22岁小男生,跟朋友比赛转呼啦圈,出现左上腹痛,以为是转多了胃肠不好,没留意。随后疼痛难忍,到医院就诊。做了CT竟然脾周少量积液,看到这样表现,一定要怀疑脾破裂,做增强证实了脾破裂诊断。很幸运的是,他这样边缘的撕裂伤,可以保守治疗好转。
如果是严重的破裂,脾破碎,持续大出血,就要做脾切除手术了。
脾位于左上腹,里面是一个血窦,很脆。脾破裂是最常见的腹部闭合性损伤的器官。转呼啦圈的时候,对腹部的压力是很大的。腹腔的边缘,右边是肝脏,没那么容易破,一般是开放性损伤肝脏容易破。做任何事都有风险,当发现疼痛时应马上停止
脾破裂的治疗有保守治疗,让脾慢慢好转。还有就是手术切除,如果破的很严重,持续大出血,考虑脾切除。
下面讲下影像科比较专业的问题:
腹腔器官破裂是很紧急的,严重者会大出血休克死亡。作为影像科医生,要准确的诊断有无内脏出血让临床快速治疗,挽留患者生命,显得尤其重要。快速诊断,快速治疗。
如何准确准备有无内脏器官破裂?谈谈我的经验
腹部外伤就诊,一般是先做CT平扫,发现有可疑问题,才做增强扫描。所以平扫要首先能发现蛛丝马迹
1.平扫要注意肝胆胰脾周围有无积液,如果有高密度积液,说明就是积血。很多可能有器官破了,要提示做增强扫描,增强一目了然。
28岁女,车祸入院,怀孕三个月,平扫密度不均匀,增强很大的撕裂口,保守治疗后好转。20天后做了清宫手术。

2.平扫的时候,多调节窗宽窗位,特别是窄的窗宽,有很大帮助。
23岁男,车祸入院,平扫很可能漏掉,调节窄窗宽,密度不均匀,增强很明显撕裂伤。

3.轻微撕裂伤,平扫难以发现,要做增强,就算夜班,也要做增强。
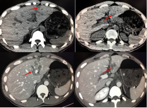
18岁男,车祸入院,平扫脾周积液,高密度,边缘见条状高密度影,脾脏积血(看到此征象,夜班急诊的时候千万要警惕脾破裂,及时提示临床医生,患者随时都有可能大出血休克)。CT增强可见脾破裂,破口及积液显示较平扫清晰。

影像科是幕后工作者,但是我们的工作非常重要,相当于临床的眼睛,每个人都练就了一双炉火纯青的眼睛,有时候多看一眼,结果就完全不一样,快速的诊断,才能更好的治疗。
我是小影大夫,一名影像科医生,想了解更多医学知识,请关注我。