
很多人都遇到过牙龈出血的情况,比如啃苹果的时候,发现苹果上留下了带血的牙印;刷牙的时候,吐出来带血的泡泡;甚至用力吮吸的时候嘴巴里有点咸咸的味道……那么,牙龈为什么会出血呢?遇到牙龈出血时,正确的处理方法又是什么呢?
牙龈出血的原因是什么呢?
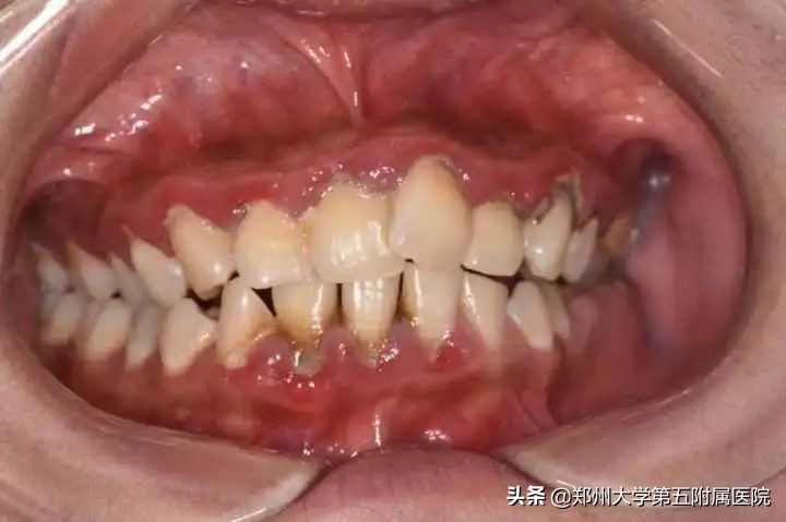
1 牙周病
这是造成牙龈出血的主要原因。由于口腔卫生不佳,牙结石长期存在于牙缝、牙龈之间,牙龈受刺激出现炎症,表现为颜色暗红,形态肿胀,轻轻一碰就会出血,甚至出现自发出血。

2 刷牙方式、牙刷选择
刷牙的方式方法过于*力暴**,牙刷的刷毛过硬,导致牙龈外伤出血。 一个常见的刷牙误区是:刷得越用力才能把牙刷得越干净。其实不是的, 错误的刷牙方法不仅刷不干净,而且还会损伤牙龈 。

3 全身疾病
比如血液疾病,肝、肾疾病等也会有牙龈出血的症状。
牙龈出血该怎么办?

1.及早就医,通过专业检查找出牙龈出血的原因。 如果是牙龈局部的炎症,可以通过洗牙、牙周刮治等手段进行治疗,去除牙齿周围的脏东西,炎症自然就会好转;同时,如果伴有身体其他部位疾病,也可以及早发现并转诊至相关科室诊治。

2.不建议使用止血牙膏。 止血牙膏也许可以缓解牙龈出血的症状,但其实是掩盖病情自欺欺人,牙菌斑、牙结石仍然存在于口腔中,持续刺激并损害牙周组织,时间久了,可能会出现牙齿松动、移位甚至脱落。
3.刷牙、牙线,日常清洁不能松懈。 很多人认为“出血的牙龈不能刷”,其实是不对的。越是出血的牙龈,越说明有炎症;而通过刷牙、牙线使脏东西被清除,有利于减少牙龈出血的风险。
4.如果出现牙龈出血量较大,可以用干棉球、干纱布压迫出血部位20~30分钟, 如仍无法缓解,需尽快就医。