宝宝换牙其实也是一个很折腾的事儿,原本觉得那是美与不美整不整齐才是关键,但其实并不是所有的孩子都能顺利张全一口洁白漂亮的恒牙。
正常恒牙一般在乳牙脱落后2-3月就可以顺利萌出,如果孩子的恒牙久久不能萌出,妈妈们可就要当心了,宝宝遭遇了“恒牙阻生”。
不要以为成人的智齿才会生长很大障碍,宝宝的恒牙更替同样会遭到很大阻力,这是由于牙在颌骨内由于位置不当,不能萌出到正常咬合位置导致的.
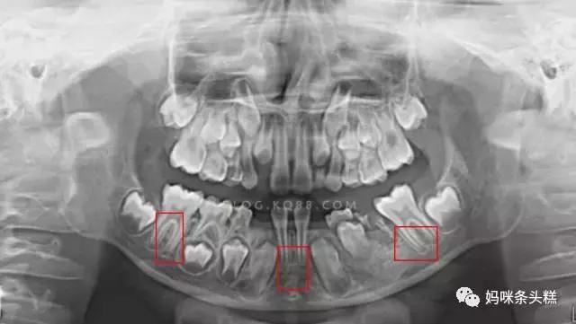
在遇到这类问题时,医生会选择给宝宝拍片,确定埋伏在牙床中未萌出的恒牙到底遭遇了什么情况。

比如这张影像就是典型恒牙先天缺失,这类情况也就无法期待恒牙萌出,解决方案就只能考虑今后在缺口位置安装代替牙来解决。

有的并不是恒牙缺失,但恒牙萌出角度偏差,又遇到相邻牙齿的阻力导致无法萌出,这时需要根据牙齿与牙齿间的间隙空间情况,决定是否需要拔除阻生牙齿,让恒牙正常萌出。

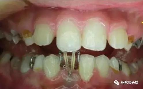
拔除后除了提供恒牙正常生长的间隙,还会需要根据牙齿埋伏的深浅程度决定是否需要进行恒牙牵引,帮助萌出。
恒牙的阻生看则是影响美观,牙齿缺失,但实际真实情况远不止于此,阻生牙牙冠周围的牙龈常常会发炎,疼痛,严重时脸颊可以肿胀,张口困难,甚至全身发热,颌下淋巴结肿大。
阻生牙常常还会引起邻牙龋坏,松动,牙槽骨吸收等症状,妈妈们有发现宝宝恒牙萌出不正常的情况,需要及时带宝宝前往牙科检查并尽早介入治疗。
(部分图片来源网络)
更多母婴使用资讯可关注微信公众号“妈咪条头糕”