手术病例分享:


前言: 我们讲人的两肺有五个肺叶,左侧两叶,右侧三叶,但五叶也不是均匀分配的,其中右肺中叶最小,它夹在上叶与下叶之间,在以往如果中叶的病灶需要手术一般容易选择直接行肺叶切除,切了以后拍片都看不出哪里少了一块。许多时候复查肺功能好像也几乎没多少影响。近日我们有位结友查出右中叶结节,考虑恶性可能性大,是不是也直接行肺叶切除算了呢?既符合早期肺癌的治疗原则,又手术级别更高,收费更多。
临床资料:
患者某A,女性,检查发现右中叶结节。
我们先来看她的影像资料:

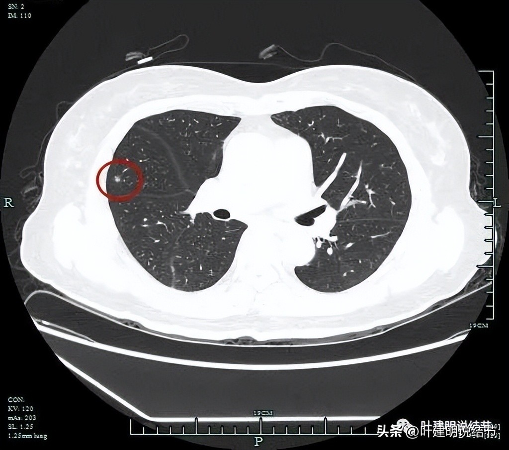
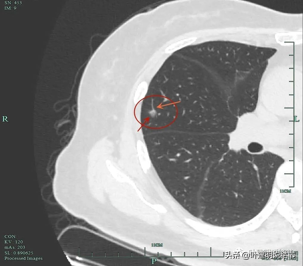
平扫上病灶位置右中叶,较小,但密度并不低,是混合磨玻璃的样子。

甚至有微血管进入的表现。

磨玻璃成分也是明显的。

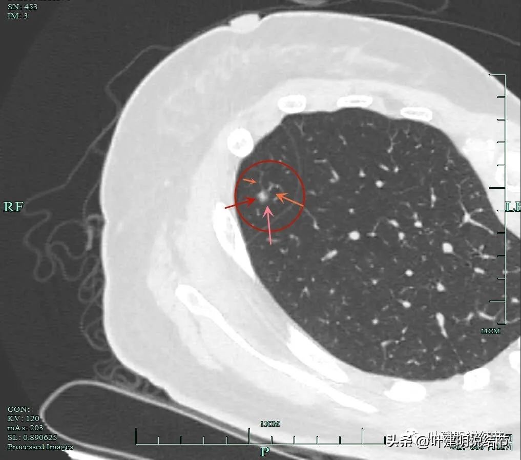
靶扫描重建图像显示了病灶明显的血管进入(如桔色箭头所示),灶内似见进入血管的穿行,而且显得毛糙与异常增粗。

密度整体不均匀。

微小血管进入明显且多处;粉色箭头示病灶内部偏实性成分也明显。

血管征以及磨玻璃成分,病灶轮廓与瘤肺边界清。我们见进入的这支血管是有异常增粗的,它不是越往远心端越细,而且基本同样粗细走向病灶,到了病灶内部后显得散开来,密度反而更显高点。

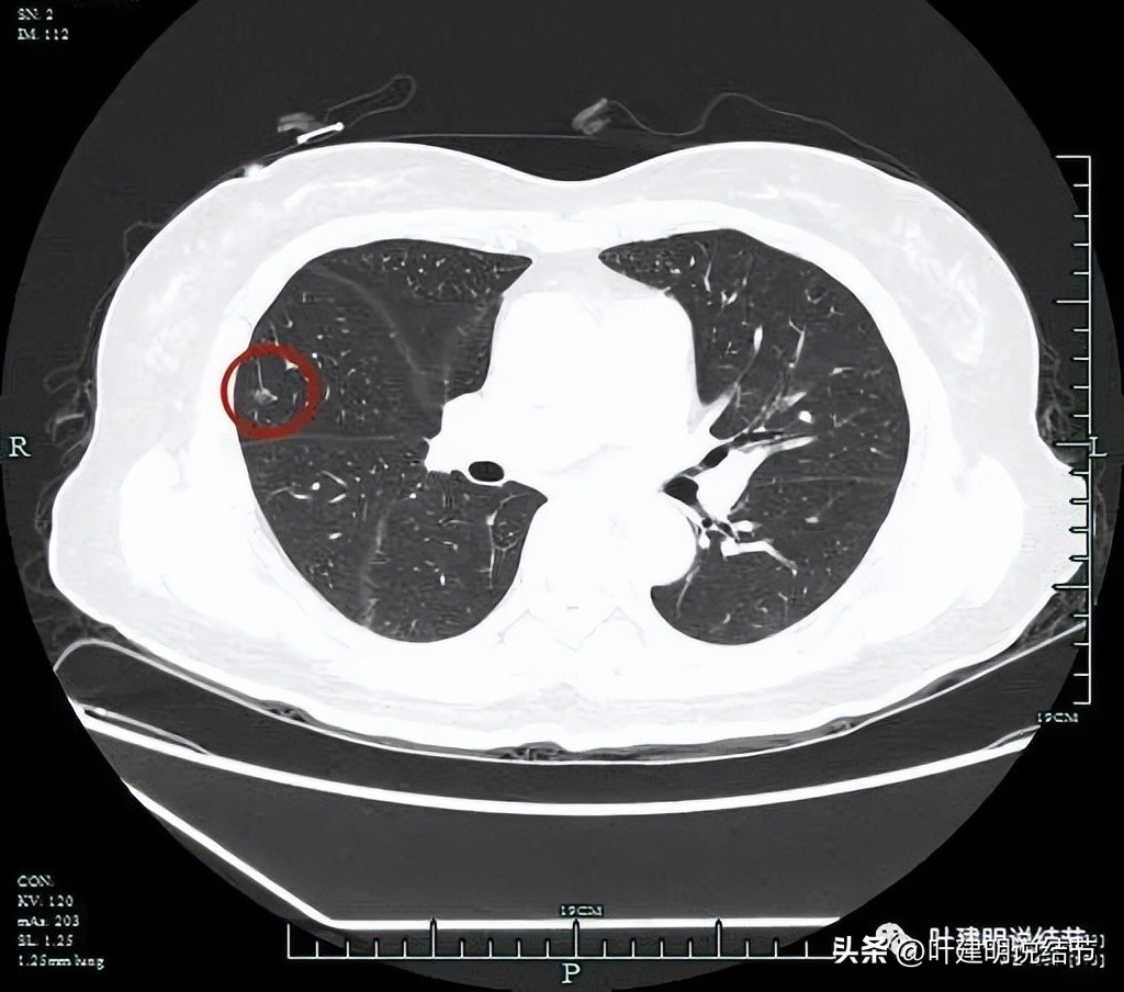
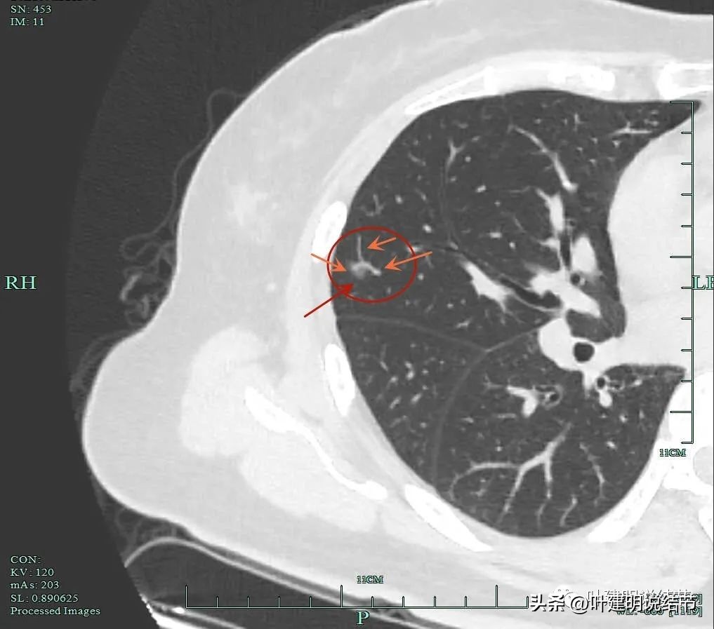
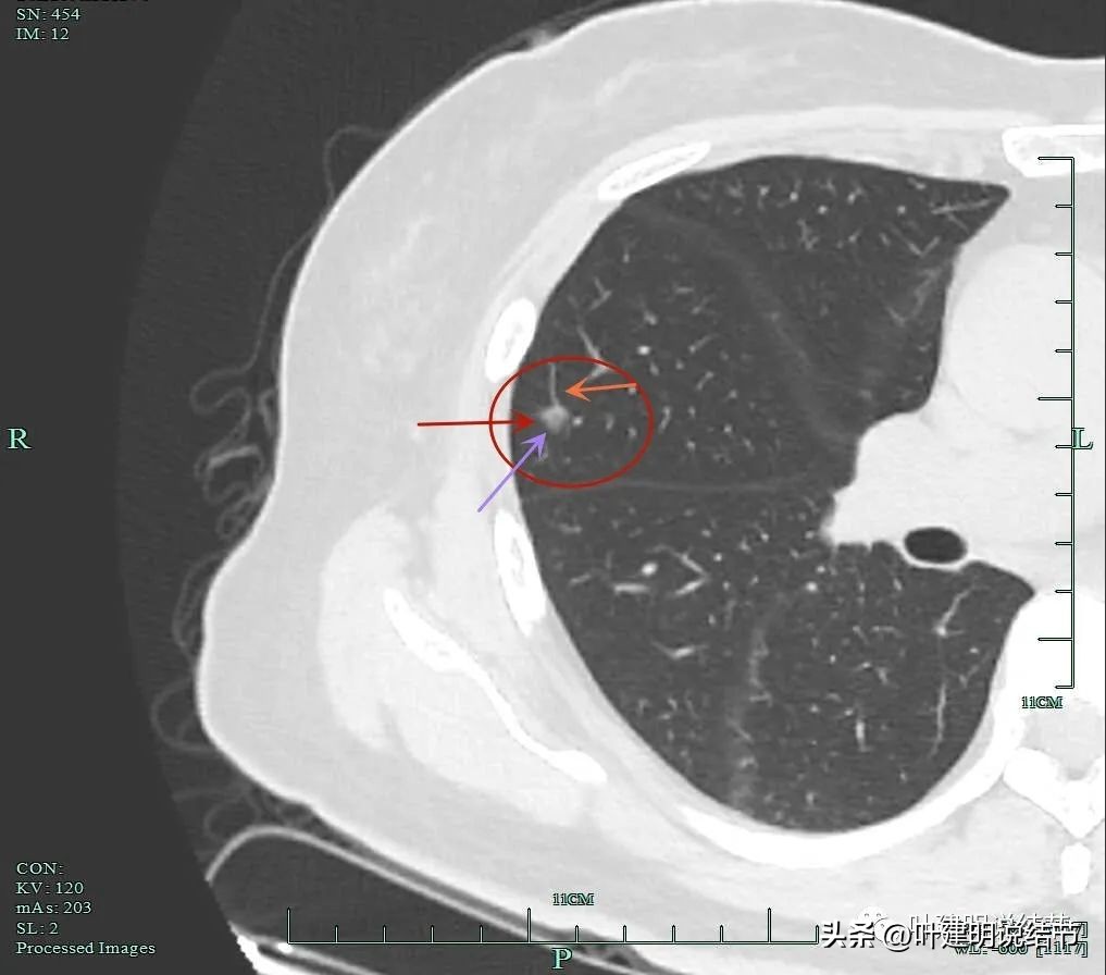
灶内明显增粗毛糙的血管走行,磨玻璃成分轮廓清。

混合磨玻璃密度,轮廓与瘤肺边界清。

血管进入,局部细毛刺样征,轮廓清楚。
影像印象:
这个结节虽然不大,但整体轮廓清,瘤肺边界清楚,混合磨玻璃密度,有多支血管进入,进入灶内的血管增粗毛糙穿行,部分边缘还有细毛刺征,是较为典型的恶性影像表现。应该予以手术治疗为宜。
临床决策:
按传统思路,中叶占比小,结节如果确实是肺癌,那么直接切除中叶也是非常符合原则的,从手术级别来说,楔形或部分切除也低于肺叶切除,肺叶切除的收费也高一些,许多医生会倾向做肺叶。但我们认为,在肺磨玻璃为表现的早期肺癌的治疗中,一定一定要考虑到后续再检出结节的可能性,因为不管从门诊还是从网络咨询中,多发结节的比例真的越来越高,即使此例目前的孤立的肺结节,但她年轻,才40来岁,以后再检出结节的概率还是很大的,我们初次的治疗要为以后的治疗留下余地(虽然中叶切除后,以后再检出结节,切肺叶、肺段多还是吃得消)。这种结节即使浸润性,由于这么小,含磨玻璃成分,局部切除效果也是非常好,几乎不可能转移的。为求所谓的根治,切肺叶虽符合原则 ,却并不是对患者最为有利。鉴于此病灶位置挺好,在中叶较为边缘处,楔形切除能保证切缘阴性又能保留部分中叶,是更为合适的方案。我们术前与患者充分细致沟通,陈明不同术式的利弊。最后某A选择单孔胸腔镜下右中叶部分切除,由于混合磨玻璃密度,所以打算淋巴结采样下。
最后结果:
杭州市肿瘤医院胸外科手术团队为其进行了单孔胸腔镜下右中叶部分切除加淋巴结采样术。术中发现病灶切面灰白,质地较硬。送快速切片示:

术中快速切片示:微浸润性腺癌,大小只有0.5厘米,切缘阴性。


术后常规病理也是报微浸润性腺癌,采样的第10组与第7组淋巴结阴性。
感悟:
在多发结节越来越多的今天,我们外科医生在决定手术方案时,如果从影像上判断病灶考虑非侵袭性类型,包括不典型增生、原位癌、微浸润性腺癌或浸润性腺癌的贴壁型时,应该在与患者充分沟通的基础上,尽量选择楔形切除。次选肺段切除,避免肺叶切除。当影像上考虑含其他中分化或低分化亚型时,也要结合病灶大小位置,是否多发,年龄情况等综合评估,合理运用肺段切除、楔形切除与肺叶切除,而不是死守指南只要肺癌都切肺叶。如果现在太激进,也许尴尬的情景在没几年后就会展示在我们面前,这绝不是危言耸听!(点击阅读:问诊分析(2023.3.15):又来了!最棘手的肺结节!)

(此处已添加医疗卡片,请到*今条头日**客户端查看)