2021年11月26日,永远难忘的一天
早上10时许,乌鲁木齐经济开发区,因刚刚经历过一场大雪的覆盖,有点冷!早上起床后,就听到外面鬼哭狼嚎的风声吹个不停,我和朋友起床后随便吃了点早餐后,因就剩下一点点活,也没顾及风大,就去干活了!正常作业一个小时左右,我刚顺着梯子爬到3米高度左右时,一阵妖风吹来,把梯子吹倒了,我也跟着梯子摔了下来,然后右大胯着地,右手腕着地,幸运的是头没着地!这点是不幸中的万幸!当时根本没想到股骨颈会骨折,只觉得手腕出巨疼,怀疑手腕骨折了,然后我朋友过来还把我扶了起来,更糟糕的是还往前走了一步,走路时才发现,右腿是软的,右腹股沟处有疼痛感,记得当时还不是很疼…

图片来自网络
当时以为可能是脱臼了,我朋友用车把我送到了附近的医院,路途中也没感觉到怎么疼,到医院门口下车时,疼痛正式开始了,记得当时伤腿一直是蜷缩吊着的,我朋友看我没法走路,让我先扶着路边电线杆站着,他去医院弄了个轮椅出来,然后小心翼翼的扶我做坐到了轮椅上,当时每一个动作都是剧痛!然后到医院挂了急诊!首先做CT全身检查,然后X线局部拍片检查!检查时弄上弄下的,都是剧痛无比,想起来全是泪水…
大约二十分钟左右吧,检查结果出来了,医生给了我一句之前我都没听说过的名词:股骨颈骨折(图1),扦插型带移位!我当时还不知道这个骨折的严重性,心想着大不了就一骨折,躺三个月就好了。主治医师顺他们医院小,做不了手术,急需要转院!我还问为啥着急?医生说如果不尽快动手术,会骨折不愈合!到那个时候就麻烦了,只能换关节,然后每十年换一次…给我说了一大堆从来没听过的专业词和句,但是,真的把我也吓哭了,脑子里一片空白…
接下来医院用120把我送到了*疆新**医科大学第一附属医院,可惜的是医院没床位, 拒收!然后又把我送到了自治区人民医院!才把我安排住下来,主治医生看片讨论后,说是首选给我打内固定治疗,但是能不能长上医生心里也没数!当时我心里真的是五味杂陈,跳楼的心都有!心想着一个活蹦乱跳的人,就这样残废了,以后的生活怎么办?孩子怎么办?年迈的父母又怎么办?想着想着泪水不由自主的流了下来…

图(1)术前x片
下午17时许,突然一个医生进来说手术时间还没安排好,为了减轻我的痛苦,说是要给我先打个牵引,但是我也没多想,就把字签了!过了大概几分钟,进来两个医生,拿着锤子等器具到了我身边,说是让我忍着点!简单沟通后,一个医生瞅准位置后,在没麻醉状态下几锤子就把一个钢针活生生的锤进了我的小腿,图(2),疼得我一个大男人在病房里大声嚎叫,那种剧痛,至今难忘…

图(2)术前牵引
打完了牵引,伤腿骨折处的确好受了许多,然后护士又给我打了一针止痛针,才感觉伤腿不怎么疼了,接下来随便吃了点晚饭,就开始了一晚上的胡思乱想,根本就睡不着,我记着大概每隔两小时左右,就会有护士小姐姐进来给你翻身,就这样煎熬着,煎熬着天就亮了…
时间来到了第二天早上九点左右,刚准备要吃点东西,突然进来一医生通知到,下午3点手术,不让我吃任何东西,然后就是一顿抽血化验,各种检查等等!因为住院前在外院已拍片,所以手术医生就在没有给我拍片检查,免得搬上搬下的痛苦!只做了个下肢彩超,检查了一下血运情况,忙忙碌碌中,时间就到了中午12点,护工又把我推进了病房,再次安顿说不能吃任何东西,等待手术…
时间来到了下午14时许,突然进来一医生,推着手术室的那种推车进来了,我顿时感觉到了说不出来的紧张,但是又没有任何办法…在护士的协助下把我搬上了手术室的推车,然后又把我推进了医生办公室!主治医师给我说了很多很多,由于当时心里比较乱,根本就听不进去,记着只是签了好多字…我只记得医生说我还年轻,先给打内固定,说或许能长上等等…

图片来自网络
签完字后,时间来到了下午15点左右,我被推出了医生办公室,看着走廊顶部的白色节能灯一个一个的在我眼前闪过…最后进入了骨科中心手术室

图片来自网络
进入手术室后,首先过来一护士,再次给我测了体温,然后就听到医生们的各种讨论!很快,体温结果就出来了,紧接着,就把我推倒了手术台边上,过来一医生,给我输了液,在我嘴上罩了塑料罩,我也不清楚是氧气罩还是啥,然后医生就问我确定没吃东西啥的,还有一些零碎问题,然后的然后…
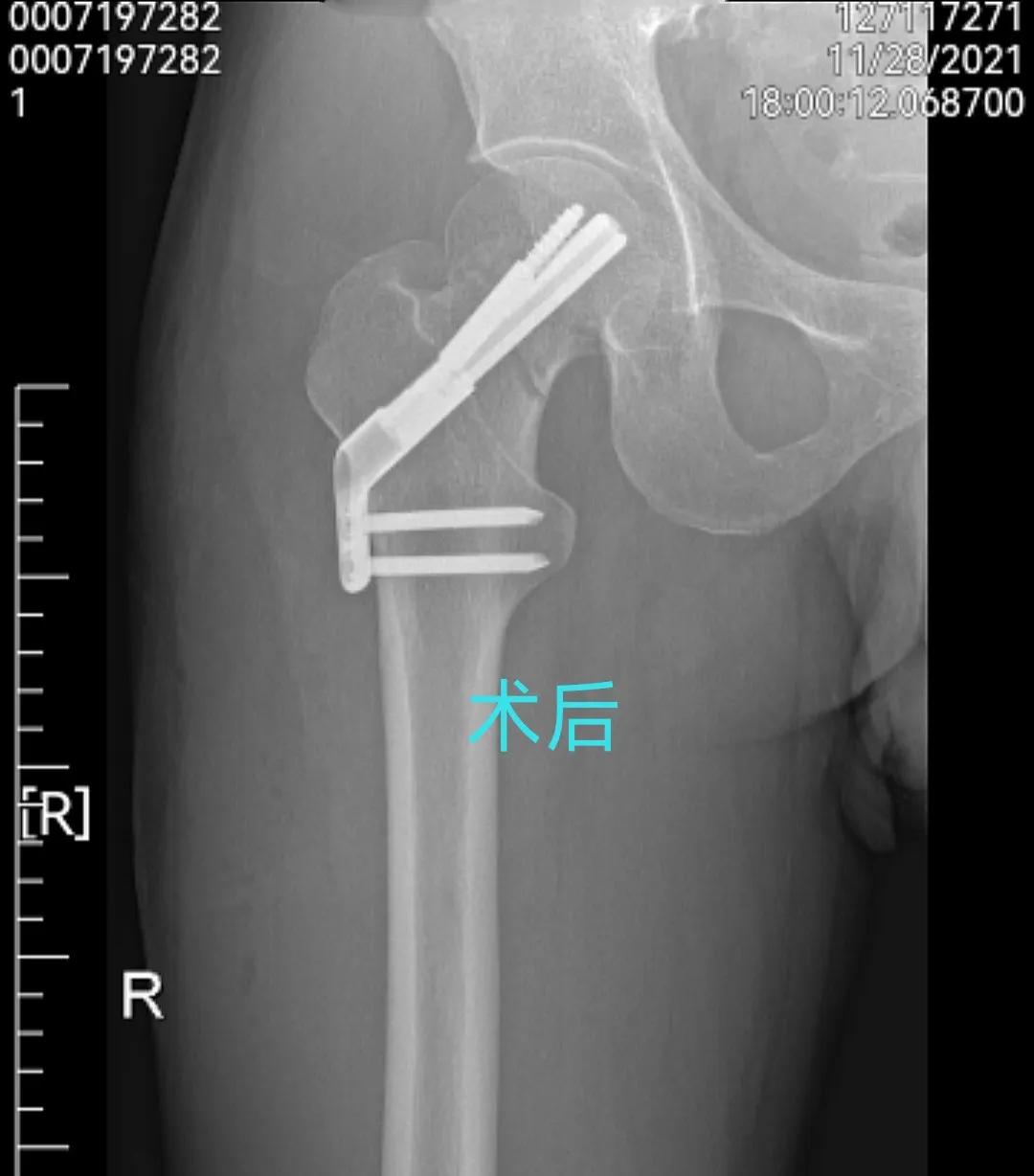
然后的然后,当时也不知道过了多久,慢慢的有了意识,有意识后首先发现自己被扒的一丝不挂,只是在*体下**位置盖一白色浴巾,两个护士小姐姐拿着热风管在我身体上来回的吹热风,然后我微微动了下伤腿,发现没有术前那么疼了,可能是麻醉还没过去原因。记得大概过了半小时左右,把我推出了手术室,送回了病房!然后主治医师进来了,拿着手术室的透视片给我说:手术很成功,骨折端复位很好,基本上都看不到骨缝了.我当时也没细看,再说也看不懂,就只说了声谢谢医生,辛苦了!然后简单的交代了一下,就走了,也没交代让我穿丁字鞋,夹枕头等等…大约又过了半小时左右,进来两名护士,给我拔掉了引流管与尿管!输上了液体,罩上了氧气,夹上了心电图…这个过程持续了一晚上…

图(3)术后x片
术后第二天,终于去掉了氧气罩,心电图,只是输了液体,伤腿除了刀口处疼痛,比术前好受多了!接下来除了护士每隔时间段给我翻身外,我自己也没敢别的动作!但是,新的问题又来了,下不了床的我,大小便又成了问题,长大后第一次在床上大小便,简直就是一种考验,小便还可以,大便根本就无法解决!最后硬是让我朋友扶着我,伤腿吊着,很艰难的挪到了马桶边,解决了大便,这个动作后来想想都怕,刚刚术后,万一动作大了再移位了,那不就完蛋了吗?但是当时大便没法解决,也就没顾上想这些,再说也不懂,医生还没交代!
时间来到了术后第三天,主任查房的时候,简单问了点问题后说让我准备出院!当时我也没想那么多,就开始收拾东西了,最后医生就交代了卧床休息三个月,再啥也没交代,也没开药!
吃过中午饭,120把我拉回了家,然后叫了五六个朋友,直接把我抬到了五楼!就这样,就正式开始了长达一年的修养!

术后第一个月是最难熬的,从一个活本乱跳的人突然变成一个无法动弹的伤者,那种滋味,也许可能只有经历过的人才能体会到吧 !每天晚上除了查各种资料,就还是查看各种文献报道,感觉自己都快抑郁了…
术后34天左右,第一次复查,我就用双拐下床了,伤腿是吊着的,因为主治医师没特意交代,胆子也比较大,还双拐下了五楼!坐车去了医院复查,结果基本和术后相比没啥变化,(图4)回来后心情更加糟糕,心想着自己怎么会这么倒霉呢?以后该怎么办呀!然后就又开始了网上乱搜模式…

图(4)术后35天x片
网上乱搜过程中,无意中进入了一个股骨颈骨折的贴吧,发现同类倒霉蛋并不是我一个,然后就看了好多折友的康复日记,发现事情已经发生,咱们也只能努力康复!后来又进了好几个折友群,慢慢的心情才没那么糟糕了…
这里要说的一点是,我从第一次(术后35天)复查后,就开始经常性的双拐下地,虚步走路!因为我看了好多文献报道,医学上对股骨颈骨折术后,到底是严格卧床三个月?甚至有些医生交代卧床六个月,还是要提前锻炼?根本就没有定论!反正我是35天后就下床了,,
伤筋动骨100天,终于熬到了三个月,迫不及待到医院进行了第二次复查,这次复查心情比较好,因为医生告诉我,骨折线模糊了(图5),但是还是不能负重,回家后继续双拐虚步走路,正常饮食,没吃特殊药!

图(5)术后88天复查x片
就这样,一直双拐虚步又持续了三个月,中间偶尔还出去吃火锅,等等,终于熬到了六个月左右,这次我想回手术科室复查,就提前约好了手术医生,回到了手术的医院,复查完手术医生就让我当着他的面放心负重!我说不敢,怕坏死!然后手术医生就把我说了一顿,说是你也不能一味地怕坏死而不踩地,长期这样如果骨质疏松了更麻烦!最后又说骨折已经初步愈合(图6),可以适当踩地锻炼了,至于以后坏死不坏死的问题,谁也说不定,临床上只是一个概率问题,让我不要想太多.最后出门时说让我扔掉一个拐,从双拐过度为单拐…

图6 术后180天x片
回家后可能全是骨折后心情最好的一段时间了吧,就开始锻炼单拐走路了,伤腿刚负重的时候,脚掌疼,然后脚面疼等等,就这样,我从负重5公斤,10公斤慢慢往上加,这个过程又持续了近两个月,第230天左右,除了爬楼梯用折叠手杖外,平地上基本脱拐了…关于股骨颈骨折的预后问题,医学上没有定论,所以不要想得太多,开心最重要!

好了, 就说这么多吧,由于文化水平有限,就这样凑活着看看吧,[捂脸]假如你也是折友,尤其是股骨颈骨折的折友,一定要记住:开心最重要!开心最重要!开心最重要!
最后,附上我脱拐后复查的片子(图7,8,9),目前一切正常!已经正常上班,正常生活,希望能闯过2年高危期!加油吧,折友们!

图7

图8

图9
假如有兴趣的可以关注我,今后我会定时更新,无论是怎么样的结果,我都会更新分享…大家一起探讨,一起加油康复
文化水平有限,非专业写作者,写的不好,喷子绕道!