平常牙齿都没啥问题,为什么一到秋冬季节,呼吸一下就觉得牙疼?
如果有这些情况的话,多半是这几个问题引发的:
1、牙隐裂
轻微的牙隐裂肉眼看不太出来,但实际上牙齿已经有裂纹,此时外界的刺激(秋冬季节空气比较干燥,也比较冷)通过隐裂的缝隙穿透牙釉质,抵达牙本质层传导到牙神经,所以就会感到疼痛。
一般隐裂不严重的话可以不用理,日常注意不要吃太硬的食物;如果隐裂比较严重的话,根据情况进行补牙、贴面、牙冠等方式修复。

2、牙齿磨损
喜欢吃硬的东西,导致牙齿过渡磨损,牙本质暴露,于是容易在遭受外界刺激的时候出现牙齿敏感疼痛的情况。
同时,不正确的刷牙方式,导致的牙齿楔状缺损也会引发牙齿敏感疼痛的现象。
一般根据磨损的程度,考虑是否进行补牙修复牙齿的缺损;同时也要改变饮食习惯和口腔清洁方式。

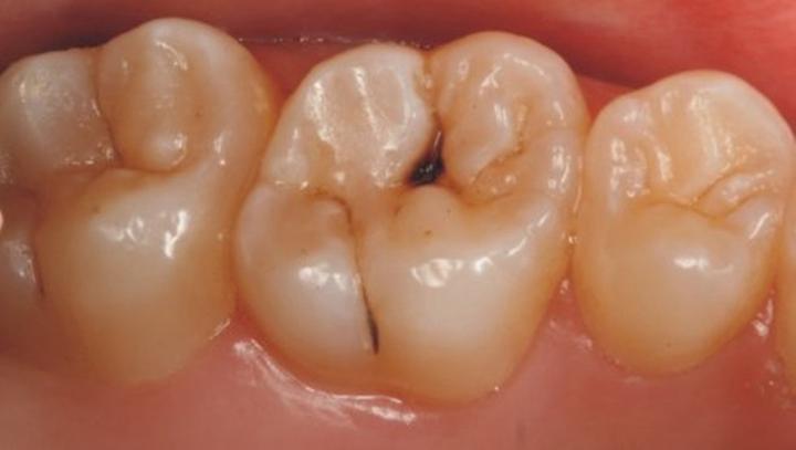
3、牙齿龋坏
牙齿龋坏初期时没有疼痛的症状的,经过时间的推移当牙齿龋坏到一定程度,龋洞深入到牙本质层的时候,外界的刺激会引发疼痛的情况。
一般通过补牙治疗后症状会消失。

4、牙髓发炎
牙髓遭受到炎症感染后,牙齿会有自发性疼痛,也会出现遇冷热刺激痛,吸气有发冷疼痛的症状。
一般通过牙齿的根管治疗以后这种症状就消失了。
