点击「神经介入在线」可快速关注

翻译:刘一凡、侯志凯
审校:马宁
摘要
背景及目的:颅内动脉粥样硬化是全球缺血性卒中的主要病因。颅内动脉管壁成像作为评估颅内动脉粥样硬化的有效检查而备受关注。本研究采用3T血管管壁成像序列对症状性大脑中动脉狭窄患者的颅内动脉的整体斑块负荷及其形态特点进行了评估,并在此基础上比较了症状性和无症状性病变的特点。
方法:本研究连续纳入19例缺血性卒中或短暂性脑缺血发作的患者(平均年龄:67岁;7位女性),且经3T磁共振扫描均伴有大脑中动脉狭窄,包括TOF-MRA序列以及对比注射造影剂前后T1加权VIRTA序列(83%的患者)。采用卡方检验比较不同斑块特征之间的相关性,P < 0.05认为有统计学意义。
结果:18例患者检出管壁病变(95%)。494受检节段中发现57处病灶,占12%。病灶主要位于前循环(82%)。偏心性病变与局部增厚存在相关关系,而向心性病变同弥漫增厚相关联(P < 0.001)。通过比较症状性颅内动脉粥样硬化与无症状性动脉粥样硬化可以发现:无症状性病变和偏心性病变存在相关关系(P < 0.05),而与是否强化及增厚形式无关。症状性病变与脂质斑块的形态特征不存在相关性。
结论:通过研究,我们得到2个结论:(1)以“管壁增厚形式和病变分布特点”的分类系统可以简化为只用“病变分布特点”来分类;(2)通过颅内血管壁成像可以鉴别症状性和无症状性动脉粥样硬化病变。
颅内动脉粥样硬化性疾病是导致全球卒中的一个主要原因,也是导致亚洲人群卒中的最常见病因。颅内动脉粥样硬化患者发生脑卒中的风险很高。无症状性大脑中动脉狭窄患者每年卒中的发生率是2.8%,而症状性大脑中动脉狭窄患者每年的发生率则高达4倍。多年以来,一般采用血管造影来评估颅内动脉粥样硬化性疾病,并且认为管腔狭窄率能准确地反映ICAS的严重程度。近年来随着对动脉粥样硬化斑块的进一步研究,颅内血管管壁成像有取代血管造影之势。目前认为粥样硬化的动脉向外重塑时,斑块虽然重塑但却不伴有血管管腔的狭窄。
颈内动脉和冠状动脉的组织病理学研究发现:含大的坏死核心、斑块内出血、或质地较软的斑块发生破裂的风险较高。同时,磁共振血管成像可以反映动脉粥样硬化的某些斑块特征, 如薄的或破裂纤维帽。2014年,Carbon等人研究表明斑块负荷、血管壁剪切力及斑块表型(包括一些斑块特征)可以预测冠状动脉粥样硬化斑块的发展及易损性。PROSPECT(The Providing Regional Observations to Study Predictors of Events in the CoronaryTree trial)研究表明,斑块负荷过大与进展性斑块相关。颅内动脉的斑块负荷及形态学特征非常重要,有助于了解颅内动脉斑块的易损性。鉴此,颅内血管壁成像已成研究热点。由于颅内动脉评估更加困难,因此其斑块负荷和形态特征都知之甚少。大脑中动脉的斑块重塑形式和斑块分布(上壁、后壁、下壁、前壁)几个可以评估的特征。另外,一些较小的研究提出可以评估颅内斑块偏心性和强化特征,目前认为后者是评估斑块易损性的重要指标。除了颅内斑块形态学特征,无症状性和症状性动脉粥样硬化斑块形态学特征的差异,对于危险程度分层和治疗抉择亦有意义。因此,本研究采用3T血管管壁成像序列对症状性大脑中动脉狭窄患者的颅内动脉的整体斑块负荷及其形态特点进行了评估,并在此基础上比较了症状性和无症状性病变的特点。
研究方法
研究对象
香港中文大学机构审查会批准了本例前瞻性研究,检查前患者均签署知情同意书。2014年2月-9月,连续纳入了中国的症状性大脑中动脉狭窄患者,所有患者均经DSA、临床检查或常规MRI证实存在大脑中动脉狭窄,且均能接受MRI检查,无MRI禁忌症。详细记录患者年龄、性别和血管危险因素等特征。针对使用最新技术的研究对象,比较当前序列与其他3个血管壁序列以选出最好的序列,总结基线数据(例如:平均年龄、性别),呈现清楚血管壁。
成像
所有患者均使用8通道相控阵线圈的3.0TAchieva核磁设备(PhilipsHealthcare, Cleveland, OH)进行磁共振成像,检查包括T1加权VIRTA序列(83%的患者)前后对比,时间飞跃磁共振血管造影术(TOF-MRA)序列。在获得对比增强T1加权VIRTA序列之前,给予病人0.1ml/kg 含钆造影剂(Dotarem, Gadoteric acid 0.5 mmol/mL; Guerbet, RoissyCdG Cedex, France)。以下是T1w VIRTA扫描参数:视野:200×167×45mm3,获得分辨率:0.6×0.6×1.0 mm3,重建分辨率:0.5×0.5×0.5 mm3,重复时间1500ms,回波时间36ms,敏感因子:1.5(相位编码方向),回波间隔4.0ms,涡轮旋转回波+启动回声56 + 6,扫描时间6:51分钟。Anti-DRIVen平衡(DRIVE)模块用于增加对脑脊液的抑制。此外,在变量翻转角度我们使用最小翻转角25°调整脉冲序列用于增加对脑脊液和血液流的抑制。TOF-MRA序列扫描参数如下:视野200×200×56mm3 要求分辨率0.4×0.6×0.7 mm3,重复时间/ 回波时间 23ms/3.5ms,扫描时间3:07分钟。
图像分析
由2名经验丰富的影像科医生在离线工作站(Philips)盲法阅片,其中1名阅片者(N.D.,3年的经验)分析全部图像,另1名阅片者(A.K.,7年的经验)则分析部分图像(n = 10)。在T1wVIRTA序列中,将病灶对侧相应部位、病灶处的近心端或远心端作为参照,对wills环的主要动脉及其分支的血管病变进行评分(包括症状性和无症状性)。首先,我们认为DSA成像所显示的MCA狭窄的责任病灶为症状性病变,其他即为无症状性病变。其次,结合我们评估了粥样斑块的形态特征,包括管壁增厚形式,病变分布特点和强化特征。增厚形式分为局部增厚和弥漫增厚,局部增厚是短节段或者局部区域病变,弥漫增厚是长节段病变(如>0.5cm);病变分布特点分为偏心性(病灶累及< 50%)和向心性(病灶累及> 50%);再次,我们比较了造影剂注射前后的管壁强化效应,这样即对比了血管壁的信号强度与血管壁旁脑实质的信号强度(用漏斗作为参照)。最后,用TOF-MRA序列确认责任血管中是否存在血管壁病变。TOF-MRA序列显示的病变分为正常的、不规则的、狭窄的、闭塞的以及不规则且闭塞的。
统计分析
用IBM SPSS 20.0版Windows进行统计分析。用卡方检验评估不同斑块形态学特征之间、症状性和无症状性病变之间、症状性病变和MRA结果之间的相关性,用戴斯(Dice)相似系数、组内相关系数及95%置信区间评估观察者间信度。P< 0.05认为有统计学意义。
结果
研究对象
2014年2月-9月连续入组了19例(7位女性,平均年龄:67岁;年龄范围47-81岁)大脑中动脉狭窄患者,发病时间的中位数为592天(其中急性/亚急性患者[n = 4]发病时间:6 - 72天之间;慢性病人[n = 15]发病时间:145 - 2740天之间)。19例患者中2例患者曾有TIA病史,17例患者有缺血性卒中病史,图像分析时均未观察到影响分析的伪影。表1记录了患者的人口特征及脑血管病危险因素。

分布、负荷和特征
18例患者(95%)存在颅内血管壁病变,15例患者存在多发病变。评估者间信度很高:组内相关系数为0.71,95%置信区间(0.196-0.920)。评价位置的评估一致性中等偏上,Dice相似系数Dice为0.57。494处受检节段中总共发现57处病变(12%),其中47处(82%)位于前循环(颈内动脉[ICA],n = 18;大脑中动脉[MCA],n = 27,大脑前动脉[ACA], n = 2),10处(18%)位于后循环(基底动脉[BA],n = 3 ;大脑后动脉[PCA],n = 7,见表2及图1)。57处病变中,25处(44%)注射造影后有强化(图2),43处(75%)为偏心性病变,14处(25%)为向心性病变,42处(74%)为局部增厚,15处(26%)为弥散增厚(表3)。在前循环斑块中,偏心病变同局部增厚存相关(图2,图I在线数据补充),向心病变同弥漫性增厚相关(P< 0.001)。19处病变(33%)为症状性病变(MCA病变;1例患者双侧病变),38处病变(67%)为无症状性病变。比较无症状和症状性病变时, 发现偏心性病变和无症状病间存在很大的相关性(P< 0.05)(无症状病变中有32处为偏心病变,占84%;症状性病变中有11处为偏心病变,占58%),但与强化或特定的增厚型式无关。症状性病变没有任何特定的形态特性。此外,MRA上显示正常或不规则的血管壁病变常为无症状病变,而MRA上显示狭窄的或闭塞病变是为症状性病变(P < 0.001;图2)。MRA显示的30处病变中:26处位于前循环,4处位于后循环。此外,MRA上显示的8处病变是在血管壁扫描序列上发现相应病灶。这些病变中,6处为不规则病灶,1处是狭窄病灶(图3),另1处为不规则且闭塞病灶。两处狭窄病灶同时也是症状性病灶。


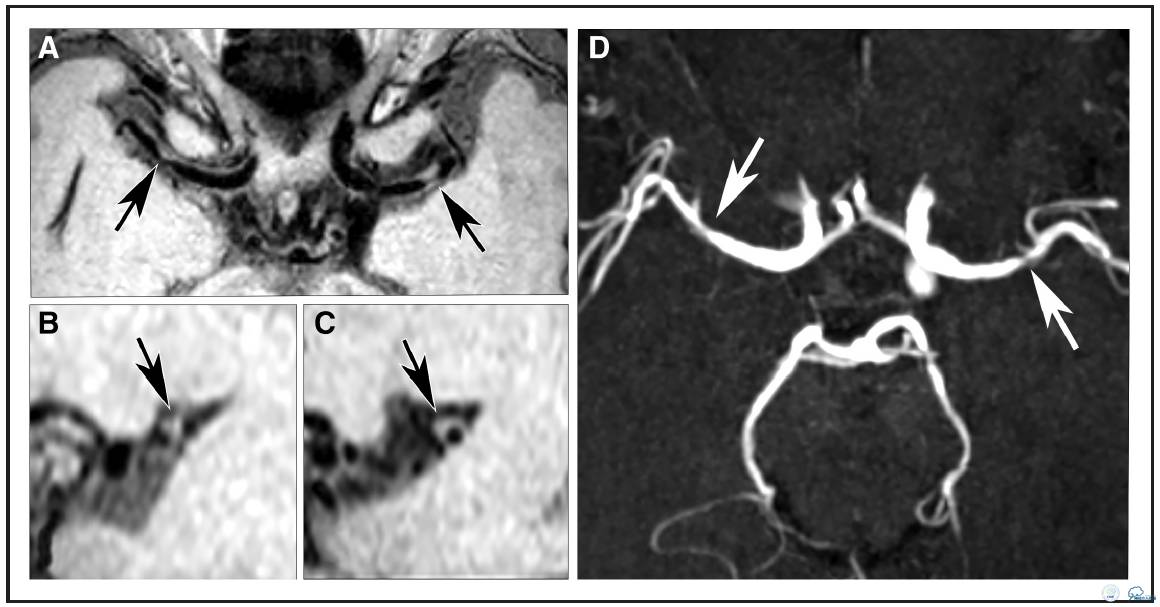
图1:72岁女性患者,左侧前循环梗死。A:横向各向同性的T1加权快速自旋回波采集容积重建图像。B:可见左侧大脑后动脉P2段偏心性,局部增厚病变(箭头),另外,可见基底动脉偏心,局部增厚病变(箭头B)不伴有管腔狭窄(箭头C)。C:横断面时间飞跃磁共振成象显示P2段同一位置为无症状血管壁狭窄病变。

图2:78岁TIA女性患者。A:等中心重建容积采集T1加权快速自旋回波序列成像发现右侧大脑中动脉双侧局部血管壁病变(箭头A),矢状位重建图像(B)右侧大脑中动脉病变(C)显示双侧病变均为偏心性。D:横断面时间飞跃法磁共振血管造影显示对应位置症状性左侧MCA狭窄,无症状性右侧MCA不规则狭窄(箭头D)。


图3:64岁男性患者,左侧大脑中动脉(MCA)狭窄引起的左侧部分前循环梗死。A:TOF-MRA示左侧大脑中动脉(MCA)存在小的狭窄(白箭头)。B:横向的T1加权自旋回波采集容积重建图像上没有相应的血管壁病变。
讨论
本研究评估了症状性MCA狭窄患者颅内斑块的整体负荷和斑块形态,对比症状性病变和无症状病变的形态学特征。发现:(1). 大多数病灶位于ICA的远端,ICA的颅内分叉处,MCAM1段。(2). 除了MCA责任病灶外,大多数患者尚有其他的无症状性病变。(3). 偏心病变与局部增厚、无症状病变相关。而症状性病变没有特定的形态学特征。
与其他以血管造影为基础的研究及另一项血管壁研究所得出的结论类似,动脉粥样硬化的斑块好发于ICA远端,ICA的颅内分叉处,MCA的M1段。Corban等对冠状动脉的研究表明:低剪切力在血管分叉处的斑块发生发挥了一定作用。分叉处斑块发生破裂的几率较高,因此未来造成缺血性事件的风险也高。大多数病灶位于ICA的远端另一个合理解释是入组病人存在症状性大脑中动脉狭窄,因此入组人群病灶偏向前循环。尽管这样,我们仍然发现18%的病灶位于后循环,67%的病灶是发生在其它部位而非责任部位的无症状性病灶。
大多数偏心性病变存在局部增厚,这一结论与Swartz等人早期研究发现结论符合,其认为动脉粥样硬化患者存在偏心病变伴局部增厚,而其他病变患者存在向心性病变伴弥漫性增厚,我们没有发现症状性斑块或者非症状性斑块与强化相关。颅内斑块增强的报道尚不一致,由于缺乏组织病理学资料,所以确切发病机制尚不清楚。我们还缺乏一些病灶的强化资料,因为(1). 部分患者缺乏注射造影剂后的扫描资料。(2). 大多数患者是慢性卒中患者。病灶强化是颅外动脉硬化斑块易损性的一个重要特征,但是颅内动脉粥样硬化并没有这个特点,造成这种差异的原因可能是脑组织有丰富的滋养血管,生命早期,脑组织的滋养血管很少,主要分布在脑血管的近心端。随年龄增长,滋养血管更加丰富,但同时可能存在血管异常(比如血管炎,动脉瘤,动脉粥样硬化)。如果滋养血管是造成病灶强化的唯一因素,那么这就能解释老年患者及动脉粥样硬化患者的血管床的强化。然而,我们并没有发现颅内血管的强化,这说明可能有其他不同机制参与颅内动脉的强化。
研究发现症状性病变和无症状病变有不同的形态学特征。无症状病变与斑块的偏心性分布相关,但是症状性病变却同时存在偏心性和向心性病变。与偏心性病变相比,向心性病变可能是更晚期的病变形式,因为向心性病变累及血管壁(矢状位)的50%以上。同时发现DSA检查证实MCA狭窄发生了正性/向外重构。比较未经DSA选择的症状性和无症状性大脑中动脉狭窄患者之间的是否存在差别非常有趣,除此之外,有趣的是,中国人和西方人血管壁病变特点也存在差异,中国人群中病变更厚,偏心性病变较多而弥散性较少,在未来的研究中,直接验证这个假说也许会成为研究热点。因为不同种族人群危险分层标准不同。
本研究存在以下几个局限性,第一,扫描序列的范围比较局限,可能漏掉一些病变,尤其是后循环和远心端的血管,因此扫描所发现的斑块负荷可能低于实际斑块负荷;第二,患者的入选标准是经DSA确认存在MCA狭窄,因此只纳入了已经狭窄的动脉粥样硬化患者,这可以解释本项研究中所发现斑块分布。基于症状性MCA狭窄上的入选标准也可以解释MRA和症状性/无症状性血管壁病变之间的相关性。未来的研究中,我们应该纳入经DSA检查确认不存在MCA狭窄的患者或者后循环卒中的患者,研究斑块的分布特点是否相似,MRA和血管壁有无相关性;第三,此研究通过不同的方式纳入患者,因此急性和慢性患者都包含在内,从卒中/TIA发作到核磁扫描的时间跨度非常长,这也许可以解释增强与大脑中动脉狭窄之间缺乏相关性。但是注射造影剂后强化的确切机制仍有待研究。第四,由于后来扫描序列增加了导频序列,所以只有少数病人做了导频序列扫描;最后,由于缺乏组织病理学资料(颅内动脉介入与颅外血管介入[如颈动脉内膜剥脱术]不同,因此获取颅内动脉标本十分困难),我们不能确定是否所有的病变都是有风险的病变,都是动脉粥样硬化,或者都是血管壁病变。
结论
研究表明,症状性大脑中动脉粥样硬化狭窄患者的病灶分布在颈内动脉的远端及其颅内分叉处或者大脑中动脉的M1段,缺血性卒中的患者的斑块分布也有相似的特点。此外,颅内动脉粥样硬化斑块主要与伴有弥漫增厚的偏心性病变相关。这可能表明以“管壁增厚形式和病变分布特点”的分类系统可以简化为只用“病变分布特点”来分类。最后,无症状病灶通常是偏心性斑块,而症状性病灶没有特定的形态学特征。或许将来可以以此特点来区分症状性和无症状性动脉粥样硬化病灶。
文献原文







