60多岁的姜大娘,东北人,是我一老病号,以前我单身时总爱张罗给我介绍对象。昨天春节长假后的第一天,姜老太太挂了个骨科号又跑来找我了。
我一问才知道,原来今年春节,姜大娘全家去云南旅行过的年。可能是因为走多了,左边膝盖突然开始疼了。姜老太太有点担心,跑到当地医院检查。#健康过大年#

当地医生初步检查了下,觉得问题不大,可能就是走多了。姜老太太不放心,自己非要要求查磁共振,结果一查,磁共振提示:双侧膝关节半月板后角撕裂。这下老太太慌了,怎么左腿疼,一查两条腿的半月板都有问题了?是不是检查机器有问题?严不严重,要不要手术?
当地医生告诉老太太问题不大,可老太太还是不放心,怕耽误病情。年也没过好,早早就买了飞机票从云南飞回北京。大年初七上班第一天,早早就跑来骨科门诊等着了。姜老太太一顿声泪俱下的描述,完了还不忘跟我说:“路大夫,我这腿是不是要手术啊!你们床位紧张,先给我排上队啊”。
我笑着让老太太躺床上,仔细给她检查了下。老太太除了髌骨按压痛外,没有其他异常体征。所以针对半月板的体格检查,都没有发现异常。其实,老太太就是髌股关节的骨性关节炎,或者说就是常说的“髌骨软化”,并不是半月板损伤。

我又对照着看了她的膝盖磁共振片子。尽管磁共振片子上看,半月板的确是有问题,但这并不是引起她膝盖疼痛的原因,而且也不需要特殊治疗。
实际上,我在之前的文章《辟谣丨磁共振发现椎间盘突出,就是有问题了?骨科医生:根本不是》中,已经介绍过类似的知识点:
不能仅看磁共振片子上有椎间盘突出,就认为一个人有椎间盘突出症。因为很多正常的没有任何不舒服的人,去拍磁共振,片子上也可能发现有椎间盘突出。
实际上,半月板损伤也是这个道理。诊断半月板损伤,不能只看磁共振。这当然不是我一个人的经验之谈,业内早有明确说法。
#辟谣# #真相来了#
比如:Marco Zanetti教授团队早在2003年就发表了一篇非常有意思的研究[1]:

他们找来100名受试者,给这些人做双膝关节的磁共振。这些受试者年龄从18岁-73岁不等,但他们有一个共同特点,那就是:
只有一边膝盖觉得不舒服,另外一边没有任何不舒服。
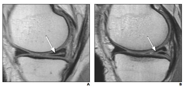
结果发现,100个人里有57个的磁共振,的确发现疼的那条腿的半月板有撕裂。而更有意思的是:
这57个人里面,有36个人的磁共振居然发现,他们的另外一条完全正常没有一点点不舒服的膝盖,居然片子上也有半月板撕裂。 36/57,这个比例高于50%啊。。。

A:患侧腿半月板异常;B(同一人)健侧腿半月板异常
所以,你知道了,和腰椎间盘突出那篇文章说的道理一样,半月板损伤的诊断,是一个复杂的综合过程。必须考虑患者的病史受伤史,有什么不舒服,医生查体发现的异常,最后再结合磁共振,一起综合考虑,才能判断一个病人是不是有半月板损伤,是不是需要治疗,以及怎么治疗。
不舒服的症状、医生检查身体发现的异常,以及磁共振片子,三者的异常必须全部符合对上了,才能确定是不是真的有半月板损伤。

所以,你也就明白了,如果一个医生只看磁共振片子,不问病史,也不给查体就直接说患者有半月板损伤,甚至说需要手术,那么最好换个医生。实际上,很多临床的误诊误治,很多都是过度相信甚至依赖影像学片子的结果。
我当然也给姜大娘说了这些,尽管并没有让她彻底完全的放下担心焦虑,但她至少肯定的是,自己不需要住院手术了。
#清风计划#
更多有趣有用有料的医学科普知识,欢迎您关注@骨科医生路遥!
参考文献:
[1] Zanetti M, Pfirrmann CW, Schmid MR, et al. Patients with suspected meniscal tears: prevalence of abnormalities seen on MRI of 100 symptomatic and 100 contralateral asymptomatic knees. AJR Am J Roentgenol, 2003, 181(3):635-641.