肝脏是人体内最大的实质器官,成年人的肝脏重量约为体重的2%左右,肝脏又是维持人体生命活动必不可少的一个重要器官,而且是人体内新陈代谢最重要且最活跃的器官,可比喻为人体的一个巨大的“化学工厂”,而肝脏又是属于一个相对“沉默”的器官,早期肝病往往是不会有什么特殊症状的,因此肝脏疾病的早期发现通常都不是依靠症状来诊断。

肝脏功能复杂且繁多
我国每年新发肝癌人数超过40万,肝硬化的发病人数至少达数百万,此外,查体发现的各种肝脏阴影或占位也在困扰着相当多的人,那么医生是如何来确诊这些肝病呢?
一、为什么在我国肝病如此这样高发?
各种肝脏疾病在我国比较常见,其原因是多方面的——
肝炎病毒感染者众多:目前仍然有7000多万的“乙肝病毒携带者”——又称为非活动性HBsAg携带者(inactive HBsAg carrier),和2000万慢性乙型肝炎患者,后者尤为危险,如果不加以控制,有相当高的比例会进展为肝硬化,甚至肝癌。数据显示,由慢性肝炎、肝纤维化进展为肝硬化的风险为5年发生率12-25%,由肝硬化进展为肝癌的风险为5年发生率6-15%,由肝硬化进展为肝衰竭的风险为5年发生率20-30%。因此对于乙肝感染者,定期复查和及时治疗对于减少严重肝病的发生具有相当重要的意义。

肝炎、肝硬化、肝癌三部曲
脂肪肝、饮酒者众多:随着生活方式的改变、人口老龄化,以及肥胖症和酒精滥用现象的日趋增多,中国脂肪肝患病率迅速增长,脂肪肝正成为中国越来越重要的慢性非传染性疾病。 目前,脂肪肝已取代病毒性肝炎成为中国居民第一大肝脏疾病,抽样调查显示:中国成人非酒精性脂肪性肝病的患病率约15%,其中80%-90%为单纯脂肪肝,虽然轻-中度脂肪肝不至于引起明显的肝功能异常,但重度脂肪肝如果不加以逆转,也有发生肝硬化、肝癌的风险。酒精性脂肪肝属于酒精性肝病的一种表现形式,酒精性肝硬化严重者会出现肝功能衰竭,导致死亡。

脂肪肝的危害不容小觑
滥用保健品、药物者众多:已知全球有1100多种上市药物具有潜在肝毒性,常见的包括非甾体类抗炎药(NSAIDs)、抗感染药物(含抗结核药物)、抗肿瘤药物、中枢神经系统用药、心血管系统用药、代谢性疾病用药、激素类药物、某些生物制剂和中草药制剂(TCM)等,其中国内有报道相关药物涉及的肝毒性比例分别为:TCM(23%)、抗感染药(17.6%)、抗肿瘤药(15%)、激素类药(14%)、心血管药物(10%)、NSAIDs(8.7%)、免疫*制剂抑**(4.7%)、镇静和神经精神药物(2.6%)。因此务必要重视药物性肝损害!

环境、水、食品污染严重:以黄曲霉毒素为代表的致癌物,是由霉菌产生的致癌物,主要污染土壤、粮油食品、动植物食品等,如花生、玉米,大米、小麦、豆类、坚果类、肉类、乳及乳制品、水产品等均可能有黄曲霉毒素污染,其中以花生和玉米污染最严重。

食品污染需要重视
二、如何分辨肝脏病变,哪些检查手段可以帮助我们
腹部超声是筛查各种肝脏疾病的首选检查手段:超声检查对人体无不良影响,可重复,费用相对低,目前新的检查项目如超声造影可进一步提高诊断准确率,此外在超声导引下穿刺活检可直接获取组织学诊断疑难病灶,手术中的超声检查也能帮助外科医生发现微小病灶和进行针对治疗,更是肝病治疗后的定期随访手段。但是超声检查有其局限性,对于较小(<2cm)的病灶,或病灶位于靠近膈顶部或肋骨后方时有局限,不易发现,而且特异性相对较差,分辨率低,人为因素影响较大。
增强CT检查作为分辨肝脏占位的主要手段:增强CT是通过往静脉血管里注射造影剂之后再做检查,否则没有造影剂强化的CT甚至有时候还不如超声检查,通常情况下,造影剂引起过敏概率极低,只有严重过敏体质、合并肾功能损害才属禁忌,CT的缺点是存在一定性放射性伤害,对于很小的病灶(<1cm)鉴别困难,也有可能遗漏。
增强MRI对肝脏占位的诊断价值已超越增强CT检查:增强核磁对脂肪肝、肝硬化合并肝癌、不典型肝脏结节、较小肝癌病灶的诊断具有相当优势,特别是普美显强化的核磁对于难以确诊的肝癌具有相当的优势,但核磁的缺点是检查时间较长(20-30分钟),有噪声和伪影(受呼吸影响),如果体内有金属物
也会影响检查结果。

B超、CT、核磁是常用的影像学检查手段
肿瘤标记物可以筛查肝脏肿瘤:甲胎蛋白(α-Fetoprotein,AFP)是确诊原发性肝癌的主要肿瘤标记物,其中60~70%的肝癌病人AFP会高于正常值;糖类抗原19-9(CA19-9)在肝癌的阳性率大约30~50%;癌胚抗原(CEA)异常升高且肝脏有阴影时,需要警惕转移性肝癌。
病理学检查:仍然是恶性肿瘤诊断的“金标准”,可以通过超声引导经皮细针穿刺活检,或者是在腹腔镜下直视或超声引导下取活检,由于肝脏再生功能很强大,肝穿刺活检检查抽取的肝组织很小,对肝脏功能无实质性影响,是一种低风险的检查手段。

肝穿刺活检对于难以诊断的肝脏病灶仍然是重要的方法
对于难以确诊的晚期肿瘤,可以选择PET-CT检查,这是一种对转移癌的敏感性高的检查手段,主要用于有无淋巴结转移、骨、肺等转移病灶评估。但价格昂贵,一般不作为常规检查手段,不推荐作为健康查体项目,PET-CT对人体的放射性损伤相对较大。

PET-CT
三、除原发性肝癌之外的肝脏占位性疾病有哪些?
其实如果没有肝癌的高危因素,体检发现的肝脏阴影或占位大多数为良性病:
不均匀脂肪肝:主要原因是脂肪含量在肝脏分布不均匀,使得部分脂肪肝在B超上也可表现为像占位一样的阴影,但是CT和核磁是可以明确诊断的,如果脂肪肝好转,这种病灶也可以逐渐消失;
肝脓肿:属于肝脏的感染性疾病,发病人群在老年人多见,特别合并糖尿病者,多有发热、肝区钝痛等症状,一般都容易诊断,但需要和肝脏恶性肿瘤合并坏死感染相鉴别;
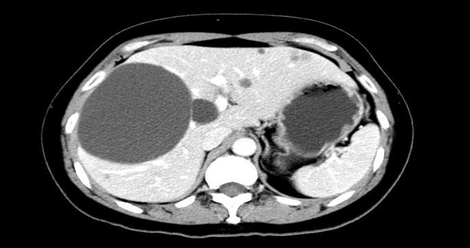
肝囊肿:分为单纯性肝囊肿及多囊肝,是最常见的肝脏囊性占位,单纯性肝囊肿增长缓慢,而多囊肝常合并多囊肾,影像学检查具有典型特点;

图中黑色圆形病灶为肝囊肿
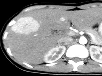
局灶性结节增生(FNH):年轻人多见,是由正常肝细胞、血管、胆管和kupffer细胞组成,无正常肝小叶结构,病灶中央为星状纤维瘢痕,向周围放射分隔,无包膜,与正常肝实质分界清楚,容易误诊,特别是需要和肝脏肿瘤相鉴别;

图中白色病灶为FNH
肝血管瘤:大多数为肝海绵状血管瘤,大者可达10cm以上,是最常见的肝脏良性占位,女性发病率多于男性,在CT和核磁有特征性表现,特别是核磁,呈圆形或类圆形低信号,在T2相病灶呈高信号,又称“灯泡”征;

图中白色为血管瘤
肝脏中有某些病灶存在潜在癌变的风险,如肝腺瘤:女性多见,超过半数患者有连续服用口服避孕药5年以上的经历,肝硬化结节和巨大再生结节:MRN(macroregenerative nodule) 是指硬变肝脏中体积明显大于其周围结节的结节状病变,多发或单发性园形或椭园形结节,直径多为0.5~3cm ,色泽和质地明显不同,界限清楚,由肝细胞组成, 必须含有汇管结构。

腺瘤存在癌变和出血的风险
转移性肝癌——各个脏器的恶性肿瘤均可转移到肝脏:除了原发性肝癌是来自于肝脏自身之外,肝脏也是其他部位恶性肿瘤容易发生转移的部位,如下图所示,这些器官的恶性肿瘤都可以转移到肝脏。

转移性肝癌可来自于身体各个器官
结语
总而言之,肝脏占位或阴影大多数为良性,但由于我国慢性肝病人数众多,在无法确诊时,建议及时到正规大医院进行诊断。当然对于年轻人来讲,保持健康的日常饮食和生活习惯,坚持锻炼身体,远离有害物质,保证良好的心态对于防治肝脏疾病具有重要的意义。