30岁年轻女性,膝盖疼了半年,只要上、下楼梯或者是走坡的时候就会疼痛,久坐一会站起来也会有明显的关节疼痛,但是走平路逛街却没啥事,所以就没太在意,最近一段时间疼痛明显加重了,在医院进行了X线检查,却没有发现明显的问题,后来进行了核磁检查才发现她的存在着膝关节的一个比较常见的问题,髌骨倾斜、髌骨外移。今天我们就来聊聊这个比较容易被忽视的关节疾病!

髌骨的运动轨迹
髌骨在我们的关节当中起到了一个非常重要的作用,有了髌骨的支撑,我们膝关节的伸直力量会增加30%,就相当于一个杠杆的支点。
正常的髌骨,在我们膝关节活动时,是有一个滑动轨迹的,这个问题比较复杂,简单的说,大家可以理解为髌骨是沿着我们膝关节内股骨远端一个结构,就是股骨滑车滑动的。

大家可以把这个股骨滑车理解为在股骨远端有这样的一个凹槽,它的形态与髌骨是相匹配的,在滑车表面和髌骨表面都覆盖着软骨,可以让关节在运动的过程当中更润滑,减少摩擦。
为了维持髌骨在滑车内正常的轨迹,在髌骨的两侧分别有两个结构,叫做髌骨支持带,分别为内侧支持带和外侧支持带,这就相当于有两根麻绳维持着髌骨,一个正常的张力和稳定性。
但是当人们的外侧支持带变得异常紧张增厚的时候,就会将髌骨向外侧牵拉,大家可以想象在这样的力量持续的牵引下,髌骨就会发生向外侧的移动,也会发生向外侧的倾斜,那么在我们做屈伸运动的时候,髌骨与后方的股骨之间的压力将会明显的变大,久而久之,就会造成软骨的磨损,随着磨损程度的日益加重,关节间隙那么也会变得狭窄,患者就会面临骨关节炎以及关节活动受限等问题的困扰。

为什么会出现这种改变呢?
导致髌骨轨迹发生改变的因素有很多,比如我们下肢力线的异常,就有可能导致髌骨轨迹发生改变,像X型腿就是一个比较经典的例子,当我们的腿部发生X型腿改变,也就是膝外翻的时候,髌骨也会被向外侧方向牵扯,无形当中就会增加膝关节髌骨与后方股骨间的压力。

长时间的过度使用、外伤、髌骨脱位、性别(女性多见)、体重过大以及先天因素都会导致患者可能出现这种改变。
如何确诊呢?
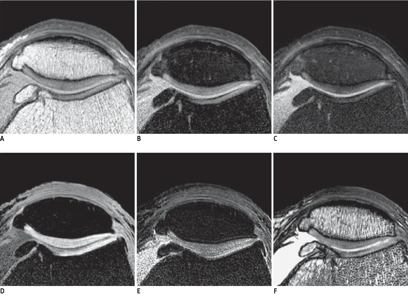
我们很多朋友啊,出现膝关节疼痛的时候,往往到医院想先用简单的检查发现问题,比如拍一张普通的膝关节X线片子,但是谢医生要告诉大家,一张最基本的膝关节正侧位片子,对于髌骨发生的倾斜等情况提供的信息量是非常少的,此时如果我们想要进行X线检查,那么进行膝关节的髌骨轴位像,往往是一个比较好的选择,通过这张X线片子,我们可以发现髌骨是否发生了倾斜或者是外移,但是有一个缺点,是我们不知道软骨到底磨损到了什么样的程度,关节内其他结构是否存在着损伤?


那么有些朋友会说做CT是否可行? CT检查一样确实可以发现髌骨是否有明显的异味,同时也能发现骨与骨之间是否有明显的磨损,但是同样有一个缺点,CT无法发现关节内的软骨磨损程度,关节内的半月板等其他结构是否存在问题?
如果您想彻底的了解一下我们自己的膝关节到底有没有以上的问题,那么膝关节的核磁检查是最优选,不仅可以判断髌骨的外倾外移的程度,同时可以发现软骨是否存在损伤关节内,其他的结构是否有问题,这对于医生进行治疗抉择的时候起到的作用是非常大的。

一个小查体,教给大家!
那么有没有什么居家可以进行的小查体来帮助我们进行一个初步判断呢,其实是有的,大家可以看下面的这个动图,我们把一只手放在需要检测朋友的膝盖下方,起到一个支撑的作用,用另一只手向下、向髌骨的周围用力做研磨动作,这叫髌骨研磨试验,如果诱发患者的明显疼痛,说明关节内的髌骨软骨可能有磨损了,这是您需要去医院好好看一看。

髌骨外倾、外移有哪些症状呢?
●髌骨轨迹改变的早期症状往往并不是特别的明显,有些患者可能会在劳累以后或者是长时间的久站久蹲盘腿以后出现膝关节的不适,但是休息一夜或者是几天症状就会消失了,所以不会太引起人们的重视,少数患者可能会在屈伸关节的时候听到咔、咔的响声,但不疼,也就没在乎。
●当髌骨的软骨发生了明显的磨损以后,或者屈伸关节的时候将会有明显膝关节外侧的疼痛,因为这个地方压力太大了,而且有些患者的关节弹响就会越来越明显,甚至躺在床上的时候,在夜深人静的时候屈伸关节,自己都能听到明显的响声,有一些患者会伴有明显的疼痛。

患者疼痛往往在上、下楼梯或者是长时间久蹲、长时间盘腿的时候出现,有的时候坐一会再站起来,也会出现关节明显的疼痛,但患者往往在走平路的时候就不会有特殊的症状,这主要是由于我们在走平路时,髌骨和后方的股骨几乎是没有太大接触的,不会造成压力的增加,疼痛自然也不明显。
●但是当症状进一步的加重,髌骨软骨磨损殆尽,髌骨股骨关节明显的狭窄,那患者的症状就会更加严重,甚至有一些患者在走平路的时候也会出现明显的膝关节疼痛以外侧为主,有一些患者会出现明显的屈膝障碍,也就是不能正常的将膝关节屈到全角度,只能屈伸90~100°之间。

如何治疗呢?
●如果症状发现得比较早,患者疼痛并没有特别的明显,那么就不需要太特殊的治疗,我们只需要加强关节的康复锻炼,让我们膝关节周边的肌肉更加强健,尤其是膝关节内侧肌肉的锻炼,尽量减轻关节向外侧倾斜的程度。




同时在日常生活当中一定要注意,不要长时间的久蹲、盘腿或翘二郎腿,女性朋友们不要长时间的蹲在地上或者是跪在地上擦地,这对于保护我们的关节非常的重要。
可以考虑口服三个月左右的氨基葡萄糖,观察能否帮助自己缓解症状,如果经过口服三个月的时间没有任何的缓解,那么说明氨基葡萄糖对您无效,就不要再继续服用了。
体重对于关节的影响也特别的明显,建议一定要把体重控制在标准范围内。

总的来说,早期还是以康复锻炼、控制体重,减少增加髌骨股骨关节压力的活动为主。
●到了中期的患者往往疼痛比较明显,此时说明关节腔内出现了滑膜炎症,可以通过口服或者是外用非甾体抗炎镇痛药的办法来帮助我们控制疼痛,一般建议不超过两周的时间。
如果患者的年龄已经超过了38岁,症状又比较明显,经过一段时间的药物治疗,没有明显的缓解,那么可以考虑进行关节内注射玻璃酸钠或者是富血小板血浆因子来进行治疗。

当然在这个时期,康复锻炼、控制体重等以上的措施是属于基石 ,仍然需要进一步的保持。
●如果您的问题到了晚期才发现,关节软骨已经明显磨损了,关节屈伸角度也出现了明显的障碍,那么进行以上的这些治疗可能不会达到效果。这个时间段需要进行的是髌骨股骨关节置换,才能彻底的帮助您解决问题,当然医生和患者都不希望您能达到这样的程度。
和女性朋友们,多啰嗦几句!
谢医生体会是,在临床上女性朋友出现髌骨的问题是比较大的,尤其是髌骨的外倾外移,有些女性朋友们啊,三十几岁甚至二十几岁的时候就会表现出症状了,建议女性朋友们在日常生活当中一定要减少长时间的久蹲、久跪这样的动作,不要在看电视的时候长时间的屈膝,尤其是把膝关节屈膝到极限,这对于关节软骨的刺激是非常大的。

处于 更年期 的女性朋友们更是要注意这一点,因为在这个时间段由于 雌激素水平的断崖式下降 ,女性朋友们关节软骨的强度将会有明显的下降,比较容易受到损伤。
总结
关于髌骨软骨磨损、髌骨外倾、外移的这个问题,谢医生就跟大家聊到这里,如果您有谢医生描述的这些症状,寻求专业的骨科医生或者是运动医学医生来帮您判断一下吧,看看自己是否存在着明显的髌骨软骨磨损吧, 越早发现越好治疗,对于我们关节的损伤将会越轻 ,您了解了吗?
如果您还有其他的疑惑,可以在下方留言,咱们大家共同探讨。
我是坚持用简单语言解释复杂疾病知识的谢新辉,码字不易,如果您赞同我的观点,请帮忙点个关注或点个赞吧,如果您或者是您的家人朋友也有髌骨外倾、外移的困扰,请把这篇文章转发给需要的他们吧,谢谢了!

#健康热力计划##健康明星计划##养老爆款星计划#