秋季,对于很多爱美人士是个让人欢喜让人忧的季节!欢喜是因为天气已转凉,不用再忍受夏天的燥热;忧愁却是这个干燥的季节,不仅皮肤缺水脱皮,头发也变得干枯分叉、缺乏弹性。尤其像百万粉丝播主@嘿SASA这样因工作需要经常要烫染头发、做造型的女孩子,头发更是严重缺乏营养,变得像稻草一般。那么如何拯救稻草般的头发呢?百万粉丝播主@嘿SASA推荐丝婷TM净护调理二合一洗发露,清洁头发深层修护一步到位,烫染损伤的发质也不用担心啦!
我特地做了功课,并且亲自试验之后才推荐给大家的哦~丝婷TM净护调理二合一洗发露适用所有发质,洁净、修护一步到位。

1.丝婷 TM 净护调 理二合一洗发露
秀发焕活密钥—ENERJUVETM专利科技
经过多年研究,丝婷全新ENERJUVETM专利强化修护科技,集粹三大核心技术,深入发芯内部,修护受损发丝,源源补给营养与水分,让每一缕发丝焕现鲜活生命力!
第一步:精准定位
ENERJUVETM *4精准定位发丝受损部位,以自身携带的正离子与受损处负离子精密结合,重焕发丝健康强韧。
第二步:重建发芯
ENERJUVETM *5渗透发芯深处,卓效修护发丝受损、营养不良的内部,由内而外改善秀发弹性与活力。
第三步:表层修护
持续使用后,ENERJUVETM *6会在发丝表层形成自然保护盾,修护外翘毛鳞片,帮助抚顺发丝表层,耀放秀发光彩与亮泽。
修复头发毛鳞片,焕现秀发光彩
日常生活中,染烫造型、空气污染等因素会导致头发毛鳞片受损,从而使头发遭受干枯毛躁,头皮屑,容易掉发等问题困扰。因此,需要每日对秀发进行护理,焕现秀发的柔顺,强韧与光泽。
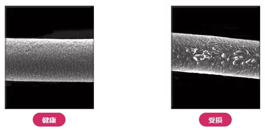
-
健康头发:毛鳞片顺滑平整,秀发焕现丝滑强韧。
-
受损头发:毛鳞片打开翘起,干燥干涩,发芯受损,特别易枯易断。

自然能量,卓效呵护
丝婷 TM 净护调理二合一洗发露将自然营养理念延伸至秀发护理产品,萃取各种植物精华及保湿成分,让每一缕发丝享受大自然的呵护和滋润。富含维生素E、玻璃苣籽油,帮助秀发柔顺润泽:
-
玻璃苣籽油:所含有的GLA(gamma亚油酸)非常丰富,具有保湿、促进细胞再生的功能,能有效净化和平衡混合性皮肤及发丝。
-
维生素E:可抵抗毛发衰老,并且还可以促进毛母细胞分裂,从而起到保护头发的功效。

发型师曾经和我说过,烫染过的头发因为确实大量的水分和营养会变成发芯中空的状态,所以用手指划过触摸的时候会感觉缺乏弹性、干枯打结,色泽也会变差,不过有了丝婷 TM 净护调理二合一洗发露,这些再也不用担心啦~
2.用量节省 性质温和

乳状质地 用量节省
丝婷TM净护调理二合一洗发露乳状质地,泡沫丰富,用一点点就能清洗干净,用量非常节省~

PH测试 温和中性
对丝婷TM净护调理二合一洗发露进行PH试纸测试,显示其呈中性性质,比其他碱性洗发露要温和得多,所以洗完头后没有涩涩的感觉,相反是清爽细腻,发质也变得顺滑了不少~

3.使用方法

在洗发时,切勿将洗发露直接抹在头皮上,那样会刺激毛囊细胞,严重时会导致脱发等现象发生。我每次洗发时,会将适量的洗发水倒入起泡瓶中,加适量温水摇匀后,只需轻轻按压泵口,就可以轻松获得丰盈细腻的泡沫。
使用对比

使用前后发质的变化,还是很明显哒:头发变得较之前更加顺滑强韧,而且光泽度也有所提升哦!讲真,效果真的是非常棒!
最后希望大家都能拥有一头如同电视广告女主角般柔顺丝滑的秀发,仅仅是发丝的飞舞,都能展示迷人的魅力。洗发露就选丝婷TM净护调理二合一洗发露!清洁头发深层修护一步到位哦~