牙痛不是病,痛起来要人命!蛀牙在生活中所带来的不便,总让人十分困扰。然而,蛀牙却不是成年人的专利,一般父母都认为,婴儿时期应该不会蛀牙,蛀牙了也会换牙,因而忽略了婴儿的牙齿照顾,其实这是错误的观念。想保牙齿强健,从长牙期开始,牙齿保健就是一生不可松懈的任务。

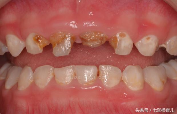
儿童牙医科医师指出,小时候蛀牙多的小孩,将来乳牙与恒牙再蛀牙的机会比少蛀牙的小孩高很多,越早发生蛀牙的小孩将来越容易不断蛀牙!由于婴幼儿的牙齿质地较为脆弱,若有蛀牙现象,便很快会变严重,且乳牙若变成蛀牙,小孩会因咬不动而偏食,降低进食欲望,易造成营养不良的现象。

除了遗传性蛀齿外,摄取过多易产生齿垢的砂糖、因清洁不当而产生的蛀牙菌或是食物残渣停留在牙齿上的时间过长等都是容易产生蛀牙的原因。中医师李思仪在著作《不吃西药,中医妈妈养出不生病、不过敏的健康孩子》指出,牙齿从开始长牙便要做好护理,她提出大人平日家居可以替孩子进行的牙齿照护方式,让孩子不再受蛀牙所苦,齿好壮壮。
【幼儿牙齿护理术】

1.刚开始可以从吃完离乳食物后让婴幼儿喝白开水,再由大人使用纱布将牙齿的污垢擦拭干净即可。

2.习惯后再一点一点用婴儿牙刷替孩子清洁牙齿,此时只需将牙齿上残渣确实清掉,还不需要用到牙膏。

3.持续到小孩能自己拿牙刷为止,但大人在初期仍需帮忙协助后续清洁。