胆道蛔虫病是肠蛔虫病的并发症。多发于儿童和青壮年。
蛔虫经Oddi括约肌钻入胆道,刺激胆总管括约肌阵发性痉挛而产生剧痛。蛔虫多在肝外胆管,但也可钻入肝内小胆管,很少钻入胆囊。多数病例仅有1条蛔虫,一般不超过10条,但也有多达百余条者。
胆道蛔虫引起的主要病变为化脓性胆管炎、胆道出血、败血症等。有的可发生急性和慢性胰腺炎、肝萎缩、慢性胆管周围炎所致局限性萎缩性硬化、胆石症等。

临床表现
胆道蛔虫病的主要临床表现为突然发生的剑突右下方阵发性“钻顶样”剧烈绞痛,向右肩放射,疼痛亦可突然缓解。恶心呕吐,吐出物为胃内容物、胆汁,亦可吐出蛔虫。可发生寒战、发热等胆道感染症状,如有胆道阻塞,可出现黄疸。
检查时剑突下或稍偏右有深压痛,无腹肌紧张及反跳痛。腹痛剧烈而体征轻微、二者不相称是本病的特点。
超声表现
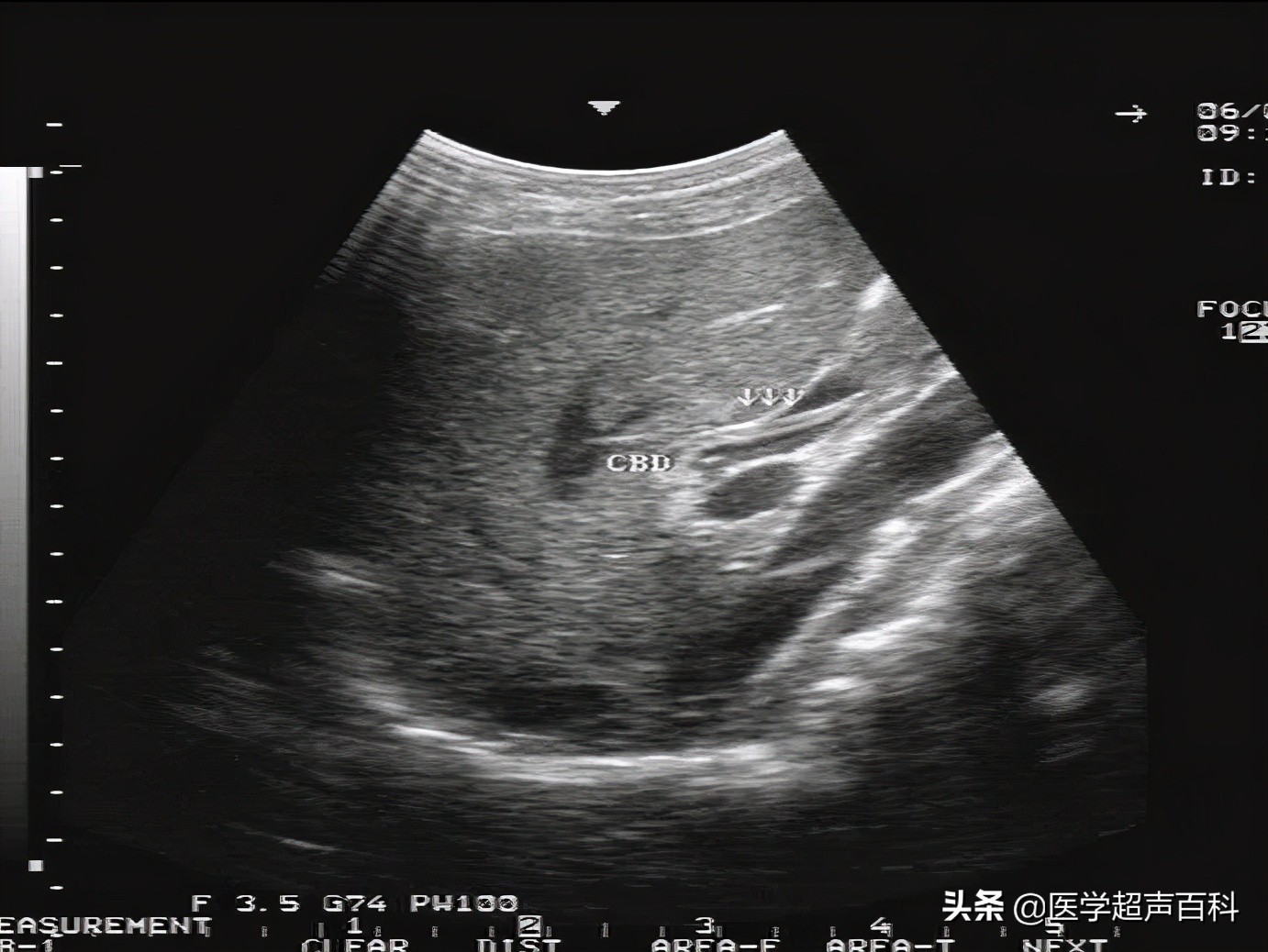
1.肝外胆管呈不同程度的扩张,胆总管常呈明显扩张。
2.扩张的胆管内有数毫米宽的平行双线状的高回声带,前端圆钝,形态自然、边缘清晰、光滑。光带间暗区是蛔虫的假体腔,其内可见间断的点线状高回声。蛔虫死后,其中心暗带逐渐变得模糊甚至消失。
3.有多条蛔虫胆管内可见多条双线状平行高回声带,如几十条蛔虫绞成团,堵塞胆管时见到胆管有极度扩张。
4.实时超声探测看到虫体在胆管内蠕动是具有诊断意义的特异性表现。
5.肝内胆道蛔虫,可见肝内胆道明显扩张,及其中平行双线状高回声带。存活蛔虫可见蠕动。
6.胆囊蛔虫病,在胆囊内呈现双线状高回声平行光带,多呈弧形或蜷曲状。
7.如蛔虫死亡则虫体萎缩,渐裂解成段,不易识别。


鉴别诊断
胆管内缺少胆汁充盈,或内含陈旧稠厚胆汁、脓团、气泡、胆泥或有大量胆石不易发现蛔虫的平行双线状回声带,则易于漏诊。
蛔虫死后,虫体萎缩,破碎时看不到平行光带,与胆道结石不易鉴别,但后者胆道扩张较重,范围广泛,并常引起黄疸等可以区别。应注意观察易造成假阳性的因素,加以鉴别:1.肝动脉有时穿行于胆管和门静脉之间,而酷似扩张胆管内的双线状伪像,但肝动脉管壁搏动,彩超检查,更易于识别;2.肝总管与胆囊管汇合前,其隔壁可显示为胆管腔内的高回声线,应注意鉴别。
临床价值
超声显像诊断胆道蛔虫病是简便、实用而有效的方法,其准确率高达百分之九十五以上,如胆管扩张,胆汁充盈,可见到特征性双线状高回声带可作本病诊断的依据,如显示活蛔虫蠕动即可确诊。
预防
预防以粪便管理、切断粪便的污染环境的途径为主,开展大群体的教育管理,正确预防该病。
1.公共卫生机构应改善环境卫生,完善粪便处理系统;
2.人们应该养成良好的卫生习惯,饭前便后洗手,切断传播途径才能杜绝肠道蛔虫的发生,既而降低胆道蛔虫病的发病率
3.学校要开展统一的驱虫活动
4.已患有肠道蛔虫的患者,应积极、规范地进行驱虫治疗,以彻底驱虫