前言: 前些天我在自己的公众号并同步到*今条头日**发了一篇关于肺磨玻璃结节的个人版指南。受到了广大肺结节病友及同道,还有普通大众的欢迎与关注,到目前为止共1周时间,在*今条头日**上阅读量已经超过6.1万,个人公众号里阅读量也近4300人。评论超过300条!其中有朋友留言,说我的公众文章多是讲磨玻璃结节的,希望我总结一下实性结节方面的经验。说实话,我之所以关注肺磨玻璃结节,是因为近年来我一直觉得肺磨玻璃结节相对惰性,发展慢,恶性程度低,但临床上大部分医生仍按依据实性肿块总结了来的指南指导临床手术,这样是 然 法律上更安全,但人文上个人觉得非常不妥,如果真以病人为中心考虑问题,则许多磨玻璃结节都可缩小手术范围,或推迟外科干预的时间。我的呼吁是为了推广这一理念,期望国内尽早今年托大量病例,总结出自己的经验,制定相应的指南,并指导临床,结束目前在肺磨玻璃结节治疗领域相对的乱象。实性结节相对于磨玻璃结节,一则判断良恶性更难,二是一旦确实是恶性,则依目前证据,仍是积极手术或需要肺叶切除加淋巴结清扫的,手术方式反而相对统一些。所以怕讲不清楚良恶性判断的同时也没有觉得做了肺叶切除是可惜的这种想法,所以呼吁总结的不多。但既然有朋友要求讲讲实性结节,我便尽自己所能斗胆来说一说,若有不妥之处望海涵,若有益之处望转发!
肺实性结节诊疗指南(个人版)
(一)概念
肺结节是指肺内直径小于或等于3 cm的类圆形或不规则形病灶,影像学表现为密度增高的阴影,可单发或多发,边界清晰或不清晰的病灶。不同密度的肺结节,其恶性概率不同,依据结节密度将肺结节分为三类:实性结节、部分实性结节和磨玻璃密度结节。其中,部分实性结节的恶性概率最高,依次为磨玻璃密度结节及实性结节。
(二)病因
肺实性结节中有一部分是肺癌,其他有更多的是良性疾病。从肺结节发生原因上来说,如果是结核、慢性炎、隐球菌等感染性疾病则与相应的微生物感染相关;如果是肺内淋巴结,则可能与肺部曾经炎症相关,也可能仅是反应性增生,无法断定原因;如果是胶原纤维增生,则应该是炎症后的类似疤痕的改变;如果是尘肺,则与职业粉尘吸入有关;如果是良性肿瘤,原因未明;如果是早期肺癌,则可同样套用之前在肺磨玻璃结节个人版指南中的原因:肺肿瘤发生率高是多种因素综合作用的结果,比较流行的说法是三霾五气,包括雾霾、烟霾、心理有阴霾;大气污染、烟气污染、厨房油烟气污染、装修材料释放的气体污染以及爱生闷气等。我个人的观点是:肺磨玻璃结节或肺癌的发生难以以单一的因素来解释发生的原因,我的猜想是:农药的广泛使用、转基因食品及其产品的广泛应用、装修材料污染、工作压力大休息不足、汽车尾汽与大气污染的推波助澜、心理问题增多结合遗传易感性等一系列综合因素作用的结果。这其中,农药的广泛使用、转基因食品及其制品可能是重要的因素。它们对机体的毒害作用肯定是经历几十年或影响某一代人的(点击链接:个人观点(2020.10.4):说点真话:现在的肺结节为什么这么多?)
(三)病理
肺实性结节病理相对复杂,因为可以是各种良性以及恶性疾病。良性的因为自己不是病理科医生,无法展开讲解。恶性的则除了下面这张肺腺癌的图表所列的以外,还有肺小细胞癌以及鳞癌、神经内分泌癌等不同的病理类型:

需要注意的是,实性结节若为恶性,我们碰到过不典型增生、原位腺癌、浸润性腺癌,鳞癌、小细胞癌,但没有遇到过微浸润性腺癌的。当然实性结节若是浸润性腺癌,少有贴壁生长型的,多为实体型、乳头型,少部分为微乳头型,也有可能是腺泡型。
(四)临床表现
肺实性结节若是周围型的,也基本都是无意中检查时或体检时发现,没有临床症状。有的可有胸闷或咳嗽不适去检查发现肺结节,症状也并非一定由于该结节引起。当然如果比较大的肺实性结节也不排除可能会稍有症状,比如咳嗽等。而若恶性程度很高的小细胞癌,伴有转移或者较大的实性结节时则会有相应的症状。但往往缺乏特异性,实际上小于3厘米的肺内结节多数仍是检查发现的。
(五)辅助检查
对于肺实性结节,亚厘米的常规胸片不容易发现,除非密度甚高,又在肺外围部位。较大的结节可以在胸片检查中发现,但要进一步判断其性质,仍少不了胸部CT检查。
1、胸部CT检查:是肺实性结节最主要的检查手段。如果结节较小,细节显示不清,可以加行病灶所在肺叶的靶扫描与重建。它能从各个方向显示病灶形态、边缘、与周围血管支气管的关系等细节。增强CT对于判断肺实性结节的价值远远大于针对磨玻璃结节,可以确实病灶的血供是否丰富,但若病灶为炎性或结核等,有时有强化也并不能判定为恶性。
2、PET-CT:对于肺实性结节有较大的诊断价值,因为它们都是依病灶血供是否丰富为基础的,实性病灶若为肺癌,往往说明其有丰富血供,若SUV摄取增高,需要判断恶性可能性大。但从临床来看,也并非十分准确,毕竟结节较小,有时低摄取的也不一定就是良性,高摄取的也不一定就是恶性,尤其亚厘米结节时,准确性更可能受到限制。
3、纤维支气管镜检查:因为我们今天所讨论的肺实性结节主要是周围型的,普通气管镜一般也到不了结节所在的位置,意义有限。但若超声引导下的纤维支气管镜等则能取到活检,那有有价值的。
4、CT引导下的肺穿刺活检:若结节在5毫米以下,穿刺往往较为困难,而若能在1厘米或以上,位置不要太过靠过肺血管,则穿刺可能能明确诊断。但对于能手术切除的肺结节,穿刺活检个人不太推荐(点击链接:我们爱学习之2015.10.25:肺小结节需要穿刺活检吗?)。
5、血液检查肿瘤指标:较大的肺结节可能会存在异常,但肿瘤指标正常绝非排除结节为恶性的理由。
6、超低温冷冻肺穿刺活检术:由于采用超低温技术,即使较小的结节也容易准确定位指向病灶,取到活检,但如果是能手术切除的病灶,考虑恶性,则活检非必需;若是因肺功能不佳,是恶性也不手术的,则超低温冷冻活检加消融可以考虑。
7、彩超等其他检查:若病灶没有远处转移或胸腔积液等,则对肺实性小结节几乎没什么价值,此处略过。
8、针对结核的PPD试验、T-SPOT、痰找抗酸杆菌、结核抗体等;以及针对隐球菌的隐球菌荚膜抗原试验、GM试验、G试验等有一定价值,可以考虑选择性化验检查。 (六)良恶性的判断
肺实性结节良恶性的判断要比磨玻璃结节复杂困难的多,而且不取到病理,再怎么细致分析影像仍可能误判。但经过那么多病例的分析,最重要的一点是“微小实性结节绝大多数是良性的!”这也是临床上检查发现比例最高的肺结节。除此之外还有哪些影像特征指向结节容易是良性以及容易是恶性的呢?
有以下表现的容易是良性结节:1、结节边缘特别光滑;2、结节小而密度却很高,邻近胸膜却无胸膜牵拉;3、高密度结节边缘模糊;4、密度较高的蜂窝状表现慢性炎可能性大;5、结节非圆形或类圆形,有棱角或长毛刺;6、有卫星灶或钙化。
而有以下特征的容易是恶性结节:1、结节有细毛刺征、胸膜凹陷征、分叶征、血管征或导致邻近血管走行方向改变等较为特征性影像表现的;2、结节抗炎治疗后复查增大进展或随访中增大的;3、持续存在而没有钙化灶或钙化点的实性结节;4、形态上有膨胀性,有收缩力、有破坏力的;5、影像上看无论良性的疾病或常见的恶性疾病都靠不上,感觉“四不像”的结节要当心;6、实性乏收缩边缘光整、易伴偏心空洞的孤立性肺结节容易是肺鳞癌;7、影像表现像炎症,但临床无呼吸道症状,炎性指标正常,抗炎治疗后也无好转吸收的。
下面我们举例来说明:
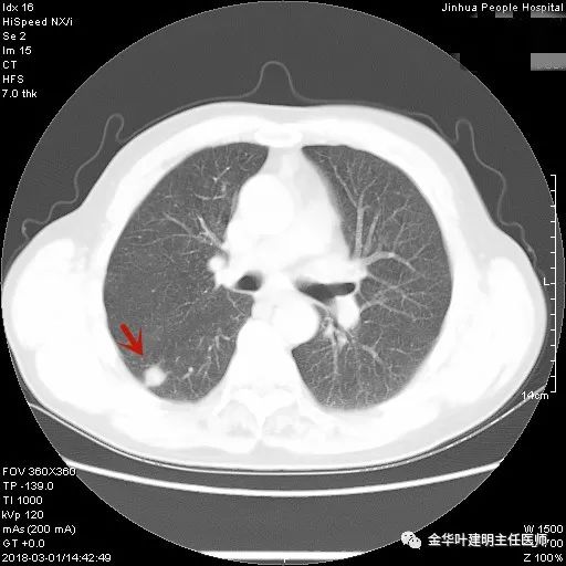
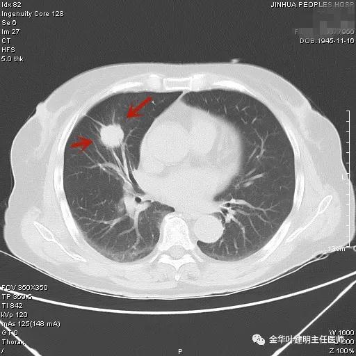
1、以下这种结节是体检发现中最常见的,它们基本上是良性的,可以年度复查:它们都是又上又实的微小结节,直径在5毫米左右或以下。实际上有许多非常焦虑的肺结节病友,他们很多人只是检查发现这种结节。我的建议是:年度复查!若实在不放心,也可半年时复查一次,以确定它不会生长。



2、下面这些是良性结节:

上图是错构瘤,肺良性肿瘤中最常见的类型。一般密度高,边界非常清楚,有时有钙化点或低密度的脂肪区域,但往往典型的少见。有一点是肯定的,就时:边缘非常光滑。如果手术时切开肺实质,它甚至可以像剥花生米一样剥出来。

上图示纤维增生。我们看病灶呈三角形,边缘平直,没有膨胀性,也没有细毛刺或胸膜牵拉,密度相对较高,而且均匀。

上图示胶原结节。我的理解是较慢性炎更向纤维瘢痕钙化发展,但仍未达钙化程度的一种状态(我不知道病理是不是这样)。该病灶表现为小而密度高的结节,边缘清晰,邻近胸膜却不牵拉,没有收缩力。

上图病灶是机化性肺炎。其实要从影像来定具体性质是难的,但这样的结节良性可能性大些。其边缘比较光滑,部分边缘平直,缺乏膨胀性,与胸膜关系近,但没有牵拉凹陷,说明收缩力弱或不明显。

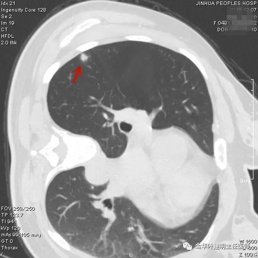
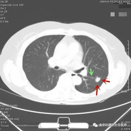
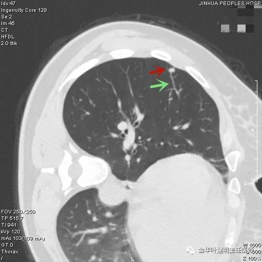
上图示结核。我们发现其有明显的卫星灶,如绿色箭头所示,主病灶处也是周边有模糊区域,病灶整体密度较为均匀(肿瘤容易生长不均致密度欠均匀,显杂乱)。

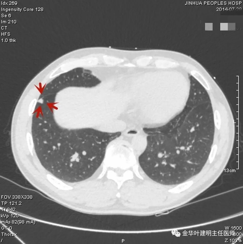
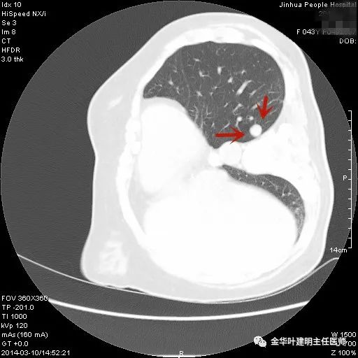
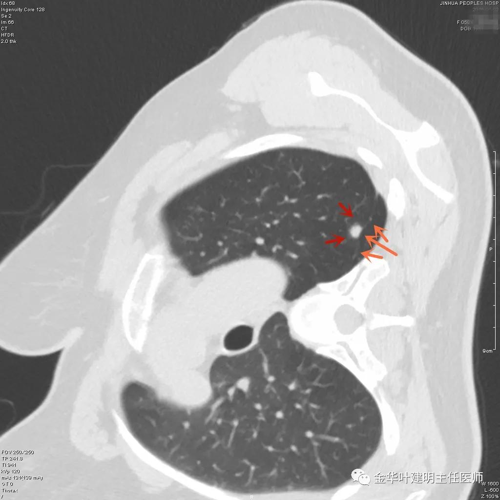
上图示典型的肺内淋巴结影像。靠近胸膜,高密度,三角形工多边形,相对比较孤立,周围没有炎性渗出或卫星灶,邻近胸膜(包括叶间胸膜)但无胸膜牵拉凹陷。

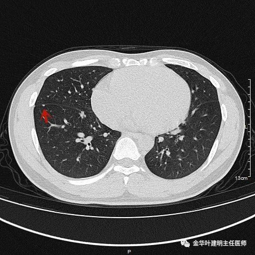
上图示慢性炎结节。我们见其桔色箭头示长毛刺征,绿色箭头示有血管贴边,但进出病灶的血管粗细相对没有什么改变(说明没有被病灶窃取多少血供),整体病灶边缘偏模糊。

上图示隐球菌性结节。是典型的表现,高密度结节,周围部位,病灶有晕征,收缩力弱(邻近胸膜无牵拉凹陷)。

上图示硬化性血管瘤:此结节考虑良性可能性大,但要定具体性质仍是困难的,其密度均匀,边缘非常光滑,没有卫星病灶,没有渗出改变,收缩力不明显(邻近胸膜无牵拉)。
以上是比较常见、相对较为典型的良性肺结节。那么恶性的又是如何的呢?下面继续来展示一下:

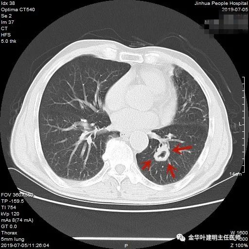
上图示鳞癌。病灶厚壁空洞,内壁凹凸不平,鳞癌可以乏收缩力,不一定有毛刺征或胸膜凹陷征。

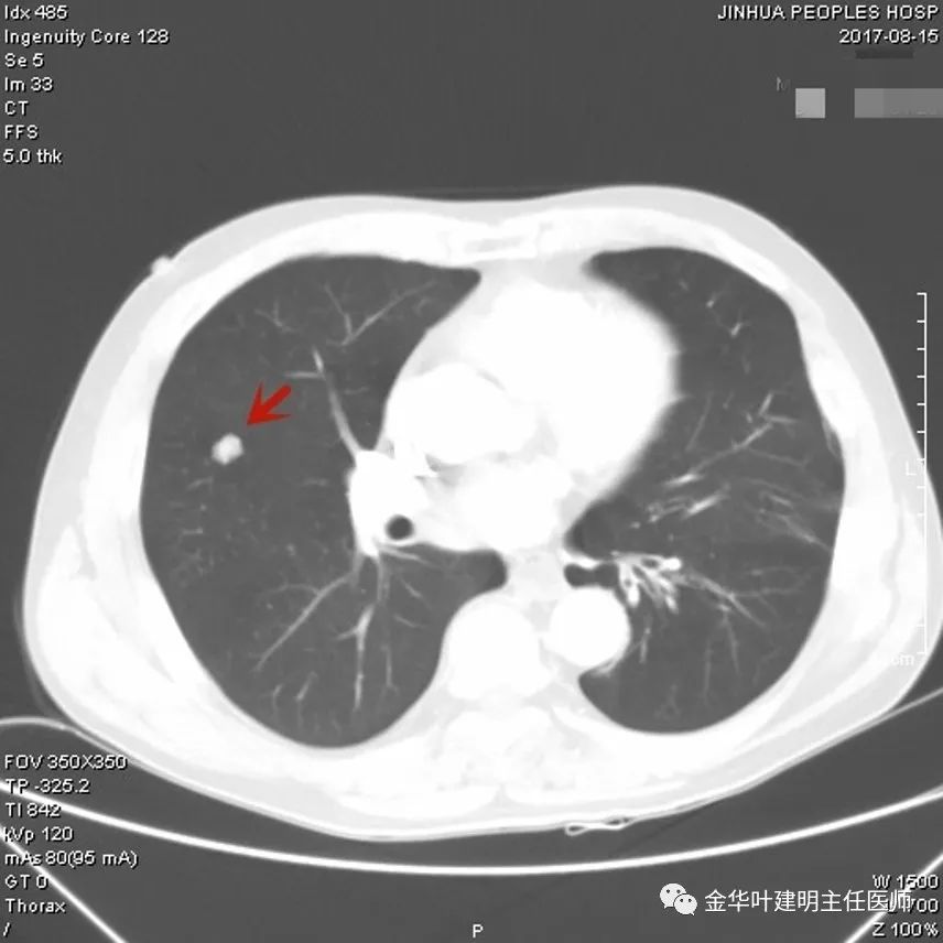
上图示浸润性腺癌典型表现。实性结节,有细毛刺征,有血管进入病灶,部分地方有浅分叶。
当然浸润性腺癌表现还有其他典型的一些特征,鉴于篇幅所限以及过于复杂多样,此暂不展开分析。有兴趣的朋友可关注我的公众号了解更多影像病理分析病例。其他小细胞肺癌、神经内分泌癌表现为肺结节的相对少些,暂不再展开分析了。实性结节难就难在,不同的疾病可都表现为肺结节影,我们来看下面的图像,谁能从影像上来分辨其到底是什么疾病呢:

上图是肺泡上皮增生

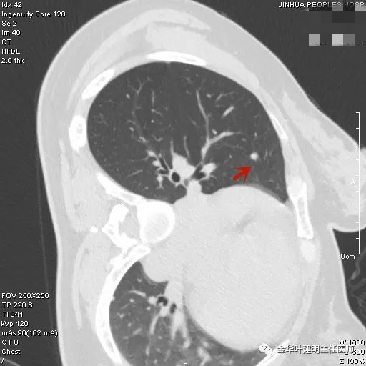
上图示结核

上图是浸润性腺癌

上图是肺内淋巴结

上图是鳞癌

上图是纤维增生

上图是隐球菌
这些病例中的结节,你说哪有很大的影像区别或与其实际疾病的特征呢?其实都很难判断出来,只知道是实性结节,有的偏大点,有的小的,密度都比较高。也有些时候,又是像下面这种情况:

上图是结核,但这么明显的左上肺占位,谁又能从影像上排除它是肺癌呢?当然回头看,病灶中间密度低(可能液性)、周围一圈强化明显些、与纵隔组织关系密切但没有明显侵犯,界限仍然清楚,是有良性可能的。

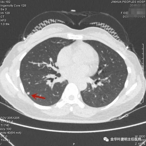
上图是肺内淋巴结。但我们看有明显血管进入病灶,胸膜似有牵拉,恶性的特征也不少。

上图是纤维增生,但我们看病灶有明显的叶间胸膜牵拉,虽然力度弱,但这么小的病灶能指望它有多少力度呢?恶性还是不能除外的。
当然也有许多时候,实际上是恶性,但却看上去像良性,比如:

上图是原位腺癌。这么大的实性结节,边缘光滑,乏收缩力,总是良性可能性大吧?结果是恶性的。

上图示浸润性腺癌。图像上看,病灶不小,收缩力弱,邻近胸膜没有牵拉,边缘还有的地方偏模糊,也不是圆形或类圆形的膨胀性生长,又没有毛刺征,也无明显分叶征,怎么看也良性可能更大呀。

上图也是浸润性腺癌。但同样边缘光滑,似有晕征,血管走行也不影响,病灶密度较为均匀。

上图也是浸润性腺癌。但病灶长条状,就像慢性炎,叶间胸膜牵拉较明显,也符合瘢痕收缩,又不是圆形或类圆形。
举了这么多例子,就是为了说明实性小结节的判断是多么的困难,影像难以做到很准确的判断,有时有明显良性特征的仍可能是恶性,有时有明显恶性特征的倒又可能是良性。“病理为王”在实性肺结节中是最重要的标准!
(七)随访策略
总体上看,肺实性结节的随访要比磨玻璃结节更加警惕与注意些。特别是良恶性比较难定的时候。初次发现的肺实性结节一定一定要在较短的时间内复查一次以确定其有无生长性,当然5毫米或以下的可以适当放宽点,因为它们是恶性的概率相对低一些。而若微小结节间隔半年随访就会导致不可收拾的结局(广泛转移或明显进展)的话,反过来说,即使一发现就手术,也可能已经存在全身广泛微转移了,早点手术也可能效果并不好。而经过随访无明显进展的实性结节,即使是恶性,也说明至少恶性程度不是太高,预后相对较好,早点开与迟点开对预后影响可能并不大,特别是观察3个月左右的话。肺结节的随访指南众多,我根据临床经验的总结,归纳成以下的表格,希望对临床有一定的帮助:

因为当时是针对肺结节的,所以今天讲实性肺结节,主要是红色线条框起来的部分。需要注意的是像不像恶性的判断是需要经验与大量阅片为基础来支撑的,是专业医生的事,切不可患者自己觉得像或不像恶性。
(八)手术治疗
我们先来看肺癌治疗指南对于手术方式的推荐:

文中说“解剖性肺切除仍是标准术式,目前早期肺癌的标准术式仍是解剖性肺叶切除”。这是一个基本,1995年的结果也是按基本是实性结节或肿块得出的结论。所以对于实性结节,只要肺功能能够耐受,均应该行肺叶切除加淋巴结清扫的。所以在肺实性结节中,相对有更一致的意见,也不乱一些。在临床实践中,如果肺小结节,比如亚厘米大小的,先做了楔形切除,报告是肺癌时,该不该都再行肺叶切除加淋巴结清扫呢?原则上是的,但个人从感情上讲,如果可以亚肺叶切除的位置,若术中冰冻切片报告能够明确类型,不是微乳头或实性型成份的话,是否在充分告知的情况下不再进一步肺叶切除呢?当然最好纵隔淋巴结予以清扫,确定没有N2的转移,使遗漏的只是第11-14组淋巴结。事实上,对于实性结节,我们也应该基于国内大量的病例,来进一步分层,比如亚厘米的、1-2厘米的、2-3厘米的实性结节扫出的淋巴结阳性数到底有何区别,复发转移情况如何,以指导更精准的手术方式。
(九)术后辅助治疗问题
我们这里讨论的主要是单发肺实性结节的诊断与处理策略。如果是原发灶虽然小,却恶性程度高,已经转移了的,则按目前肺癌治疗指南处理便可。当单发肺实性结节,手术后病理报告是腺瘤样不典型增生、原位腺癌时,因为不存在转移复发风险,不需基因检测与相应的靶向治疗,也不需要放疗、化疗或免疫治疗。而若报告是浸润性腺癌,那么依目前指南,还要看有无高危因素,决定术后是否需要辅助治疗,具体同样见下表。中药的治疗从调理身体方面以及减轻化疗副任务方面考虑可以采用,但从随访肿瘤发生方面目前无确切证据能有显著效果。虽然我一直觉得肿瘤治疗的最终出路在中药,因为中医讲究天人合一、万物相生相克,有此病症,肯定有克它的药物,也虽然有中药治好肿瘤的个案,但目前的中医水平仍无法大规模复制治疗成功的个案。

(十)关于多原发癌问题
近几年碰到的病例,特别是肺磨玻璃结节为表现的早期肺癌,多原发的比例非常高,包括同时性的,也包括异时性的。它们的生物学行为与传统意义的肺癌明显不同。但在肺实性结节,临床上碰到多原发肺癌的比例非常少,如果有主病灶,又在他处有实性肺小结节,则要首先考虑是肺内转移,而不是多原发癌。决定治疗前最好有PET-CT的检查结果,以及取得主病灶的病理类型,再综合考虑决定后续治疗方案。如果真的能确定多发肺实性结节为多原发的,或者均在同一叶的,也可以考虑手术行肺叶切除治疗,并均行病理确认。临床也有杂交治疗的,比如主病灶肺叶切除,次病灶楔形切除;或者主病灶与次病灶分次手术切除,当然次病灶可能需妥协性亚肺叶切除;此外,尚可考虑主病灶手术治疗与次病灶其他局部治疗(比如消融、SBRT等)其他治疗措施相配合的方案。
(十一)肺癌术后的随访问题
肺实性结节是肺癌的,术后随访意见按目前的肺癌指南便可:

如果考虑良性的结节该如何随访,上面的随访策略部分已经有了说明。但如果病灶内有钙化,或者已经经过穿刺明确机化性炎症、淋巴结等以及经过手术切除确认是良性疾病的,则按理说术后不需要随访,但个人以为正常单位组织的体检都是一年一次胸部CT检查,若手术过或肺部有异常结节的,总也得1-2年查一次吧!如果经过病理证实的结核或隐球菌等的,则按相关疾病的规范治疗以及之后的随访与复查。
总之, 纯磨玻璃结节最重要的是适当随访再决定干预与否,实性结节最重要的是“取得病理依据”!!! 如果不取病理,则要持续关注随访。
今天这篇实性结节的科普文章花了我许多时间来总结与书写,如果你觉得有用,请不吝收藏、转发,让更多肺结节病友了解。如果有更好的意见与建议,也请在文末留言,共同探讨,以期后期更新!
(此处已添加医疗卡片,请到*今条头日**客户端查看)