而腿部的血管流动比较困难,因为这一部分血液从脚底到心脏要克服的地心引力相对大,此时从脚部开始的水肿会更明显。
腿肿和脸肿其中一点是不一样的,出现腿肿的肾综患者没有高血压。

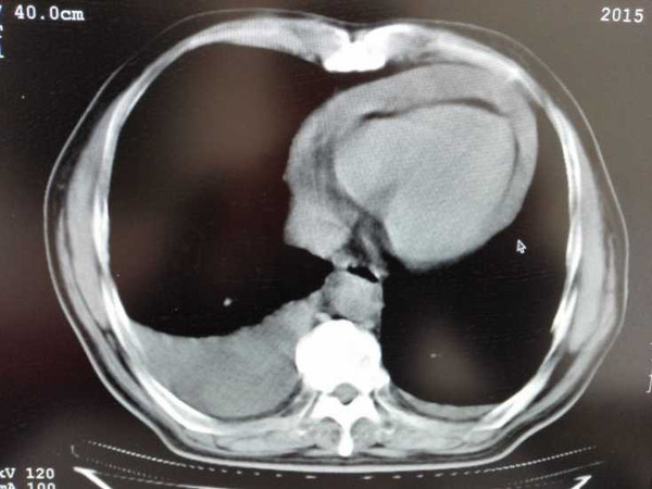
一旦病情逐渐加重,就会出现水肿蔓延全身的症状,还会引发腹水、胸腔积液、纵隔积液、心包积液、肺水肿的现象。
全身性的水肿,患者一定要及时治疗,因为一旦胸腔积液在0.5L以上后,人就会感觉到呼吸不适,影响正常生活。

肺水肿比较危险,会导致呼吸极度困难,甚至会休克、频临死亡。
腹水会引起静脉淤血,肝肾细胞死亡率会增加;还会易引起机体感染,严重时会突发肾衰。

长时间心包积液会发展为慢性心包积液,量大时有可能导致心包填塞,甚至导致死亡。
在大部分腿肿或者脸肿的阶段,经过科学有效的治疗,患者的症状比较容易控制。

可是如果情况很严重了,先前肯定没有正规治疗,这就是深思一下了......
肾博士,专注打造肾病健康领域第一名,精彩内容,点击下面“了解更多”!