无创,无痛,患者只需躺在床上,接受一种神奇射线的照射,即可精准"*破爆**"癌细胞;每次治疗过程不超过30分钟,治疗结束后,患者即可离开,不影响日常生活,五年内生存率达九成左右,治疗副作用大大减小......
这种抗癌方式你听说过吗?这并不是夸夸其谈,事实上,质子治疗作为整个放射治疗领域的“新秀”,就因为能够显著地增加对肿瘤的杀灭效应,减少传统放疗对正常组织和器官的毒副作用等优势,被公认为目前尖端的放射治疗技术,在整个肿瘤治疗界也是大放异彩!
从2004年山东省万杰医院引进第一台质子治疗系统开始,我国的质子治疗技术已有17年之久。这项被业内称为“抗癌利器”的高端治疗技术,给越来越多的肿瘤患者带来生存下去的希望。

质子治疗是FDA批准的治疗方法,可将带正电荷的质子导向肿瘤目标
你真的了解质子治疗吗?
质子治疗,也称为质子束疗法,是一种粒子疗法,它是目前最先进的放射疗法。同样是一种破坏细胞中DNA的治疗方法。质子治疗与普通的放射治疗相比最大的特点是可控制布拉格尖峰。
放疗中常用的X线,穿透皮肤2cm后仍会逐渐深入体内,因而会对正常细胞造成一定的伤害,导致一些严重的不良反应。而质子线会以非常快的速度穿透体表部分,达到预定深度,并在此释放大部分能量,将影响力发挥到最大,随后不再继续影响到其他正常细胞,因而对器官的损伤小很多。

不仅如此,对于一些常规放疗不敏感的肿瘤,由于能量更强大,质子治疗也能有良好的效果。
无癌家园的小编发现目前适合质子治疗的39类适应症中,提到的最多的是 手术切除困难、不能进行手术切除或手术不能完全切除的患者。 通常这些患者的 肿瘤所处位置比较特殊 ,如脑脊髓肿瘤、头颈部肿瘤、肺及纵隔部肿瘤、消化系统肿瘤、肝胆胰腺肿瘤、骨软组织肉瘤,或是患癌人群较为特殊,如 小儿肿瘤、老年肿瘤患者 等。质子治疗对于这些棘手又特殊的适应症的优势格外地明显。接下来,小编就通过临床研究及病例来阐述质子治疗适合哪些癌种和适应症!
手术切除困难、无法手术切除或手术无法完全切除的患者
01
II 期和 III 期非小细胞肺癌
手术通常不是 II 期和 III 期肺癌患者的选择,因为肿瘤可能太大,或者患者可能有医疗问题使他们成为不合适的候选人。在无法进行手术的情况下,采用质子疗法联合化疗进行积极治疗是一种选择。由于具有图像引导和笔形束质子治疗的质子治疗技术减少了对正常组织的辐射暴露,与其他形式的放射治疗相比,质子治疗显著降低了对正常肺、食道、脊髓和心脏的剂量。

与 X 射线/IMRT的辐射相比,质子治疗对肺部和其他附近器官的辐射更少。图像显示了治疗期间暴露于辐射的身体区域
02
局限期小细胞肺癌 (SCLC)
对于局限期小细胞肺癌患者,质子治疗联合化疗提供了比常规 X 射线辐射毒性更小的积极治疗。这种方案可以使治疗更耐受,副作用更少,如吞咽疼痛和辐射容易诱发肺炎的发生。

03
肝细胞癌
针对肝细胞癌,迄今为止,粒子线(质子和重离子治疗)的被曝范围明显小于X线。
粒子线非常好的适用案例:
1.巨大肝细胞癌: 由于无法手术,无法采用动脉灌注治疗,因此只能用粒子线治疗;
2.伴随着门静脉癌栓的肝细胞癌: 由于无法手术切除、无法采用动脉灌注治疗,因此只能使用粒子线期待根治。下图中的74岁男性患者发生门静脉癌栓,仅剩半年寿命,经粒子线治疗后存活5年以上,因此治疗效果甚好!

3.留置隔离垫手术: 在肿瘤和消化器官之间放置隔离垫进行隔离,这样可以使用更加强烈的照射射线量,来达到更好的治疗效果。
1 质子束放疗使不可切除肝癌的总生存期翻倍
波士顿马萨诸塞州综合医院报道的一项回顾性研究发现,与标准光子束放疗相比,在单一机构接受治疗的一小群患者中, 使用质子束技术的消融放疗使不可切除的肝细胞癌 (HCC) 患者的总生存期 (OS) 提高了一倍以上。
在一组 133 名患者中,接受质子束放疗的患者的 中位总生存期为 31个月 ,而接受光子束放疗的患者的中位总生存期为14个月 。
在2年后, 接受质子束治疗的患者中有 59.1%仍然活着,而接受光子束放射治疗的患者仅占 28.6% 。质子束治疗还能使患者发生非经典放射诱发性肝病 (RILD) 的风险降低74%。

X射线与质子疗法治疗肝癌的比较
质子放射治疗对肿瘤附近的正常组织提供的辐射剂量较少 ,因此对于肝细胞癌患者来说,这意味着影响未靶向肝脏部分的不需要的辐射剂量会减少。
2 适当提高质子治疗剂量可改善治疗效果,延长生存期
2005年,日本千叶县研究人员的报告指出,患者接受中位剂量为76 GyE/20 f的质子治疗后,30例患者中有 80%达到了放射学完全缓解,2年局部控制率(LC)为96% 。兵库县离子医学中心对242例接受8种质子治疗方案(52.8~84 GyE/4~38 f)的患者进行的回顾性分析显示, 5年局部控制率(LC)为90%,5年总生存率(OS)为38%。
MD安德森癌症中心的研究人员最近报告了46例患者采用不同分割方案进行质子治疗的回顾性分析结果,包括照射剂量为58 GyE/15 f和67.5GyE/15 f的治疗方案(56%)。他们指出,对于生物等效剂量(BED)≥90 GyE的患者, 中位总生存期从15.8个月提高到49.9个月 ,表明存在剂量反应效应。
04
胰腺癌
适应症:
1.无法手术切除的癌症 ——粒子线治疗并不是胰腺癌的「根治疗法」。
2.没有远处转移
局部浸润胰头癌的病例示意图:无法手术的胰头癌患者通常寿命是不到一年的,而图中病例目前已存活3年。

对术后局部复发病灶的质子线治疗,也有长期生存的希望。如图所示, 粒子线治疗后的中位生存期为26.1个月,明显长于其他治疗方法。

05
头颈癌
- 粒子线治疗的适应症
- 扁平上皮癌
- 恶性黑色素瘤
- 腺样囊性癌
- 腺癌
- 嗅神经母细胞瘤
- 粘液表皮样癌
- 其他癌肿
- 骨软组织肿瘤(骨肉瘤、脂肪肉瘤、平滑肌肉瘤等)
手术无法根治的时候(比方说有颅底浸润的时候无法切除)
如果手术会毁容的情况比较常见

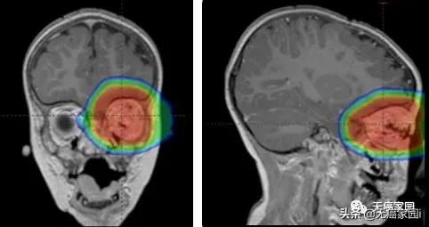
这位患者不适合采用X线治疗,采用质子线治疗后保护了眼球和脑部,照射后129个月,虽然留有瘢痕但没复发,治疗效果很好。
06
骨软组织肿瘤
在骨组织(骨・软骨・脊髓等)或软组织(肌肉、脂肪、神经、血管、结缔组织等)发生的肿瘤。患病率(发生率)是所有癌症的1%,软组织肉瘤10万人里就有1例,骨肉瘤是100万人里有1~2例。


07
前列腺癌
对于中期~进行期的前列腺癌,采用质子线的治疗效果优于手术切除。

质子线对于直肠的伤害较小,副作用也就较小。
08
胆管癌
胆管癌的癌种比较小,无法切除的可能性比较大,而这种小癌种正是粒子线治疗所擅长的。 特别是肝门部胆管癌和肝内胆管癌。
09
小儿肿瘤
小儿的固体肿瘤:1.脑肿瘤和神经肿瘤等
2.肝母细胞瘤和肾母细胞瘤等腹部肿瘤
3.骨肉瘤等软组织肿瘤
小儿放射线伤害的问题点: 1.二次癌变(几十年后发生二次性的癌症)
2.成长障碍:骨头或内脏不继续成长
使用质子线,尽量减少正常组织的被爆,重离子线的影响不明暂不使用。

如果使用X线治疗,一定会发生脊椎骨的生长障碍(低身高、侧弯、变形等),使用质子线治疗就不会发生生长障碍。
二次患癌风险降低69%!质子治疗抗癌又防复发
传统放疗主要指的是光子放疗,即X射线和γ射线。当光子放疗穿过肿瘤时,会继续发射剂量,难免会“误伤”肿瘤周围的正常组织,导致各种副作用。例如,脑瘤的放疗会导致精神不振等症状,食管癌的放疗会造成不同程度的吞咽不适。
通常这些放疗副作用是一过性的,或是短暂的,会逐渐消失或明显减轻,对患者影响不大。但不得不提的是最严重的副作用x射线(也称为光子)疗法会导致接受放射治疗的患者发生第二原发癌。
第二原发癌是相较第一原发癌而言的,是指在排除转移癌的前提下发生的第二种癌症。放疗导致的第二原发癌,可能会在很多年后发生,尤其是对儿童癌症患者危害更大。
近两年,越来越多的人开始认识并关注质子治疗这个放射治疗领域的新秀,认为这是一种更精准,副作用更小的放疗方式,是肿瘤患者放疗的更优选择,也有不少患者将其视作“治癌神器”。那么,质子治疗真的比传统放疗更好吗?质子治疗适合所有的肿瘤患者吗?
近期,美国斯坦福的研究人员发表在肿瘤领域享有盛誉的国际顶级期刊《Cancer》上的一项纳入了45万名各类肿瘤综合研究中,发现与传统的放疗相比,质子治疗竟然可以将罹患二次肿瘤的风险降低三倍以上!这项重磅研究的结果非常振奋人心。
结果显示:
与质子治疗相比,调强放疗和三维适形治疗后再次患癌的发病率分别高出 3.5倍和3.6倍!由此可见,质子治疗二次患癌的总风险降低了三分之二(69%)以上。对于最常用放射治疗几类癌症,质子治疗都可以降低二次患癌的几率,包括:
- 前列腺癌患者减少82%
- 头颈癌患者减少58%
- 至少随访五年的乳腺癌患者减少38%
- 在所有癌症患者中减少69%

这些研究表明,质子治疗在降低继发性癌症的风险方面具有非凡的优势!
1.质子比X射线更好地集中了放射线传输;
2.用X射线治疗的患者体内吸收的辐射量是用质子治疗的患者的2-3倍;
3.X射线产生的过多辐射会严重损害健康细胞并使之变异,从而导致严重的毒性反应,包括引发新的癌症。
儿童肿瘤患者是质子治疗的最佳获益人群
此前,哈佛大学的一项研究就证实,质子治疗可以减少所有年龄段的第二种癌症,尤其是对儿童肿瘤患者有益,因为他们在接受放疗后的体内积累的辐射量会在未来的数十年引发第二种癌症,据统计,在儿童中,X射线疗法会使第二种癌症发病率增加 600-1,000%! 这对于希望生存10年或更长时间的患者尤为重要。
◀
眼眶横纹肌肉瘤
▶
眼眶横纹肌肉瘤(RMS)是一种肿瘤,发生在容纳眼睛的窝(或眼眶)中,这种癌症的患者85%可以治愈。虽然用质子治疗RMS的研究规模很小,但结果显示出很大的希望。在马萨诸塞州综合医院进行的一项研究中,质子治疗对正常组织的辐射比X射线放疗更少,六年后,患者的副作用较少。
◀
儿童颅咽管瘤
▶

这个是儿童颅咽管癌的IMRT(上图:调强放疗,一种传统放疗的高端模式)与质子治疗(下图:Proton Therapy)的照射剂量分布比较,我们看箭头的指示,传统放疗照射剂量波及的范围很大,虽然颜色很淡(蓝色表示剂量低,黄色表示剂量高),但是需要多个方向同时照射才能达到肿瘤部位的致死剂量,对病灶周边正常组织的危害很大,容易引起严重的副作用,而质子治疗对健康组织的影响会小很多。
◀
儿童随母细胞瘤
▶
标准放射治疗的目标为全脑加上全脊椎,治疗涵括范围较大。传统X光放疗在治疗全脑全脊椎的同时无法避免照到腹部、骨盆腔器官,甚至可能造成放射线暴露器官的次发性肿瘤产生。相较之下,质子放疗能有效侷限放射剂量于目标组织,而不波及非治疗目标的其他器官。此外,在小儿小脑髓母细胞瘤的放射线疗程中,为了尽量消灭所有癌细胞,会于病童后颅窝额外加强放射,传统X光放疗连双侧耳蜗都会受到照射剂量,会造成小朋友后续听力减弱;若使用质子治疗,则对耳蜗的放射剂量能够趋近于零,病童放疗之后的听力得以保存。

这是髓母细胞瘤对脊柱照射剂量的分布图比较,上图是传统放疗的照射情况,我们可以看到箭头指示处是大面积的深棕色区域,这表示传统放疗会对身体造成大范围的损害,波及脊柱周边的脏器,而下图质子治疗则没有这样的损害。
质子治疗能显著减少放射线副作用,绝不仅限脑癌病童能受惠,其对于骨盆腔器官,比方生殖系统:如卵巢及*丸睾**、膀胱、直肠以及股骨头、生长板等,也都能降低器官接收的放射剂量,从而避免大部分非目标组织却受到放射线波及的伤害。
◀
儿童头颈部肿瘤
▶

这是头颈部肿瘤剂量分布图比较,我们明显能看到两者的差异,常规放疗蓝色区域很大,说明射线对病灶周边的正常组织有不可避免的损害,质子放疗可以减少咽喉和口腔部位的放疗损伤,降低发生口角炎、口腔炎、吞咽困难、口干的发生率。
◀
儿童视网膜母细胞瘤
▶

这是视网膜母细胞瘤两种疗法剂量分布图比较,很清楚地看到质子治疗病灶周边非常干净,没有多余的射线残留,而传统放疗波及范围就很大了,对于眼睛这一重要器官,治疗时尤其要注意并且要尽最大努力进行保护,质子治疗有绝对的优势。
儿童眼癌的新选择——质子治疗
质子治疗已经是传统放疗的一个公认的替代方案,并且能够降低对邻近组织如脑、视神经,以及正在生长的面部和眼眶骨骼造成损伤的风险。在某些情况下,质子治疗与化疗联合能够避免眼球摘除的风险。质子治疗所传递的聚焦放射剂量对于那些具有经辐射诱发的继发性肿瘤遗传倾向的儿童视网膜母细胞瘤患者非常重要。

质子疗法治疗视网膜母细胞瘤示意图
1 实锤1:局部控制率高、副作用小
一项回顾性研究对1986~2012年间接受质子治疗的49例视网膜母细胞瘤患者进行了分析。84%的患者得的是双侧性视网膜母细胞瘤,并且有几乎一半的患者接受过化疗。
中位随访时间8年,质子治疗后无眼球摘除生存率为81.6%,特别是那些早期患者。 质子治疗后的眼科随访结果表明61%(30/49)的患者保留了眼球,47%的患者恢复了视觉灵敏度,并且没有患者罹患继发性肿瘤。
对接受质子治疗的视网膜母细胞瘤患者的长期随访结果阐明了质子治疗的局部控制率高,甚至是对晚期病例,同时保留了大部分患者的有用视力。 治疗相关的眼部副作用并不常见,也没有发生放疗诱导的恶性肿瘤。
2 实锤2:最佳靶区覆盖率和最大眶骨保留
无论是局部或是全眼治疗,质子治疗都是视网膜母细胞瘤患者的一个不错的治疗选择。来自MD安德森癌症中心的一项回顾性研究中,对全视网膜和玻璃体腔给予36Gy/18F的放射剂量能为患者提供最佳的靶区覆盖率和最大的眶骨保留。
研究表明,在提供100%的靶区覆盖的同时,当照射剂量≥5Gy时, 质子能够将受到照射的平均眼眶体积限制在10%左右 ,而三维适行放射治疗(3D-CRT)为25%,调强适形放射治疗(IMRT)为69%。
综上所述, 在视网膜母细胞瘤中,质子治疗能够提供最佳的靶标覆盖率和最多的眶骨保留 ,这样的低剂量足以潜在地降低眶骨生长缺陷的可能性。
3 实锤3:辐射剂量较低,保证眼功能最大化
一项关于质子束放射治疗(PBRT)6例眼内肿瘤患者的临床研究中,共有3例视网膜母细胞瘤患者。
研究结果显示,与传统的光子放射疗法(EBRT)相比,PBRT具有物理优势。在下图的典型病例示意图中, 传统光子治疗在眼内靠近肿瘤的部位剂量较大,而且后眼眶和脑内肿瘤远端的剂量也明显高于质子治疗。

左图为常规光子束治疗,右图为质子束治疗
研究表明,在维持眼球的情况下,质子束具有比常规光子束更低的辐射剂量,而且最终可以使眼功能最大化。
质子治疗对于儿童肿瘤适应症更为广泛
- 室管膜瘤、颅咽管瘤、髓母细胞瘤、横纹肌肉瘤、神经母细胞瘤、视网膜母细胞瘤、视神经脑膜瘤、PNET/低级别胶质瘤次全切除术后;
- 质子可减少认知功能损伤、减少耳蜗剂量、减少听力损伤;
- 脑和脑干高级别胶质瘤,可用质子,但难以达到真正肿瘤边界,难以实现适形。
权威研究证实,质子治疗脊索瘤具备优越性
脊索瘤是局部的侵袭性或恶性肿瘤,是累及斜坡与骶尾部常见的硬膜外肿瘤,由胚胎残留或异位脊索形成。脊索瘤发病的年龄多在中年以上,较多以骶尾部疼痛为首发症状。绝大多数椎管内脊索瘤在诊断之前往往经历了相关症状数月至数年。

50%病例在脊柱底部,35%病例在颅底,15%病例位于脊柱的主要节段
单纯以手术治疗很难治愈脊索瘤。因为起源于骨的肿瘤,通常就排除了全切除的可能性,即使在肿瘤根治性切除后,肿瘤复发率仍很高。手术后对于生理功能有一定的影响,术中大出血的风险亦较大,很容易引起失血性休克。平均来看,在第一次手术治疗及放疗后,2~3年便产生第一次复发。
脊索瘤化疗的疗效欠佳,因此放射治疗成为了术后辅助治疗的手段。由于肿瘤非常接近脑干、视神经和颞叶等重要的正常结构,因此,常规光子放射治疗不能达到很高的剂量。放射治疗剂量<60Gy的疗效很差,大部分患者死于局部肿瘤进展。
美国癌症研究所的数据显示,1973~1995年400例脊索瘤患者中位生存期为 6.29年 ,5年和10年的生存率分别为67.6%和39.9% 。
质子治疗的到来,为罹患脊索瘤这个顽疾的患者带来了希望,从早期癌症到无法手术的局部晚期癌症,从手术治疗到后期的放疗,质子治疗都展现出传统治疗所不具备的优势。
据国外临床资料报道,经过质子治疗早期肿瘤患者的五年生存率达到80%以上。对于有重要组织器官包绕的肿瘤,其他治疗方法束手无策,用质子治疗则显示出了巨大的优越性。
质子线对全脑全脊髓照射时,损伤最低!
X线放疗的穿射效应会导致肿瘤治疗靶区后方正常组织的损伤,例如:肺组织、心脏/胃肠道以及造血系统的红骨髓;而质子治疗的布拉格峰优势可以完全保护这些组织器官免受照射,做到以最小的代价对肿瘤进行有效的治疗。

上图为脊索瘤对脊柱照射剂量的分布图比较,上图是传统放疗的照射情况,我们可以看到箭头指示处是大面积的深棕色区域,这表示传统放疗会对身体造成大范围的损害,波及脊柱周边的脏器,而下图质子治疗则没有这样的损害。
通常建议对脑肿瘤进行质子治疗,因为脑肿瘤靠近脆弱且至关重要的正常组织和结构。更重要的是,原发性脑肿瘤通常会在大脑中开始并持续存在,从而使他们更适合接受质子治疗。
理性看待质子重离子治疗
在质子重离子治疗领域,目前全球范围内比较发达的国家是德国、日本、美国等国家。
而我国也不甘落后,目前我国运营的比较知名的质子治疗中心共有4家,分布于淄博、兰州、上海、中国台湾。 无癌家园质子专家会诊中心可为病友们进行权威质子方案评估。
无癌家园-肿瘤癌症治疗,抗癌新药,癌症基因检测,免疫治疗,癌症治疗专家
此外,小编还要提醒患者,在精准医疗时代,癌症的治疗毫无疑问应当更加个性化,不能只局限于一种疗法、一种技术。质子治疗也不能“包治百病”,而是癌症综合治疗的可选择手段之一。充分结合手术、药物治疗、放射治疗等多种手段对患者进行综合治疗,才是患者获得更好预后的保障。