外周动脉疾病是指:因 粥样硬化斑块及血栓造成动脉狭窄闭塞而导致身体局部缺血的疾病,主要包括上肢动脉(颈动脉)狭窄或堵塞、下肢动脉狭窄或堵塞,可能引起脑卒中、间歇性跛行、腿部或足部皮肤发冷、慢性疼痛和坏疽等症状。
外周血管疾病发病机制复杂多样,目前认为与环境、遗传、免疫、动脉粥样硬化等危险因素有关,此外,吸烟、肥胖、久站久坐的生活方式也会诱发外周血管疾病。外周血管病就是指冠状动脉以外的主动脉及其分支的一个狭窄或者闭塞或者瘤样扩张的一个疾病。
主要包括:
1.动脉系统疾病,动脉粥样硬化、闭塞性动脉硬化、下肢动脉血栓、主动脉瘤等;
2.静脉系统疾病,静脉曲张,静脉炎,下肢静脉血栓等。

介入治疗(Interventional treatment),是介于外科、内科治疗之间的新兴治疗方法,包括血管内介入和非血管介入治疗。经过近几十年的发展,现在已和外科、内科一道称为三大支柱性学科。 介入治疗的概念是指在影像设备(血管造影机、透视机、CT、MR、B超等)的导向下,经皮穿刺,利用穿刺针、导管、支架等器械,对疾病进行微创性诊断与治疗的一门技术。

介入学科治疗优势
外周血管介入是介入治疗的一大分支 ,是指在医学影像设备引导下,经血管穿刺途径对 除颅内血管和心脏冠状血管以外的其他血管 进行诊断或者治疗的技术,不包括经血管途径对肿瘤性疾病进行诊断或者治疗的技术。
外周血管疾病有很高的致残率及一定的致死率,传统的内科治疗效果甚微,手术治疗为有创治疗方法,且效果有限 。1964年,美国医师Dotter开创了不用开刀的外周血管病介入治疗方法,1972年Gnuntzig发明了双腔球囊导管,使这一技术发展成熟。此后相继开发了激光血管成形术,动力性血管成形术(旋磨导管),血管内支架,超声血管成形术,基因治疗及血管内放射治疗预防术后再狭窄等。
治疗方法的不断进步,适应证不断扩大,治疗效果明显提高。器材将复合化、生物一药物化,操作更简化。目前球囊导管、血管内支架仍将是主要治疗手段 。在将来预防再狭窄的治疗可能以血管内放射治疗和基因治疗成为发展的重点。 所以越来越多的外周血管疾病可通过经皮血管介入治疗,其优点是药物及手术治疗所不能代替的。
02—外周血管介入治疗
介入治疗的一大分支是外周血管介入,是指在医学影像设备引导下,经血管穿刺途径对除颅内血管和心脏冠状血管以外的其他血管进行诊断或者治疗的技术,不包括经血管途径对肿瘤性疾病进行诊断或者治疗的技术。
目前,我国周围血管疾病的介入治疗在临床中的应用也日趋广泛。介入治疗具有简便安全、微创伤性、合并症少、定位准确、可重复性等优点。外周血管疾病的介入治疗的范围已从原来的肢体动脉发展到大动脉以及静脉,甚至全身几乎所有的血管。目前最为成功的是髂、股动脉、肾动脉和下腔静脉狭窄的介入治疗。介入治疗的范围主要是血管狭窄或闭塞、血管扩张及血管畸形三大类疾病。
目前外周血管疾病的介入治疗方法主要有球囊血管成形术及血管支架置入术。球囊血管成形术的最佳适应证是中等大小或大血管局限、孤立性短段狭窄,其次为多发、分散的短段狭窄和闭塞。长段狭窄或闭塞、小血管病变、溃疡性狭窄或已有钙化的狭窄或闭塞病变不适宜于PTA治疗。血管支架是指在管腔球囊扩张成形的基础上,在病变段置入内支架以达到支撑狭窄闭塞段血管,减少血管弹性回缩及再塑形,保持管腔血流通畅的目的。部分内支架还具有预防再狭窄的作用。另外,动静脉血栓形成可行介入导管血栓清除术及留置导管接触性溶栓治疗,相对于外科手术,风险小,并发症少,患者耐受性强,相对内科药物治疗效果好。动脉瘤的治疗,选用覆膜支架隔绝瘤体进行局部腔内血管成形术,同时能保持血管管腔通畅,大大降低了动脉瘤破裂出血的风险。
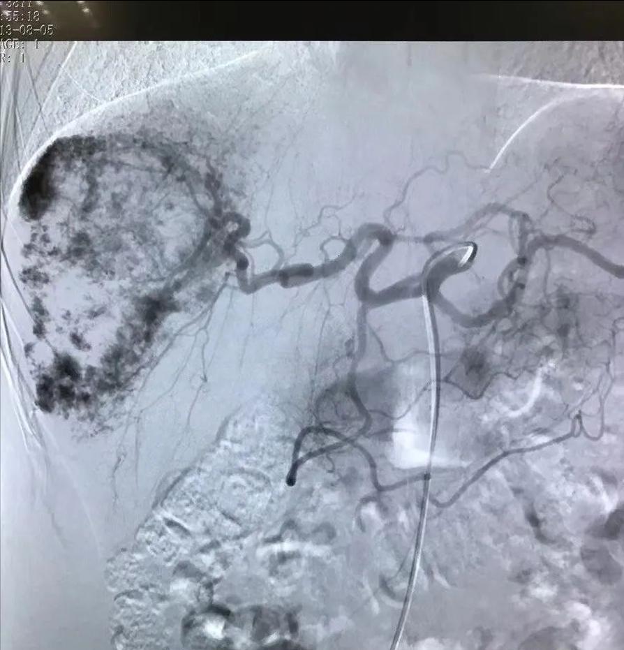
介入栓塞治疗肝血管瘤

03—外周血管介入的适应症
一、胸部疾病
1、肺部大咳血
2 、肺大疱
二、肝胆病变
1、原发性肝癌
2、肝脏转移性肿瘤
3、肝脏良性占位性病变
4、胆管疾病
三、胃肠道病变
1、胃肠道良、恶性狭窄
2、消化道出血
3、胃肠道肿瘤;
四、泌尿生殖系统疾病
1、肾占位性病变
2、肾动脉狭窄
3、妇科恶性肿瘤
4、子宫肌瘤、子宫腺肌症等其他良性病变;
五、血管病变
1、动脉狭窄或闭塞
2、动脉瘤
3、动静脉瘘
4、深静脉血栓形成
5、上、下腔静脉阻塞综合征、下肢静脉曲张