
CPTN讯,8月26日下午,第二届中法质子重离子放疗高峰论坛暨第二届广州市医师协会放射肿瘤学分会年会在广州白云国际会议中心召开。本届论坛由广州市医师协会主办;广州医科大学附属肿瘤医院、 广州医科大学高水平大学建设综合办公室承办;法国居里研究所协办。日程详见:[会议日程]第二届中法质子重离子放疗高峰论坛 | 8月25-27日 广州
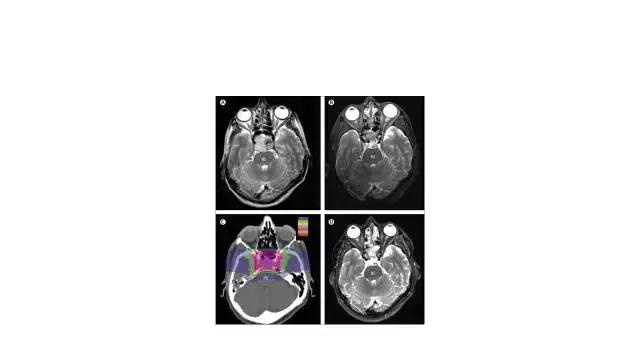
国际知名放疗专家、法国居里研究所Pierre Bey教授出席会议并在会上做学术报告《颅底肿瘤的质子放疗》,介绍了斜坡脊索瘤等颅内肿瘤质子临床应用的最新前沿进展。
Pierre Bey教授现任法国抗癌联盟主席,曾任法国居里研究所所长。此前,他接受过CPTN的专访:(点击标题可以打开):
[专访]法国居里所前所长Pierre Bey教授:笔型束的质子中心今年启动
法国居里研究所是欧洲最大的肿瘤治疗和研究机构,创建于1909年,是世界著名科学家居里夫人设计规划的,该所包括居里夫人在内,历史上共获得五次诺贝尔奖。该所包括两个世界顶级肿瘤专科医院和一个质子肿瘤放射治疗中心,其中儿童肿瘤、眼科肿瘤、神经肿瘤及软组织肿瘤的质子放疗成是该院特色专科,享誉世界。
以下 是Pierre Bey 教授的演讲PPT全文:(PPT由主办方和Pierre Bey教授合作团队-广州医科大学附属肿瘤医院张秀萍教授团队提供并授权我们发布)

































▼重离子质子就医渠道请点击“阅读原文”;