手足口病最新版知识解读 (手足口病刚好又复发怎么回事)

手足口病(Hand, foot, and mouth disease)是一种主要由人类肠道病毒71型和柯萨奇病毒A组16型引起的常见病毒性疾病,我国各地全年均有发生,多见于婴幼儿,但成人亦可受累。

根据我国2018年《手足口病诊疗指南》,手足口病的发病率为37/10万~205/10万[1]。

一嘉医课(J-Academy)今天和大家分享2则经典案例,一起回顾儿童手足口病的特征与严重并发症吧。

病例一

4岁男童:手足、舌部和臀部出现水泡

2021年,Goksugur N和Goksugur S在《新英格兰医学杂志》(NEJM)中曾报道一例低热、全身不适5天,皮疹3天的4岁男孩的案例[2]。

3天来患者的手足、舌部和臀部出现椭圆形水泡,周围伴有红晕(图1)。

手足口病你必须知道,手足口病最新版知识解读

图1. 4岁男童的手足、舌部水泡[2]

根据以上典型特征,患儿被诊断为手足口病。医生嘱在家接受支持性治疗,无需药物治疗。1周后随访,患儿的病情明显改善。

病例二

2岁男孩:手足、硬颚多发斑丘疹、水泡

Kashyap RR和Kashyap RS也曾在J Clin Exp Dent杂志中撰文报道了一例发热伴进食困难1天的2岁男孩的案例[3]。

夜间患儿突然发热,12小时后家长注意到其手掌和足底分别新发1个丘疹,伴剧烈瘙痒。

后续患儿出现严重腿痛和进食困难。

查体示体温 38.6℃,手足皮肤可见多发丘疹(图2),躯干、膝部亦有散在2~3个丘疹。口腔内检查可见硬腭多发直径2 mm的红斑,无其他病变。

手足口病你必须知道,手足口病最新版知识解读

图2. 2岁男孩发病第1天的手足丘疹[3]

基于上述典型表现,患儿被诊断为手足口病,医生建议多饮水、服用对乙酰氨基酚、抗组胺药、外用炉甘石洗剂、口腔局部外用麻醉剂治疗。

2天后,患儿的上腭皮损已经消退,进食情况改善。但其余部位的大部分丘疹转变成水泡疹,口腔周围亦有少量水泡(图3)。

手足口病你必须知道,手足口病最新版知识解读

图3. 发病第3天手足口唇丘疹和水泡[3]

这些水泡在1周内开始消退,跖部脱皮(手足口病的不典型表现),1个月内患儿几乎恢复正常(图4)。随访6个月,皮损无复发。

手足口病你必须知道,手足口病最新版知识解读

图4. 发病第15天手足水泡愈合,跖部脱皮[3]

一、手足口病的典型皮疹,你知道吗?

婴幼儿对手足口病普遍易感, 该病多见于5岁以下的儿童。 我国北方地区手足口病的发病高峰出现于每年6月份,南方地区则是在5月和9~10月各有一次手足口病暴发的高峰[4]。

密切接触是手足口病主要的传播方式 ,部分还可经呼吸道飞沫、粪-口或口-口途径传播。儿童经接触被污染的手、玩具、食具、衣物等感染病毒,因此手足口病易于幼儿园等机构暴发流行[5]。

手足口病你必须知道,手足口病最新版知识解读

图5. 手足口病的手足斑丘疹[4]

患病儿童和隐性感染者为主要传染源。我国健康人群中人类肠道病毒潜伏感染率较高。据2021年国内学者发表的一项荟萃分析,中国健康人群中手足口病的整体隐性感染率高达4.59%~44.12%,其中人类肠道病毒潜伏感染率为17.5%。0~5岁、5岁以上健康人群中人类肠道病毒潜伏感染率分别为24.4%、9.4%[6]。

除了短时间低热和感冒样症状,绝大多数手足口病患儿可出现典型皮疹,后者表现为手足、口周和口腔黏膜、臀、膝等部位出现直径2~6 mm的圆形或椭圆形丘疹、斑丘疹或丘疹水泡,常簇集分布,皮损周围伴有红晕,水泡内含少量液体,通常不痛不痒、不结痂、不留疤[1,5]。

口腔黏膜水泡破溃后可形成无痛性溃疡,愈后通常不遗留瘢痕。然而,手足口病患儿在无水泡基础上亦可出现疼痛性溃疡,多见于咽峡、软腭,舌和颊粘膜亦可受累[6]。

手足口病你必须知道,手足口病最新版知识解读

图6. 手足口病的口腔溃疡[4]

此外,手足口病可能引起一些不典型的皮肤病变,包括躯干、面颊或生殖器受累、出血性或紫癜性病变、大疱、脓疱、掌跖脱皮、患有特应性皮炎的区域加重(柯萨奇湿疹,eczema coxsackium)。手足口病还可能与指甲脱落、甲横嵴或甲横沟有关。

二、警惕手足口病的严重并发症

由上述2则案例可见,手足口病通常是一种具有自限性的病毒感染性疾病。大多数患儿常在7~10天内痊愈[1,5],预后良好,无需住院治疗,亦无后遗症。

然而,值得注意的是,亚洲地区有症状的手足口病住院率为6%(2.8%~14.9%),其中18.7%(6.7%~31.5%)因并发症住院。有症状感染者的整体病死率为52/10万,人类肠道病毒71型感染的病死率为230/10万[7]。

● 根据国内2012年的大型研究数据,12~23个月的儿童中手足口病死亡率最高(1.5/10万)。发病至确诊、死亡的中位时间分别为1.5天、3.5天。心肺或神经系统并发症的风险为1.1%,严重病死率为3.0%,90%以上的死亡病例与肠道病毒71型有关[4]。

● 一项纳入7项病例对照研究、共1641名参与者的荟萃分析显示,肠道病毒71型感染、男性、年龄⩽3岁、呕吐、紫绀、抽搐、发热持续时间⩾3天、不典型皮疹、腹胀与手足口病相关死亡无显著相关性。而患者出现嗜睡、昏迷、肺水肿/肺出血、癫痫发作、呼吸困难等症状时,死亡风险大约增加4~8倍,即这些表现是手足口病相关死亡的危险因素[8]。

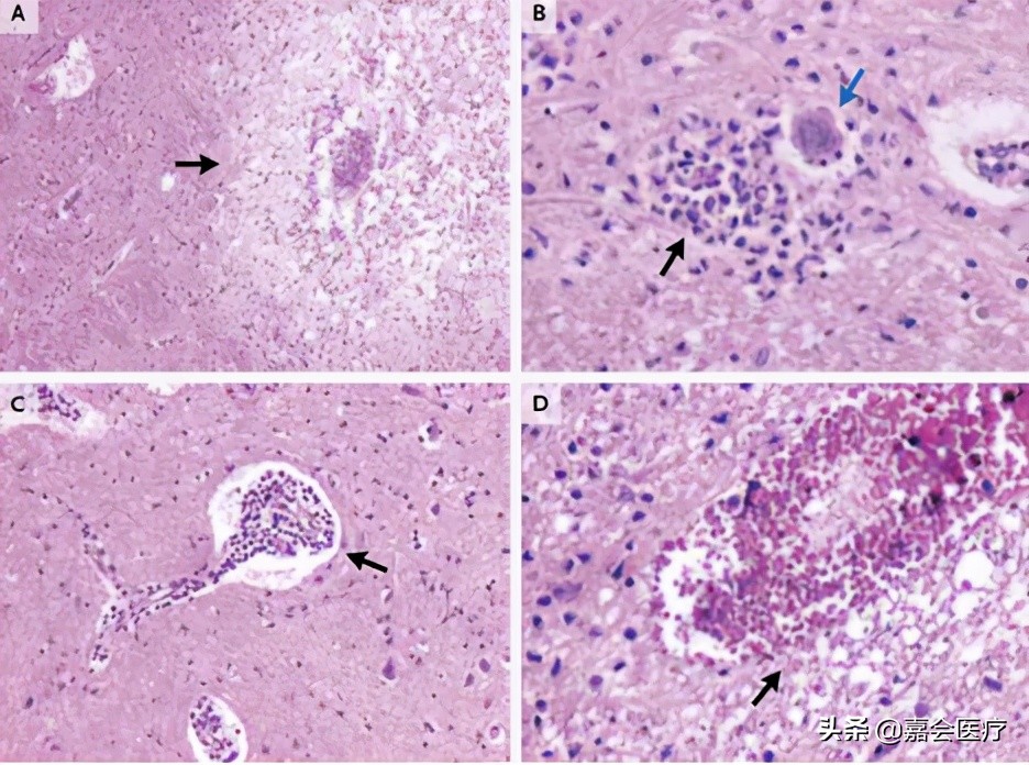
中枢神经系统损害 是儿童手足口病可能出现的罕见并发症,包括无菌性脑膜炎、急性弛缓性麻痹、脑脊髓炎等,多见于具有嗜神经性的肠道病毒71型。根据发表于新英格兰医学杂志中的尸检结果,脑干是手足口病神经系统并发症的“重灾区”[9]。

手足口病你必须知道,手足口病最新版知识解读

图7. 手足口病儿童的脑组织尸检:脑干神经元坏死、软化、噬神经细胞现象等[9]

中枢神经系统损害多发生在手足口病病程第1~5天内,患儿的临床表现包括精神不佳、嗜睡、吸吮无力、易惊、烦躁、颅内压增高表现(头痛、呕吐)、颈项强直、癫痫、震颤、肌无力等[1]。

● 新英格兰医学杂志报道的另一项研究中[10],研究者对肠道病毒71型感染合并中枢神经系统受累的142例儿童随访2.9年(中位数),发现56%的脊髓灰质炎样综合征儿童和20%的脑脊髓炎儿童后遗肢体无力和肌肉萎缩。中枢神经系统损害相关心肺功能衰竭的儿童中,64%后遗肢体无力和肌肉萎缩,61%需要置入喂养导管,57%需要呼吸机支持。

中枢神经系统损害相关心肺功能衰竭的儿童中,75%出现神经系统发育延迟,这些儿童的智力测试评分低于单纯中枢神经系统受累的儿童。

心肺功能衰竭 属于重症手足口病危重型,病死率较高。其临床表现为心动过速(少数为心动过缓)、呼吸困难、口唇紫绀、肺水肿/肺出血、低血压甚至休克[4]。嗜睡是严重手足口病并发神经源性肺水肿的首要危险因素,其次是呕吐、心动过速、高血压、呼吸节律改变、肢体震颤、不典型皮疹和高血糖[11]。

三、识别重症手足口病危重型

2018年《手足口病诊疗指南》中提出了及时识别重症手足口病危重型的高危人群与临床特征,现整理如下表[1]。

手足口病你必须知道,手足口病最新版知识解读

综上所述,手足口病通常是一种由人类肠道病毒71型和柯萨奇病毒A组16型感染引起的自限性疾病。大多数患儿常在7~10天内痊愈,预后良好。

然而,手足口病可能引起躯干、面颊或生殖器受累、出血或紫癜、大疱、脓疱、掌跖脱皮等一些不典型的皮肤黏膜病变,或者引发神经系统损害或心肺功能衰竭等严重并发症。因此,及时识别上述重症手足口病危重型的特征对降低患儿的死亡风险具有重要意义。

参考文献:

[1] Li XW, Ni X, Qian SY, et al. Chinese guidelines for the diagnosis and treatment of hand, foot and mouth disease (2018 edition). World J Pediatr. 2018;14(5):437-447. doi:10.1007/s12519-018-0189-8

[2] Goksugur N, Goksugur S. Images in clinical medicine. Hand, foot, and mouth disease. N Engl J Med. 2010;362(14):e49. doi:10.1056/NEJMicm0910628

[3] Kashyap RR, Kashyap RS. Hand, foot and mouth disease - a short case report. J Clin Exp Dent. 2015;7(2):e336-e338. Published 2015 Apr 1. doi:10.4317/jced.52031

[4] Yu DS, Zhang Y, Chen JH, Duan LP, Zhao XH, Li XL, Sun Q, Chen X, Liu JF, Zheng YH, Meng L. [Epidemiological features and pathogenic characteristics of hand, foot and mouth disease in Gansu Province, China during 2008-2012]. Bing Du Xue Bao. 2014 Jan;30(1):25-32. Chinese. PMID: 24772894.

[5] Saguil A, Kane SF, Lauters R, Mercado MG. Hand-Foot-and-Mouth Disease: Rapid Evidence Review. Am Fam Physician. 2019;100(7):408-414.

[6] Zhou YJ, Niu XD, Ding YQ, Qian Z, Zhao BL. Prevalence of recessive infection of pathogens of hand, foot, and mouth disease in healthy people in China: A meta-analysis. Medicine (Baltimore). 2021;100(7):e24855. doi:10.1097/MD.0000000000024855

[7] Koh WM, Badaruddin H, La H, Chen MI, Cook AR. Severity and burden of hand, foot and mouth disease in Asia: a modelling study. BMJ Glob Health. 2018 Jan 26;3(1):e000442. doi: 10.1136/bmjgh-2017-000442. PMID: 29564154; PMCID: PMC5859810.

[8] Ni XF, Li X, Xu C, et al. Risk factors for death from hand-foot-mouth disease: a meta-analysis. Epidemiol Infect. 2020;148:e44. Published 2020 Feb 27. doi:10.1017/S0950268819002279

[9] Jiang M, Wei D, Ou WL, Li KX, Luo DZ, Li YQ, Chen E, Nong GM. Autopsy findings in children with hand, foot, and mouth disease. N Engl J Med. 2012 Jul 5;367(1):91-2. doi: 10.1056/NEJMc1110981. PMID: 22762340.

[10] Chang LY, Huang LM, Gau SS, Wu YY, Hsia SH, Fan TY, Lin KL, Huang YC, Lu CY, Lin TY. Neurodevelopment and cognition in children after enterovirus 71 infection. N Engl J Med. 2007 Mar 22;356(12):1226-34. doi: 10.1056/NEJMoa065954. PMID: 17377160.

[11] Peng L, Luo R, Jiang Z. Risk factors for neurogenic pulmonary edema in patients with severe hand, foot, and mouth disease: A meta-analysis. Int J Infect Dis. 2017 Dec;65:37-43. doi: 10.1016/j.ijid.2017.09.020. Epub 2017 Sep 29. PMID: 28970089.

版权信息

本文由一嘉医课编辑部负责编写或约稿。如需转载,请联系jmre@jmre.org。未经授权使用文章内容及部分内容是侵权行为,版权方保留追究法律责任的权利。