健康的牙龈通常呈现粉红色并且富有弹性,能与牙齿紧密贴合,牙齿间的缝隙也是比较小的。
但是日常生活中也不乏一些牙龈颜色并非粉红色,有时候呈现的是较浅或较深的情况出现。常见的贫血的人群牙龈颜色一般较浅,且抗病能力较弱,容易出现萎缩等情况;如果牙龈是深色,甚至发黑的话又是怎么回事呢?

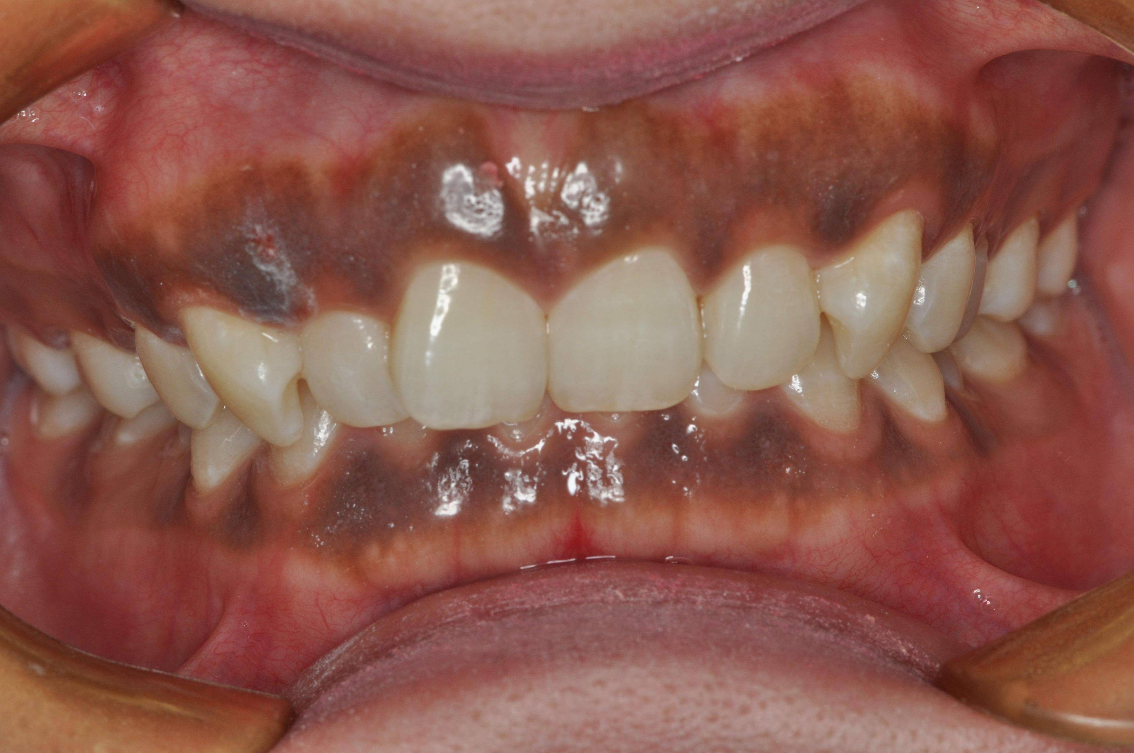
牙龈发黑是什么疾病!提醒:这些东西要停用!
1、牙结石造成的牙龈发黑
牙齿长期有牙结石附着刺激,容易造成牙龈出现炎症,颜色变深的情况出现。
解决办法:可以进行超声波洁牙,将附着在牙齿表面的牙结石清理干净,待刺激因子去除后,牙龈会慢慢恢复正常颜色。
2、不良修复体造成的牙龈发黑
口内安装有金属烤瓷牙冠的人群,金属烤瓷冠与牙龈组织长期接触,局部金属离子析出沉积在牙龈,造成牙龈发黑的情况出现。
解决办法:及时拆除不良修复体,更换成全瓷牙冠。

3、牙髓炎症造成的牙龈发黑
患有牙髓炎的患者,当牙髓坏死后,牙齿与牙龈之间的供养关系“中断”,容易造成牙龈也出现发黑的情况。
解决办法:建议及时进行根管治疗,将坏死的牙髓清理干净后再套上全瓷牙冠保护牙齿。
4、色素沉积造成的牙龈发黑
重金属染料以及植物色素进入人体血液循环后,体内的血红蛋白分解后引起牙龈的发黑。
解决办法:注意日常饮食摄入的安全,尤其是喜欢抽烟和咀嚼槟榔的人群应及时戒除掉、停用。
以上几种就是常见的牙龈发黑的解决措施。牙龈发黑作为身体是否患有病症的信号之一,一旦发现应该要重视,并及时治疗、戒除不良的习惯。
