口腔深度科普系列之------正畸篇!
由于疫情的原因,这篇关于口腔 正 畸(牙矫正)的科普已经拖了几个月时间,我总想写出对广大患者有实际参考价值的文章,不仅要有知识科普,还要有中国正畸医疗的现状,而这种现状却过于复杂,单在收费这一点就足以令大家迷茫,更何况还有方案的多样化、并不少见的复发与反弹、颞颌关节紊乱的发生、成人正畸的纠结、医生对部分病例的婉拒心态、医生技术因素影响远期效果等等,诸多方面,今天我希望通过深度科普来进行全方位解析。
科普知识
口腔正畸的时机
如果你带孩子找牙医问什么时候矫正,牙医看都不看,直接说“孩子太小了,十二三岁再来”,那就果断换个牙医吧。因为牙医持这种观念有时候会耽误了病人,至少应该检查一下牙齿情况再说。
什么时候矫正,准确的说法应包括三点:
1,多数患者在全口乳牙全部换完,即恒牙列初期开始为佳。大部分是在11岁到14岁换完牙的,现在由于发育等原因,有的小孩9岁就换完牙了。所以死抠十二三岁的说法就不太准确了。在恒牙列初期治疗的最大好处是牙移动快,能利用生长发育潜力达到事半功倍的效果,且预后稳定、长期效果好。
2,有些患者需要提前到乳牙期和混合牙列期治疗,如地包天、口腔不良习惯等。如果等到十二三岁再治,矫正的难度、费用、时间都会指数级上升,而不是一倍两倍的差距。
3,严重的骨性错颌,如无法控制的骨性地包天,小下巴等,则需成人后正畸手术联合治疗。这个重点强调一下,一定要找专业的医生尽早评估,少数病例可以早期进行干预治疗而避免手术,一旦错过最佳干预时机,终身后悔。
基于上面三点,对于家长来说,如果觉得孩子有问题,最佳的方法是找专科的正畸医生评估。严格来说,正畸虽有最适年龄,但并没有年龄限制。只要口腔健康允许,成人乃至老人都可以做,但效果及后期维持方面有一定差异,成人正畸复发率相对较高。
口腔正畸的周期
根据错颌畸形类型不同,每个人所需时间有一定差别。
1,多数人正畸治疗时间在两年左右。比较简单的病例,牙列轻度不齐者可能一年到一年半完成。
2,双期治疗,即功能矫治加固定矫治(适于部分有骨性问题的小孩,如下颌后缩),两期相加大概要三年时间。
3,如果患者问题较多较重,如:非常规拔牙(因蛀牙拔了靠后的磨牙等),后牙区存在锁颌(一种严重的后牙区不良咬合),也会使治疗时间延长。
4,正畸加正颌手术治疗分三步:术前正畸、手术、术后正畸。其中手术大约要住院治疗两周的样子。三步共需要的时间大概在一年半到两年。需要说明的是,患者的配合非常重要。配合的患者,一般能按计划完成治疗,不能配合的患者往往会使治疗时间加长,甚至失败。
关于正畸拔牙
1,拔牙用于解除牙列拥挤。由于人类的进(退)化,现代人的颌骨已越来越不能容纳所生长的牙齿了,这是牙列拥挤根本原因(包括智齿阻生现象)。其次,随着生活水平的提高,食物越来精细,颌骨缺乏咀嚼的刺激而发育不足,会加重牙列拥挤。再者,目前国内的儿牙保健措施跟不上,小孩的龋齿(蛀牙)发生率非常高,从而导致乳牙早失,恒牙早萌,同样成为牙列拥挤的诱因。
2,某些骨性问题通过拔牙代偿。如上颌前突,通过拔牙内收上颌,以掩饰骨性不调。尽管医生和患者都不愿拔牙,但目前国内的正畸患者拔牙比例还是相当高。正畸拔牙治疗是一个非常慎重的决定,必须基于准确的诊断和完善的治疗方案,否则不当拔牙治疗会引起严重后果。当然,如果应当拔牙而没拔牙治疗,也会达不到治疗效果,且易复发。
有不少患者对正畸拔牙有恐惧心理,其实正畸拔牙在局麻下进行,没什么痛苦,多数人每次只需几分钟时间,现在很多人都一次性拔除4颗双尖牙,并没有什么痛苦反应。
虽然说科学的拔牙正畸是无害的,但正畸拔牙前务必谨慎。首先,应确定拔牙是“必须的”、有益的、能够使患者获得美观和功能改善的。对有些处于拔牙或不拔牙交界的病例,一般建议先不拔牙试治,如果能不拔则尽量不拔。临床上经常出现一些方案设计不科学、不当拔牙造成的不良矫治病例,这类病例处理起来异常棘手,病人的损失往往难以挽回。
简言之,正畸拔牙要谨慎,但科学的正畸拔牙是无害的。找到专业的正畸医师进行科学 地 评估是非常关键的。
矫正会影响口腔健康吗?
有许多患者或家长在矫牙前,总会有一个顾虑:矫牙会不会损坏牙的健康?国内外大量的研究表明, 做过科学矫牙的患者,其牙的使用寿命比一般人群要长, 这主要是得益于两点:
1,在正畸的过程中,各种牙的相关疾患做了系统治疗。比如龋齿一般都进行了治疗,如果不做正畸反而会忽视掉这些问题。
2, 矫牙后的患者,往往有较强的口腔保健意识和正确的口腔保健方法,这种意识一旦建立则会终身受益。
所以科学的矫牙,是不会损害牙的健康的。但是,不科学的矫牙,尤其是方案设计错误有可能造成牙齿健康的重大损害,有些甚至无法收拾。另外,少数患者在矫正期口腔卫生管理欠佳,的确会产生龋齿、牙龈炎甚至牙周炎,矫正后形成一口整齐的烂牙。
关于矫正器
矫正器大体可以分为传统固定矫正器和无托槽隐形矫正器。
传统固定矫正器有三种。
一种是不锈钢制成。结实、耐用、高效。是目前最主流的矫正器,但美观性和舒适性很差,超过一半的患者使用此种矫正器(其中自锁托槽贵些,主要优势是不用结扎钢丝刺激小,医生操作快)。
第二种是陶瓷托槽矫正器:这种矫正器托槽是由陶瓷所制,与牙色一致,但由于矫治弓丝尚不能制作成牙色,所以整体只能隐形百分之七八十。其价格稍高,但疗效与金属矫正器一致,而且由于材料脆性较大,使用与维护比较麻烦。
第三种是舌侧矫正器:将矫正器放置于牙的舌侧。优点显而易见:完全看不见,美观。缺点也可以想见:操作难度大,每次治疗时间长;对舌头有较大的刺激,不舒服;说话进食都会受到明显的干扰;卫生不易维护;且疗效不如传统矫正器;费用相当高。简言之,这种矫正器除了美观,几乎没有优点。因此这种矫正器使用分化大,部分医生拒绝使用。
无托槽隐形矫正器:这种矫正器不使用托槽和钢丝,矫正通过一系列电脑设计制作的透明树脂牙套来完成, 患者只需将矫正器带回家, 按要求逐步替换, 来完成矫正。基本做到完全隐形。随着技术的发展,其适应症逐步扩大。因其卓越的性能渐渐成为一种时尚以及众多牙友正畸的首选。
透明牙套隐形矫治只需要少量与牙色接近的附件粘在牙面上,几乎看不到,能够让正牙的朋友在别人不容易发现的情况下完成牙齿的蜕变,不影响社交及上镜,因而也成为很多影视明星、商务人士正牙的唯一选择。缺点:价格高昂。
透明牙套佩戴在口内真实效果

隐形矫治中,医生设计模拟牙移动方案(在“隐适美”中称为clincheck)是整个治疗技术含量最高,决定疗效的关键部分,不同医生设计出来的牙移动变化可能大相径庭,结果也会有天壤之别。医生不仅需要传统正畸的丰富经验,包括对于咬合的深刻认识、审美的知识和眼光、对功能的全面考虑,还需对于隐形矫治软件的深入学习和熟练使用。
关于保持器
正畸结束后,牙槽骨和牙周膜要发生改建以适应新的位置,这需要一个很长的过程。所以正畸完成后,常规制作保持器让病人配戴。对多数患者来说,保持器要戴两年,前半年到一年,除吃饭和喝热水外,要全天戴用;其后可改晚上睡觉戴用。现在的保持器绝大多数是透明的,患者不用担心美观问题。有的患者,如牙周病患者,门牙间隙,扭转,比较顽固的,可能要终身戴保持器,当然这样的病人比例很小。不戴保持器,牙畸形就会复发。临床经常见到不按要求戴保持器而复发的病人,不得不重新治疗,从而花费额外的时间和金钱。中国的正畸患者对保持器的重视程度不够,通过强化宣教也不能解决,这是令中国大部分正畸医生非常头疼的问题。
正畸行业现状
患者的纠结:患者去看医生,结果一个医生一个说法。这个医生说要拔牙,换一个医生说不用拔,再换一个医生说可拔可不拔;这个医生说隐形矫治好,那个医生说隐形矫治不适合你这个病例;这个医生收费四五千,那个医生收费一万多,而且材料都差不多。
医生的纠结:患者选医生的同时,医生也在选患者。依从性不高的患者,因种种原因不能按时复诊的患者,尤其是上学的孩子家长希望医生迁就孩子时间,有时甚至为此与医生闹别扭,这类人一旦接诊后会成为医生的烦恼。还有成人正畸的纠结,由于成年人过高的期望值,对某些细节的过分在意和偏执,使得医生在医患沟通时会格外充分与小心,有时候评估患者心理状态后,干脆就婉拒掉,尤其是对部分中年女性。
还有,对于不爱刷牙的患者(以十几岁叛逆的小孩多见),评估正畸可能导致牙体龋坏风险性较大时,医生也会建议其放弃治疗。因为良好的口腔卫生习惯在正畸治疗中非常重要。
正畸患者进食后,矫治器、弓丝、结扎丝、结渣圈周围会聚集食物残渣,如不及时清除,轻则令牙面脱矿,形成白垩色斑块,重则形成龋洞、伤及牙髓。此外,细菌还会造成牙龈炎、牙龈出血、产生异味,不但影响个人社交形象,甚至可能导致牙松动脱落。
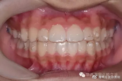
下图就是一个典型的病例,该患者由于正牙期间清洁不良,虽然牙排列整齐了,但却产生了大量的白垩色脱矿病损,影响美观。

为了避免上面的情况发生,必须对正畸患者进行详细的口腔卫生管理宣教,刷牙的次数要增多,一般要求每天至少刷五次牙,即每天起床后和睡觉前加三餐饭后均要刷牙。最好的方法是对着镜子刷,刷牙方法要做改变(医生会做交代)。刷牙同时还推荐牙缝刷和冲牙器辅助,适当应用再矿化类漱口水。冲牙器的作用跟牙医使用的三用枪类似。

总的来说,一个成功的正畸病例,需要具备两个基本条件,一是患者良好的依从性和口腔卫生管理能力,二是选择靠谱的医生制定合理的方案。专业医生的重要性要放在首位考虑。而且,最重要的在于医生的方案设计,而不是医生具体操作性治疗,不像种植牙或拔智齿更注重专家亲自操作。所以,临床上经常看到,一个专家对病例设计把关并全程监督,具体的复诊由Ta带教的研究生、进修生甚至规培生操作,除了极端复杂的或者疗程中的关键节点以外。
有些复杂的病例,多半都是出自正畸大师之手:




在微博上,有很多的正畸大师,经常分享一些复杂病例供同行们评价,赏心悦目。同时,也有不少正畸失败的患者在吐槽、指责Ta们的医生,而且我从微博、贴吧、百度里发现,有一些治疗失败的患者,她们追悔莫及、欲哭无泪的控诉,就跟那些深受“美容冠”伤害的人一样,明显发生了抑郁症倾向。这些失败病例的表现多种多样,有咬合错乱的,有前牙牙根暴露的,有颞颌关节紊乱的,而这些多数都缘于设计失误。
一个经验越丰富的正畸专科医师,越能够对各种病例做充分的风险评估,经常需要术前颌面CT检查。有些看似简单的病例,经CT检查以后医生可能会考虑放弃矫正,尤其是本身有颞颌关节病或前牙唇侧骨菲薄的病例。如果首诊于正畸新手而接受治疗,正畸结局会弄得收不了场,不仅患者抑郁了,最后医生也抑郁了。在正畸界,这种现象时有发生。
关于怎样选择医生,我在微博置顶帖详细介绍过,里面的牙科避坑深度科普文章全网已有上亿人浏览。我会努力把口腔健康科普作为我后半生的主要目标,先从改变中国年轻人的观念开始,一步一步坚定地走下去。
本文得到武汉大学口腔医院正畸科夏大宏博士和四川大学华西口腔医院正畸科李宇教授的鼎力支持,在此衷心感谢!
公众号“魔术牙医”已发布同名文章,希望大家把本文分享给自己的朋友们,如果在正畸路上有一些什么疑惑或者特殊经历,欢迎文末留言讲述,说出自己的故事,或许能够帮助到更多的人!
来源:丁香医生