在临床实践和教学中,我一直在给规培医生和同道们灌输一种思维方式,利用统计学思维去分析临床问题,有些人觉得很受用,也有些人觉得似乎有些玄乎,还找不到感觉。而我自己却是确确实实从这种思维方式中受益,并因此注重在临床工作中去实践。下面我将举一个病例与大家分享一下,我也尝试给大家看我们应该如何实际地应用。
这位患者是一位同道的亲戚,但从来没有见到过,原则上没见过病人的确不好轻易诊断。但病人以往的资料很多,且过程由其家属也很清楚,而在这个患者的诊治过程中所暴露出我们临床医生思维模式的问题也很多,大家可以在看下面这段病史介绍的时候自己先思考一下。
患者性别:男
患者年龄:69岁
简要病史:
因发现右侧腋窝淋巴结肿大,2018年9月份到当地A医院行腋窝淋巴结切除术,病理报告示“淋巴组织肉芽肿性炎伴凝固性坏死,抗酸染色阴性“。此后因无不适症状自行回家。
2018年11月6号到13号因为发热干咳在当地B医院住院治疗。血常规(11月6号)白细胞17.4*109/L,血红蛋白121g/l,超敏CRP100.9mg/l,血沉102mm/1h;血生化示:ALP379u/l(正常30-120),γ—GT167u/l(正常10-60),白蛋白27.5g/l(正常40.0-55);
全T淋巴细胞(CD3)65.05%(参考值49.57-79.59),T辅助/诱导细胞(cd4)36.50%(参考值27.65-50.64),T抑制/*伤杀**细胞(cd8)27.77%(参考值12.36—34.54),CD4/CD8 1.31(参考值1.12-2.52),自然*伤杀**力细胞(CD56 )12.95%(参考值13.98-40.02),全B淋巴细胞(CD19)22.87%(参考值6.38—22.46)。
痰抗酸杆菌未找到,利福平耐药基因阴性,血培养5天未见厌氧菌和细菌生长。
肝炎全套、梅毒、HIV均阴性。肿瘤标志物阴性。凝血功能无明显异常。
体格检查:由于未见到患者本人以及出院小结,相关体格检查结果不详。
辅助检查:肺功能检测示轻度混合性肺通气功能障碍,肺弥散功能轻度降低。
心电图示窦性心律,房性早搏伴一过性房性心动过速,二度一型窦房阻滞。
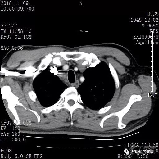
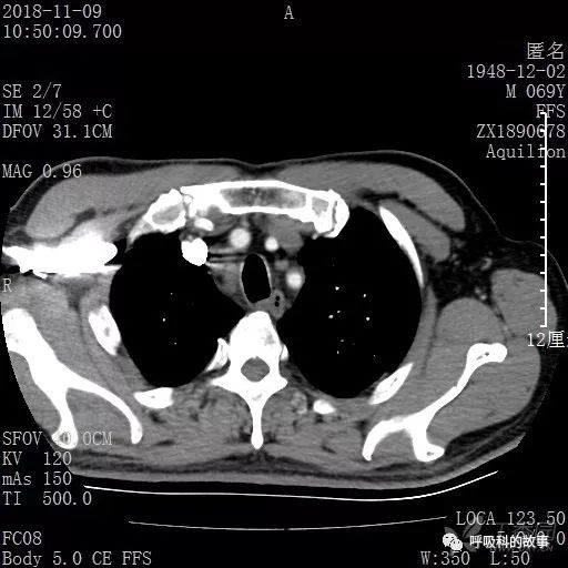
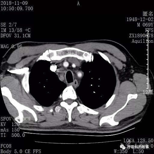
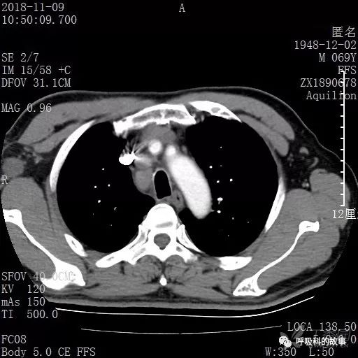
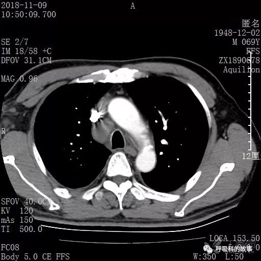
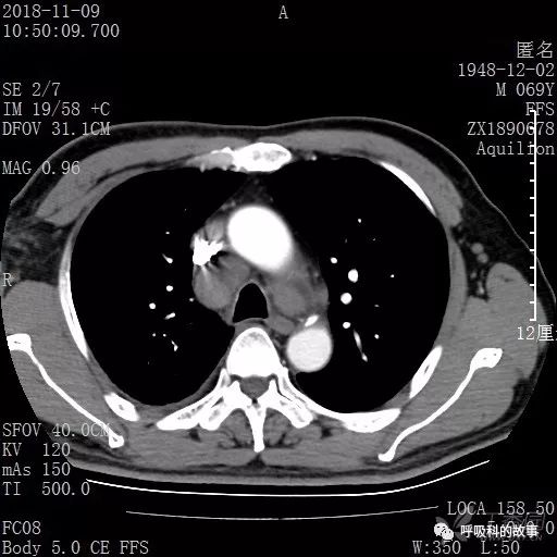
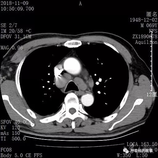
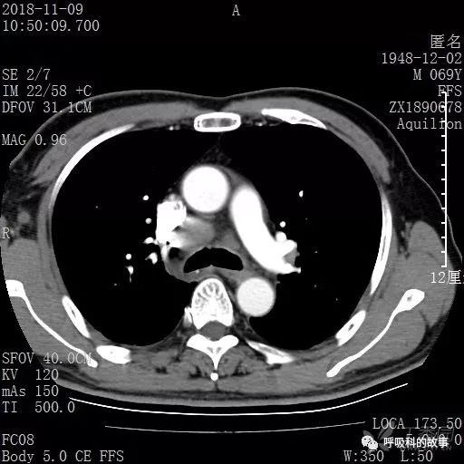
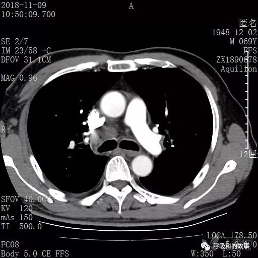
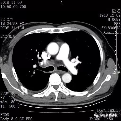
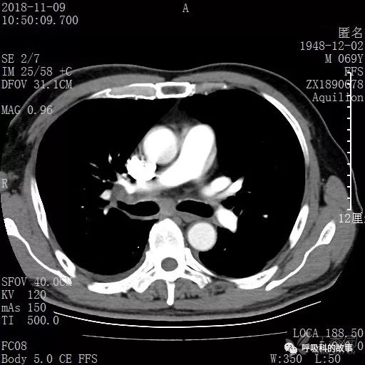
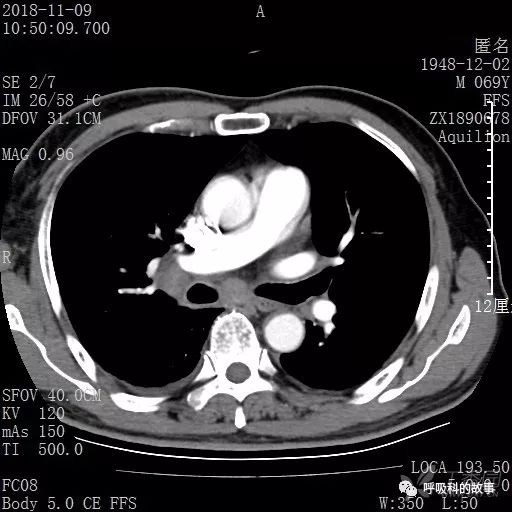
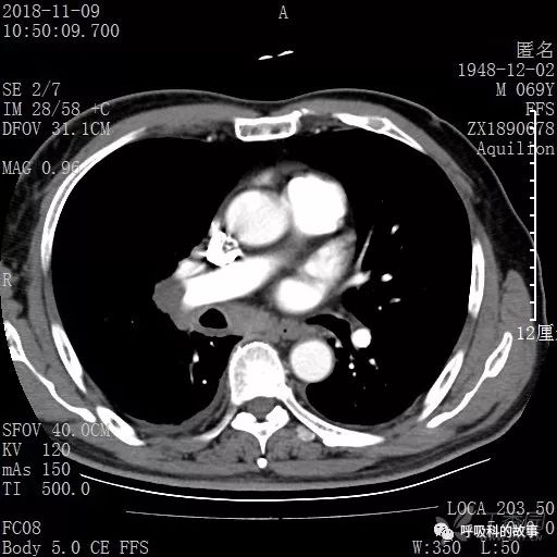
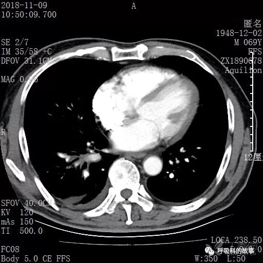
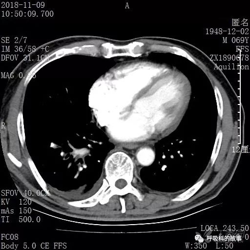
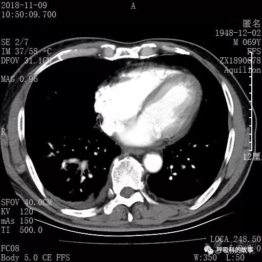
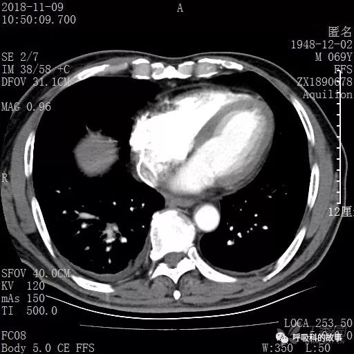
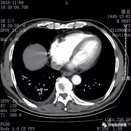
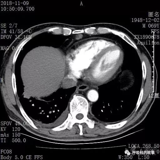
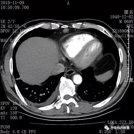
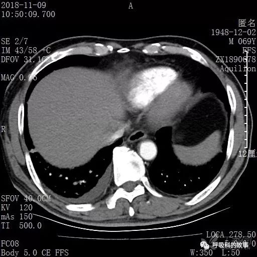
胸部增强CT示右肺门占位伴远端阻塞性肺炎,纵膈、右肺门、右侧颈根部、右侧腋下及肝门部肿大淋巴结。两侧胸腔少量积液。
颈部血管B超示:双侧颈动脉硬化伴斑块,左侧颈动脉局部狭窄,附见:右侧颈部近锁骨上多发淋巴结(部分淋巴结结构欠佳)。
下肢血管b超示双侧股、腘动脉硬化伴斑块。双侧小腿肌间静脉增宽伴血流缓慢。
临床诊断:全身淋巴结肿大
治疗经过:抗生素治疗(具体不详),治疗无效。
纵隔窗的增强CT



































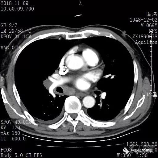
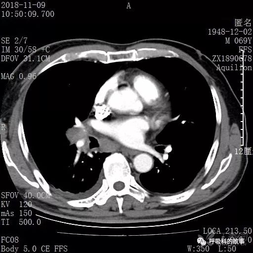
肺窗CT


















































以上是患者第一阶段情况,主要情况是有发热干咳,纵隔肺门和浅表淋巴结肿大,穿刺提示感染性病变,问题在于这个病理“肉芽肿性炎伴凝固性坏死”是不是结核,要不要抗结核治疗。带着这个疑问,患者来到上海某医院继续求医。
患者于2018年11月到上海某医院就诊,入院日期:2018年11月14日,出院日期:2018年11月27日;
人院诊断1.全身多发淋巴结增大, 待查
出院诊断 1.全身多发淋巴结增大: 结核?
入院主诉:发现腋下淋巴结肿大1年, 发热咳嗽20天。
主要化验结果
2018/11/15 生化: r-谷氨酰转移酶209U/L↑, 碱性磷酸酶330U/L↑, 总胆汁酸4.4umo1/L, 总蛋白79g/L, 白蛋白32g/L, 球蛋白47g/L↑, 白球比0.7 , 前白蛋白83mg/L, a-L-岩藻糖苷酶23U/L, 乳酸脱氢酶169U/L,, 血管紧张素转化酶33U/L.
2018//15 血常规: 血红蛋白109.0g/L, 白细胞14.10*109/L, 中性细胞75.2%, 淋巴细胞%15.2%, 单核细胞%7.0%, 嗜酸性粒细胞2.3%, 嗜碱性粒细胞0.3%, 血小板319*10"9/L, 检查未见异常白细胞形态和异常红细胞形态。
2018/11/15 HIV梅毒: 均阴性.2018/11/15 肝炎标志物检验报告: 全阴性。2018/11/15痰结核涂片阴性
2018/11/15红细胞沉降率120mm/h ↑.24H尿钙2.40mmo1/24h。
2018/11/15 风湿+白介素检验报告: dsDNA阴性(-), 抗SmD1阴性(-), U1-snRNP阴性(-), 抗SSA阴性(-), 抗SSB阴性(-), 抗Jo-1阴性(-), 抗Sc1-70阴性(-), 抗Nucleosomes阴性(-), CENP B阴性(-), GBM阴性(-), MPO阴性(-), PR3阴性(-), RPP/PO阴性(-), 抗Histones阴性(-).
2018/11/16结核杆菌r干扰素释放实验 :阴性。结核杆菌DNA阴性。2018/11/19 利福平耐药基因检验报告: Xpert结核分枝杆菌未检出, Xpert利福平耐药基因未检出
2018/11/14 右锁骨上淋巴结肿*彩大**超引导下右锁骨上淋巴结细针穿刺抽吸术;2018/11/15 病理: (右锁骨上淋巴结) 穿刺: 未见恶性细胞。2018/11/15 病理-液基细胞检查报告: (右锁骨上淋巴结) 穿刺: 见少量淋巴细胞。
2018/11/16 气管镜检查报告: 气管镜经鼻进入顺利, 声门闭合可, 气管环清晰, 隆突锐利: 右上叶支气管及右中间支气管见纵行皱襞, 右中叶及右下 叶背段支气管粘膜肿胀, 管腔狭窄, 气管镜无法进入, 右下叶基底段支气管口粘膜肿胀, 管腔狭窄, 气管镜无法进入, 管口见少许白色坏死物突出管腔。 于右下叶基底灌洗, 活检, 刷检找脱落细胞、 结核菌及液基细胞学检查。2018/11/20 病理-常规检查报告: (右下叶基底段管口) 少量粘膜慢性炎伴上皮鳞化, 其内见嗜酸性粒细胞浸润,另见炎性肉芽组织, 试做酶标及特染。免疫组化结果:CK(上皮+) 特殊染色结果:抗酸(-),六氨银(-)。病理-液基细胞检查报告: (淋巴结) 穿刺: 见坏死组织及少量淋巴细胞,。
2018/11/19 US检查报告: 特殊检查 右腋下淋巴结肿*彩大**超引导下右腋下淋巴结细针穿刺抽吸术,右锁骨上淋巴结) 穿刺: 未见恶性细胞。
肺泡灌洗液-TB检查报告: 检测项目:结核分枝杆菌检测方法:PCR法检测结果:RV0577基因检测为阴性IS6110基因检测为阴性16srRNA基因检测为阴性。
病程与治疗结果
11.23开始诊断性抗结核治疗: 异烟肼片0.3g口服QD, 注射用利福平0.45g静脉滴注QD, 盐酸乙胺丁醇0.75g口服QD,吡嗪酰胺0.5G口服TID。同时保肝治疗。11.24号患者出现全身不适,乏力,食纳差,11.25号予停用抗结核药物。11.26号患者不适症状稍缓解。11月27日患者自行出院。
这个阶段的问题是患者经过了一系列检查,仍有发现结核的充分证据,但仍然先按结核进行治疗,由于患者不能耐受而中止了。如果是你,你会继续建议他抗结核治疗吗?
患者于2018年12月初又到了另一家大医院,做了PET检查和气管镜检查,PET图片和报告:右下肺病灶在增大,PET呈现高摄取率,SUV最大达11.









再次做了一个气管镜



第二次气管镜检查后病理与之前相同,家属告知当时的医生给出两个诊断:一是肺结核,二是淋巴瘤。患者家属告诉我这两个诊断让患者本人绝望而想放弃治疗,且已经返家。而患者家属仍不想放弃一线希望,因此由一位医务人员的亲戚介绍到了我这里,想听听我的看法。
首先,我要承认患者可能得了某种怪病,这个病非常少见,我也可能从来没遇到过,但我有底气排除这两个病,并认为有治疗好的可能。并建议患者再做一次气管镜,并做一些其他项目,特别是当时已出现的诊断感染病原学的最新技术--二代测序(NGS)。患者家属回去后向患者转达了我的意见,不过是去了上海的另一家医院的感染科,在那里通过NGS检测终于确诊为马尔尼菲蓝状菌,而通过抗真菌治疗后,病人的病情有了明显的改善。
那么,我为什么有底气认为患者不是结核以及淋巴瘤呢?患者多次就诊排第一位的始终是结核,因为病理肉芽肿性炎伴凝固性坏死这个结果对于学过医的人,第一印象都会是结核,因为在我们学习病理的时候这两个似乎是划上等号的。临床实践中,结核病理也可能找不到抗酸杆菌,因此我们现在还需要一些先进的诊断学技术来帮忙,包括了干扰素释放试验,Xpert以及结核杆菌的基因检测,这些检测极大的提高了我们诊断结核的阳性率。患者在病变范围如此广泛的情况下,多种检测手段却全部是阴性结果让我对结核的诊断非常怀疑。这就相当于当你掷硬币时,连续五次都是正面的机率可能有10%,但连续六次都是正面的机率会下降到2%,连续十次都是正面的机率已经到了0.1%,这样的极小概率事件就不要再死抓着不放了。
至于淋巴瘤或者是恶性肿瘤的推测我觉得就更没有依据了,首先多次病理已经表明本病是感染性疾病,没有一点肿瘤的可能,再加上PET检查也没有发现胸腔以外的病灶,所以转移性癌也不用考虑了。当然这个病要放在以前可能就是无头悬案,因为搞不清楚病原学也无从治疗。然而我从患者的几次诊疗经历中还是发现一些不太完美的地方,或者说有些遗憾的地方,就是我们没有做组织学的培养,因为这个疏忽使我们错失了诊断的可能性。