
小时候,最爱听刘兰芳演播的《隋唐演义》,程咬金一出场三板斧“劈脑门、砍肉锤、挖眼仁”,遇到一般的对手,三招用完,往往把敌人就KO了,但是遇到战斗力强的对手,老程使完三招没有取胜,我们听着收音机都在为老程捏了一把汗。
在医学上,外科手术、放疗、化疗是对付恶性肿瘤治疗的三个基本方法。这三个基本方法,有时候有效,有时候效果不好。
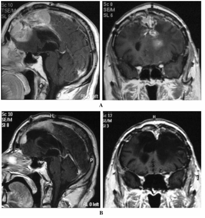
下面的这个意大利的病例挺有意思。

这是一个59岁的男性,2002年3月因为癫痫大发作,头部磁共振检查发现左侧额叶矢状窦脑膜瘤,做了“开颅肿瘤次全切除术”。2003年8月,发现肿瘤复发,做了第二次开颅手术。2004年8月,发现肿瘤第二次复发,第三次开颅手术后,他又进行了“适形放疗”+Hydroxyurea化疗,结果六个月之后肿瘤再次复发(下图A)。不光如此,由于肿瘤不断长大,他开始频繁癫痫发作,生活自理能力下降。
常规的方法不行了,就采取非常规的方法。
这一次大夫为他选择的是Temozolomide化疗,命运从此出现转机。治疗15个月,肿瘤体积缩小了60%(下图B),癫痫发作也减少了。
为什么Hydroxyurea化疗效果不佳,Temozolomide化疗起作用呢?
用医学常识没法解释,大概是他人品好吧。



#清风计划#