作者 | 崔刚、许刚、僧志远
西安交通大学附属二院神经外科
Case 1
一般情况:患者33岁,女性。
主诉:发作性意识丧失1年余,鼻腔间断漏液6月,发热13天。
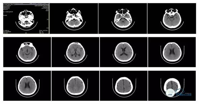
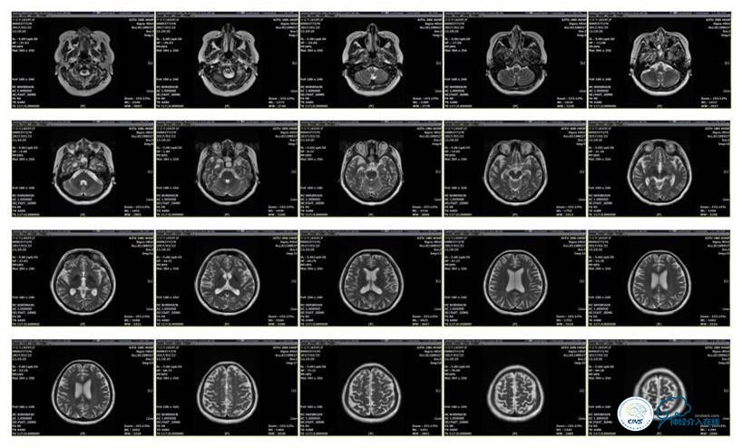
病史:患者于1年余前,因头部外伤在外院行头颅CT提示:未见异常。约3月后患者出现头痛、发作性意识丧失,在当地医院行头颅CT及MRI提示:未见明显异常。诊断为外伤性癫痫,予以对症治疗,未见明显好转。6月余前,无明显诱因出现鼻腔漏液,予以保守治疗,此后鼻腔间断漏液,漏液后头痛缓解。13天前因高热、恶心、呕吐在外院诊断为颅内感染(肺炎链球菌),予以抗炎等对症治疗2周后鼻漏停止,体温正常,CSF常规、生化正常,但头痛仍未缓解,转入我院神经内科治疗。反复腰穿颅内压450-500mmH2O左右,脑脊液常规及生化均正常。颅脑CT及MRI、MRV提示:左侧顶叶硬膜下血肿,鼻窦炎、乳突炎、左侧横窦、乙状窦闭塞、右侧横窦、乙状窦狭窄。予以华法林抗凝治疗2周,维持INR2-3,患者头痛仍无明显缓解,颅内压无下降,转入我科。
既往史:2年期间无孕产史,无口服避孕药史。
查体:神清、语利、四肢活动自如、肌力、肌张力正产、腱反射对称、病理征(-),颈软、无抵抗。
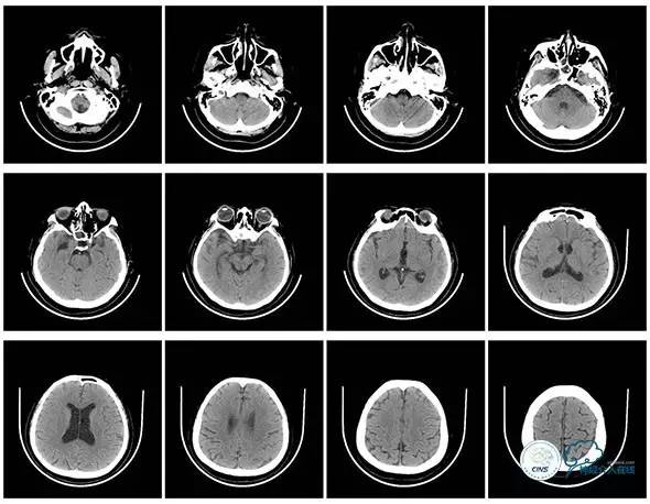
头颅CT

MRI T1

MRI T2

MRV

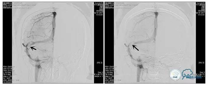
右侧ICA正位

右侧ICA侧位

右侧ICA斜位

左侧ICA正侧位

右侧VA正位

左侧VA正侧位

诊断:1、右侧横窦、乙状窦狭窄;2、硬膜下血肿(左侧顶);3、继发性癫痫;4、脑脊液鼻漏;5、颅内感染;6、乳突炎;7、鼻窦炎。
病理过程推理:首先是乳突炎—诱发左侧横窦乙状窦血栓最终闭塞,右侧横窦乙状窦狭窄—导致颅内高压,造成头痛及癫痫—持续颅内高压—皮层静脉回流受阻导致自发性硬膜下血肿及自发性脑脊液鼻漏—颅内感染。
术前准备:
1、抗血小板:阿司匹林200mg、波立维75mg,QD,5天。
2、血常规正常、CSF常规及生化正常、细菌培养阴性。
3、鼻镜检查:无脑脊液鼻漏。
4、继续抗炎治疗。
术中造影

5ml/s,总量8ml,压力100~150
手术方案
1、6mm×20mmAviator球囊(Cordis)分段对狭窄部位进行扩张。
2、植入7mm×40mmPrecise自膨支架。
术后造影

术毕远近端压力差为:0
术后造影

术后处理
1、继续阿司匹林及波立维抗血小板,3月后停波立维,单用阿司匹林6-12月。
2、术后低分子肝素180IU/Kg,抗凝3天。
3、术后口服抗生素2月,治疗鼻窦炎及乳突炎。
结果
术后即刻患者头痛缓解。
停用脱水药,次日腰穿压力160mmH2O。
预后
术后2月,患者门诊复查,诉头痛缓解、无癫痫发作、无脑脊液鼻漏及发热。
复查头颅及颞骨CT未见明显异常。
头颅CT(2017.6.20)

颞骨CT(2017.6.20)

Case 2
一般情况:患者24岁,女性。
主诉:发作性四肢抽搐伴头痛、双眼视力下降1年余。
病史:患者于1年余前,因人流术后出现发作性四肢抽搐伴口吐白沫,头痛及双眼视力下降在外院行颅脑MRI及MRV提示:右侧横窦、乙状窦狭窄,予以低分子肝素抗凝治疗2周,颅内压无明显下降,视力下降严重,遂行脑室腹腔分流术,术后患者头痛缓解、双眼视力稍有改善。2周前患者再次出现头痛、发作性四肢抽搐及视力下降,在外院眼科予以治疗2周,头痛无明显改善,视力再次逐渐下降,遂转入我科。
既往史:2011年曾行L1-2髓内占位切除及放疗。
查体:神清、语利、双侧瞳孔直径约3mm、对光反射迟钝、双眼视力:粗测眼前指数。分流泵按压后不能复位。
腰穿:颅压大于600mmH2O,CSF提示:蛋白含量增高,余未见异常。
视力:VOD:0.02;VOS:0.02。
2016-5-19 MRI

2016-05-20 MRV

2016-06-03 CT

2017-06-07 CT

眼底照相

右侧ICA造影正侧位

右侧ICA造影斜位

右侧ICA正侧位

右侧ICA斜位

静脉淤滞
左侧ICA斜位

左侧VA正斜位

诊断:1、右侧横窦、乙状窦狭窄;2、继发性癫痫;3、双侧视神经萎缩;4、脑室腹腔分流术后;5、椎管内占位切除术后。
诊疗方案:为挽救视力,确定支架成形术效果,急诊行右侧横窦乙状窦狭窄球囊扩张术(6mm×20mm,Ever Cross )。
术中测压

远端压力:530mmH2O
近端压力:120mmH2O
术中造影

术后造影

狭窄较前有改善
结果
1、术后头痛较前明显缓解,自诉双眼视力较前改善。
2、次日,腰穿压力:270mmH2O。
磁共振黑血系列

进一步治疗方案
静脉窦支架成形术。
术中右侧ICA造影

右侧ICA斜位及窦内造影

右侧ICA斜位

窦内造影及路图

术中测压:
远端:520mmH2O,
近端:190mmH2O。
治疗方案:
1、8mm×40mm , EverCross球囊扩张;
2、8mm×40mm,Protégé自膨支架成形术。
术后右侧ICA造影

术后远、近端压力差为:0
术后右侧ICA斜位

结果
术后即刻患者诉头痛完全缓解。
双眼视力较前有改善。
3天后腰穿:颅内压:75mmH2O,转当地医院眼科继续治疗。
术后头颅CT

2015年指南
推荐意见:对于伴有静脉窦狭窄的颅内高压患者,有条件的医院可行逆行静脉造影测压,如发现狭窄远近端压力梯度超过12 mmHg时,可考虑行狭窄部位静脉窦内支架植入术,但长期疗效和安全性仍需进一步评估(Ⅲ级推荐、C级证据)。
体会
1、术中将指引管送入静脉球以远,避免支架到位困难;
2、术中再次测量血管直径,选择恰当球囊缓慢扩张,避免过度扩张,造成静脉窦与颅骨剥离形成硬膜外血肿;
3、球囊扩张状态下行同侧颈内动脉或椎动脉造影,了解穿支静脉回流状况,如穿支回流缓慢,则选择比静脉窦测量直径小1~2mm的支架;术后发生皮层静脉回流受阻所导致的的梗死、出血风险要小。
4、术前、术后即刻测压,了解手术效果;
5、术后早期腰穿,了解颅内压变化。