小时候孩子们换了新牙,大人们总是说:
“掉了上牙,把牙齿丢到床底,牙齿向下长,长的直”
“掉了下牙,把牙齿丢到屋顶,牙齿向上长,长得好”
可为什么长大后,孩子的牙齿也不见整齐?是没扔对吗?

随着人们生活水平的提高,儿童的口腔问题也引起了大部分家长们的注意。特别是在换牙阶段,许多家长看到自家孩子牙齿长的不整齐,便会担心会不会牙齿畸形生长等一系列的问题。
其实儿童的牙齿长不齐,除了是先天遗传和发育异常的问题外,家长们还需注意孩子们在日常生活中有没有存在这些问题:

1、不良习惯
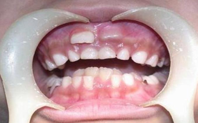
咬手指、笔杆,舔嘴唇、口呼吸等,别看是小小的问题,长期以往日积月累对牙齿的影响不容小觑;
2、乳牙滞留或掉太快、磨损不够
这种情况可能会影响恒牙的发育和位置;
3、代谢障碍、内分泌失调
如缺乏维生素D影响颌骨发育不足,缺乏维生素c,牙体发育不良。

家长如何在儿童换牙期,防止儿童牙齿畸形?
家长们不想背锅,这些问题要注意了!
①调整饮食。饮食上应当锻炼孩子,多吃较硬一点的食物。对牙齿进行充分的生理性刺激,有利于乳牙的及时脱落和恒牙的萌出。
②注意口腔清洁。换牙期间,龋齿高发,更应该注意孩子们保持口腔卫生,可以使用含氟牙膏、牙线等等。
另外,建议孩子恒牙长出后及时做窝沟封闭+涂氟,有效预防龋齿。

③时刻关注,定期检查。换牙期十分关键,家长们要时刻关注孩子的牙齿及口腔情况,出现问题随时到医院检查。
如出现双排牙,通过及时拔牙即可恢复到健康的状态;乳牙早失一旦发生,也可以通过检查来做间隙保持;龋齿等口腔问题更要及时处理。
④正畸干预。换牙期不光是问题时期,同时也是孩子正畸的黄金时期。
在这个时期,家长如果发现孩子有地包天、兜齿、露龈笑、口呼吸等问题,都可以通过正畸干预在这段时间内彻底解决掉。

最后,还要提醒家长的是,替牙期同时也是孩子身体的高速生长期。所以家长们一定要利用好这段时间,可以适当为孩子增加高钙食物、补充维生素D助力宝贝生长发育。