
前几天带墨仔复查牙齿,路上碰见几个经常一起溜娃的熟人,听说我们要去检查牙齿都表现出惊讶的样子,说这么小的孩子检查牙齿没意义啊,最后都要换牙的,以前的孩子都是这样长大的。
这样的质疑声实在听得太多了,我笑了笑没反驳,我之所以坚持带墨仔检查牙齿,是因为之前我总是犹豫着要不要给墨仔涂氟,加上平时的护理不足,最后导致墨仔的龋齿非常严重。
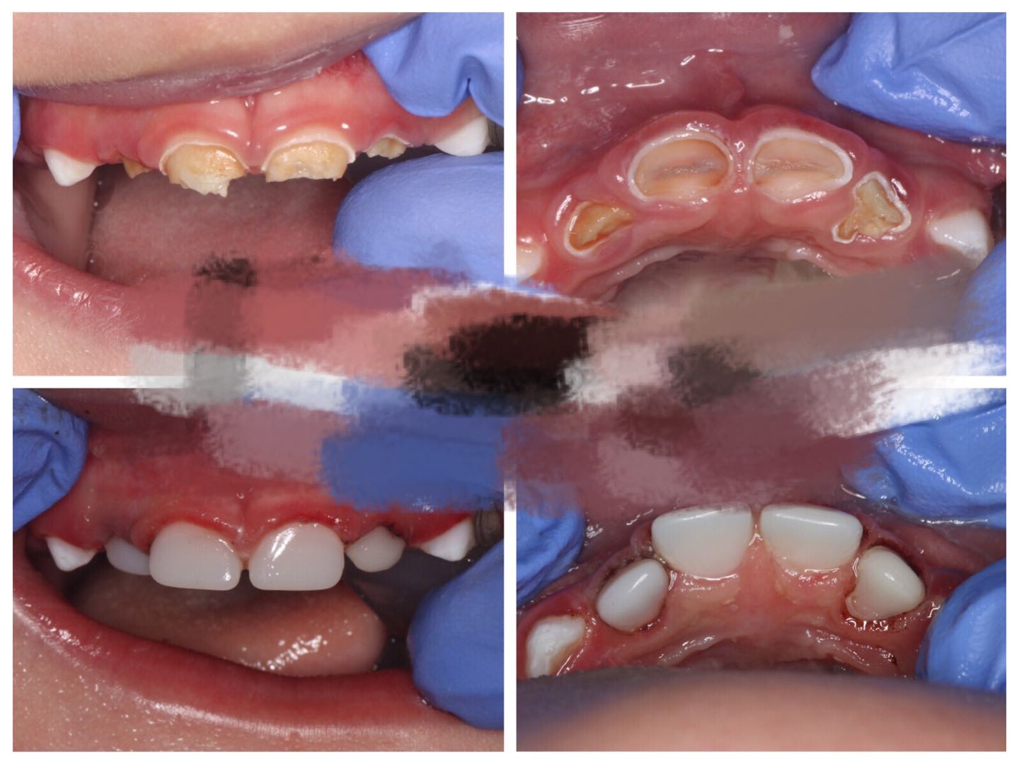
墨仔一岁多一点的时候,4颗乳牙全部龋齿(两颗大门牙、两颗上乳侧切牙),牙釉质基本全部蛀掉,整个牙齿只剩下不到三分之一,下面这张是当时墨仔去补牙的时候的治疗图,上半部分是补牙前,下半部分是补牙后的,医生说墨仔的龋齿是比较严重的,再拖下去,恐怕就要伤及牙神经,到时候就只能做根管治疗了。
墨仔现在2岁半,补牙以后定期复查、涂氟,不能懈怠。

墨仔的龋齿治疗图
如果宝宝的乳牙已经出现了龋齿的现象,而您依然认为反正要换牙,乳牙坏就坏了无所谓啦,那建议您认真看完这篇文章。

宝宝的乳牙龋齿了,会出现哪些严重的后果
1、影响宝宝的咀嚼、撕咬功能
一般情况下,宝宝的大门牙最先出现龋齿,因为这两颗牙齿是最先萌发的,大门牙担负着撕咬、咀嚼食物的功能,如果龋齿了,最坚硬的牙釉质脱落,就会影响这个撕咬的功能,当食物大一些、硬一些的时候,宝宝就咬不动了。
咬不动的食物,宝宝当然不爱吃了,如果龋齿没有得到治疗,龋齿的程度只会越来越重,咬不动的食物种类越来越多,宝宝就容易出现挑食的情况,进而影响到营养的摄入。
乳牙替换成恒牙的时间是在宝宝6-12岁之间,承担主要咀嚼功能的后牙替换时间是10岁以后,所以说在孩子10岁之前,吃饭主要靠的还是乳牙,如果乳牙没有保护好,发生了龋齿,就意味着在很长一段时间里,孩子是没有办法好好吃饭的。
2、牙齿疼痛,导致宝宝不爱吃饭
牙齿分为三层,第一层是牙釉质,第二层是牙本质,第三层是牙髓,当牙釉质和牙本质被蛀掉以后,就会感染牙髓,会出现疼痛。
回想一下自己牙疼的经历吧,吃东西的时候,那颗坏掉的牙齿猛然一下的疼痛的感觉,俗话说牙疼不是病,疼起来要人命啊。
所以,如果宝宝的龋齿已经严重到牙髓这层,也会出现牙疼,一吃饭、一咬食物就疼,但是宝宝又表达不出来自己牙疼,只能拒绝吃饭了。
墨仔发生龋齿那段时间,总是不好好吃饭,不爱用牙齿咬食物,我一直以为是他单纯的挑食而已,每天吃饭都因为各种不吃、挑来挑去而憋一肚子火,现在回想起来,应该是牙齿不舒服导致的。
3、影响恒牙的萌出
传统观念认为乳牙最终会被恒牙换掉,所以乳牙的好坏不必太过在意,但其实不是这样的,每个乳牙的牙根处都有一个恒牙的牙胚,如果乳牙发生了龋齿并且感染到牙根,就会直接影响到恒牙的牙胚发育,造成牙釉质发育不良等问题。
恒牙可是我们要使用很久很久的牙齿,它若是先天发育不良或者后期保护不好,代替恒牙的就只有假牙了。
综上所述,乳牙的健康不仅关系到孩子的日常吃饭效率,还关系到日后恒牙的萌出质量,我们不能轻视乳牙的作用。


哪些行为容易让乳牙发生龋齿呢
首先我们得知道龋齿产生的原因:我们的口腔里有一种细菌叫变形链球菌,能够将糖中的蔗糖成分变成酸,这种酸会腐蚀牙齿,让牙齿脱矿,然后就出现了我们所说的“虫牙”。
根据卫计委的调查显示,我国2-5岁儿童的乳牙龋齿率高达72%,平均每个孩子有2.8颗蛀牙。
这个数据真令人揪心,说明我们对宝宝的乳牙保护工作做的很不到位啊,比如:
1、不重视乳牙的清洁工作
我们那个年代很少听到给宝宝刷牙这个事情,大家会认为这么小的宝宝刷牙实在没必要,我记得墨仔5个多月萌出乳牙的时候,我买了牙刷套给他刷牙,我妈竟然说我是“出洋相”。
随着科学育儿的普及,现代的年轻父母已经知道了要趁早给宝宝清洁的牙齿的育儿知识,但是在具体操作上还是会出现漏洞,具体表现在:
- 没有在萌出第一颗乳牙的时候就开始清洁工作,一般情况下宝宝会先萌出2颗乳牙,这个时候就应该开始刷牙了,但是家长存在侥幸心理,觉得2颗牙不好刷,不如等多长几颗牙以后再说,然而就是这个等待过程,让最先萌出的乳牙发生龋齿,龋齿会很快“传染”周围新长出来的其他乳牙,所以等到家长觉得刷牙的时机到了的时候,龋齿已经很严重了。
- 家长确实做到了在第一颗乳牙萌出的时候就开始给宝宝刷牙,但是由于大多数宝宝是不配合张嘴刷牙的,一刷牙就哭闹打挺各种不配合,很难按照标准把牙齿的各个方向都刷到,所以就会出现每天早晚按时给宝宝刷牙了,但宝宝依旧龋齿了的情况。
墨仔的龋齿之所以发展的非常迅速,就是因为我没有及时开始清洁乳牙以及每次刷牙都不彻底。
2、添加辅食之前,宝宝喝的是配方奶,并且有奶睡的习惯
有的配方奶中添加了糖的成分,如果宝宝喝的是这种奶粉,并且有奶睡的习惯,那就意味着宝宝在入睡之前嘴里残留着配方奶,这就很容易导致“奶瓶龋齿”的发生。
那么这里会有个疑问,难道纯母乳的宝宝奶睡就不会发生龋齿么?是的,纯母乳的宝宝在添加辅食之前的奶睡和夜奶都不会给宝宝的牙齿造成很大的负担,这是因为:
- 含乳方式不同,纯母乳的宝宝含乳更深,所以乳汁会直接喷射至咽喉处(如果宝宝含乳姿势正确的话)
- 母乳中的lgA抗体能够影响菌落的形成,改变口腔环境
- 母乳中含有人类特有的低聚糖混合物,能够抑制细菌在上皮表面的粘附,人乳和蔗糖是完全不同的
3、添加辅食以后,没有认真清洁牙齿
龋齿多发生在添加辅食以后,因为宝宝的食物种类发生了改变,含糖的食物增多,这里所说的糖并不是糖果,米饭、馒头等碳水化合物、水果、酸奶等都含糖。
如果宝宝吃完辅食以后,没有认真清洁牙齿,食物残渣就会附着在牙齿上,再和细菌反应生成酸,龋齿会很快出现。
再加上这个阶段没有戒除的奶睡或者夜奶,夜间唾液分泌减少,更容易加速龋齿的恶化。
总体来说,引起龋齿发生的最重要的原因就是没有做好宝宝牙齿的清洁工作,因为我们无法避免宝宝不摄入含糖的食物,也没有办法快速解决奶睡和夜奶的问题。


如何预防乳牙被“蛀掉”
龋齿一定是预防大于治疗的,不要等到龋齿已经出现了才着急上火的进行补救,虽然确实有补救的方法,但是补救的过程是非常不愉快的。
1、尽早做口腔清洁
在宝宝萌出乳牙之前,就可以使用纱布蘸着清水给宝宝做口腔清洁,擦拭牙床,让他熟悉这个清洁口腔的过程,然后等到第一颗乳牙萌出的时候,就需要使用牙刷和含氟牙膏给宝宝认真刷牙了,刷牙的频率是早晚各一次。
2、定期涂氟
涂氟是在牙齿表面涂一层氟化物,这种氟化物可以强化牙釉质,起到减缓脱矿、加强再矿化的作用,从而能预防、减缓或者停止龋坏的发生。
美国齿科学会和美国疾控中心建议:从第一颗牙齿萌出的时候就可以涂氟,至少连续2年,每隔半年涂氟一次,而对于高风险的儿童,建议每3个月涂氟一次。
前文也说到了,给宝宝刷牙真的不是件容易的事情,大多数宝宝都不配合,根本达不到彻底的清洁效果,所以如果宝宝不配合刷牙,建议可以先去涂氟,给牙齿做个保护层,然后再慢慢的通过讲绘本、讲故事、大人示范、情景模拟等方法引导宝宝接受刷牙。
3、定期看牙医
龋齿的发生和恶化速度真的是在不知不觉中的,家长是无法准确判断宝宝的龋齿程度的,并且我们根本无法看到牙齿内侧的情况,所以定期带宝宝看牙医,寻求专业的诊断是有必要的。
美国牙科协会和美国小儿牙科学院建议在孩子的第一颗牙长出来以后、不晚于1周岁时安排第一次去看牙医
北京大学口腔医院儿童牙医朱涛医生建议:
■1岁的宝宝就应该看牙医,进行口腔卫生指导
■6岁之前的孩子3个月看一次牙医,尤其是乳牙已经出现问题的孩子
■6岁之后的孩子可以半年看一次牙医
■6-7岁给孩子的后磨牙做窝沟闭(也有的医生建议3岁半到4岁就可以做窝沟闭,具体的要看孩子是否配合)
墨仔现在的检查频率就是3个月一次,医生会检查所有牙齿的情况并给予口腔卫生的指导建议,做到早发现早治疗。
4、大人给宝宝好好刷牙
即使给宝宝涂氟、做了窝沟闭,依然要每天认真刷牙,因为这些工作不能完全避免龋齿的发生,期望孩子自己认认真真的按照巴氏刷牙法刷牙着实有点强人所难,所以,在孩子6岁之前,应该由大人给孩子刷牙。
周围很多朋友都说给孩子刷牙都是强制性的,一个人抱着,一个人掰开嘴,孩子从头哭到尾,个人认为在刷牙这个事情上,强制刷牙无伤大雅,因为引导孩子主动配合刷牙不是一天两天的事情,有的宝宝接受能力很差,可能需要个把月才能接受,那这段期间怎么办?不刷牙了么?
所以,刚柔并济吧,平时多给宝宝讲绘本、或者买一些刷牙的道具让宝宝给玩偶们刷牙,然后到了该刷牙的时候,先温柔引导,如果实在不行,强制刷完吧。


如果乳牙已经蛀掉了怎么办?
当你发现宝宝的乳牙已经出现了下列现象,就说明出现龋齿了:
- 牙齿本身变色,比如牙齿发灰、有黄色的菌斑
- 牙齿产生缺损,比如出现一个小洞、豁口
发现宝宝龋齿以后,应该及时就医,不要拖,越拖越麻烦,麻烦会像滚雪球一样越滚越大,期初你不愿意带宝宝看牙医的顾及可能是怕宝宝不配合哭闹,但把龋齿拖到严重程度的时候,你和宝宝都逃不掉哭闹这个坎,并且哭都是小事,补牙过程真的太心疼。
这里分享墨仔补牙的惨烈经历,给大家敲个警钟。
墨仔去看牙医的时候大概是1岁4个月左右,因为龋齿已经快要伤及牙髓,所以必须要补牙,这么小的孩子是不可能乖乖的躺在那里,看着前面的佩奇动画片,张开嘴让医生补牙的,因此“束缚治疗”是必然的,所谓束缚治疗就是把宝宝用魔术贴布袋固定在躺椅上,然后一个医生负责掰开宝宝的嘴巴并按住头部,一个医生负责按住宝宝的腿(宝宝挣扎起来劲儿真的非常大!),另外两个医生一起补牙。
我和墨仔的爸爸不忍心看这个场面,于是就等在门外,里面持续传来墨仔撕心裂肺的哭声,一声比一声惨烈,最后明显能感受到墨仔已经哭到没有力气了,然后我在门外面哭,那一刻我非常自责,非常后悔,如果早一些带墨仔看牙医,不要拖延,不要侥幸,就不会有这样的结果了。
整个治疗过程大概30分钟(补牙加涂氟),结束以后,我冲进去抱起全身已经被汗水湿透的墨仔,因为哭太久太用力,墨仔像个面人一样软塌塌的趴在我怀里。
这只是一茬罪,后面还有,因为补得假牙是粘在处理过的残存的乳牙上,如果遇到外力冲击,很容易就磕掉了,墨仔磕掉过两次,所以后来又补了两次。
加起来,一共补了3次牙,受了3次罪。

被束缚补牙的墨仔,哭得很惨烈
因此,敲重点啊!一旦发现龋齿的迹象,哪怕很轻微,也不要掉以轻心,存在侥幸心理,刷牙是无法补救龋齿的,一定要看牙医!看牙医!看牙医!
最后,关于给宝宝看牙医的几点建议:
- 优先选择正规的公立医院,安全、技术过关,但有的公立医院可能不接收1岁左右宝宝的诊治工作。
- 其次可以选择有正规营业执照、有口碑的私人诊所,这种诊所就医环境比较人性化、服务周到、补牙时候会给小朋友*放播**动画片,但费用一般不低。
乳牙要陪伴宝宝到12岁,还会影响恒牙的萌出质量,不要再觉得我们那个年代不刷牙不看牙医不也就这么过来了,牙疼是真真实实存在的感觉,不分年代不限年龄。
给宝宝一口好牙,就是给宝宝一笔无价的健康财富,你说呢?

我是婴幼儿睡眠顾问墨仔妈妈育儿,专注分享婴幼儿睡眠、大运动发展、母乳喂养知识,感谢您的关注、点赞、评论及转发哦