关于光老化,你第一时间想到的
也许是这张图片

这当然不是骇人听闻
在专业皮肤检测仪的“透视”下,紫外线对皮肤的伤害更是无处遁形

参考文献:Skin Photoaging and the Role of Antioxidants in Its Prevention
当然
紫外线对皮肤的伤害,远不止于此
许多皮肤疾病的发生,都和日光密切相关
如果将日晒的伤害夸大化,皮肤会出现这些病变
1.慢性光化性皮炎
由于长时间、强烈的阳光照射引起,表现为皮肤的肥厚和红斑;

2.多形性日光疹
多出现于平时很少晒太阳的女性,表现为暴晒后出现皮肤的红斑、硬结;

对我们的启示:
日晒会导致皮肤出现晒红、晒伤,皮肤会变的肥厚、粗糙,缺乏光泽和弹性。
如果对“光”过敏,还会出现这些皮肤病
代表的皮肤病有光敏性皮炎、光毒性皮炎、植物日光性皮炎;
主要由于服用、外用一些具有光敏性的药物、植物引起,如使用香水、含有香精的化妆品,或使用补骨脂,食用磺胺、胺碘酮类的药物;
另外,食用一些野菜(如灰菜、甜菜)也会导致皮肤更容易受到紫外线的伤害,出现日光性皮炎的表现。

对我们的启示:
光也能成为一种“毒”,导致皮肤出现发炎、过敏。
日光还会加重色素的沉积,导致我们最讨厌的色斑出现或加深
如雀斑、*褐斑黄**、老年性黑子、脂溢性角化症等,都和日晒有密切的关系;

对我们的启示:
长斑其实也是皮肤衰老的一种表现,而日光会加剧这种皮肤衰老现象的进程。
紫外线和氧化有啥关系?
我们都知道,氧化是皮肤衰老的重要原因。而导致皮肤氧化的两大原因有:一、自然衰老;二、光老化。
其中,自然衰老导致的氧化大家听的很多了,而日晒导致的皮肤氧化大家却了解的甚少。
- 日晒导致内源性氧化物质的生成增加:
日晒会导致机体生成更多的内源性氧化物质(如4-HNE、泛素等),与皮肤中的正常蛋白质结合后,“批量生产”出一大批被氧化的蛋白质;

参考文献:Impairment of proteasome function upon UVA- and UVB-irradiation of human keratinocytes
上图表示紫外线诱导的皮肤氧化过程:在紫外线的照射下,(A)蛋白质的总含量下降,内源性氧化物质(C、D)增多,被氧化的蛋白质(B)也增多。
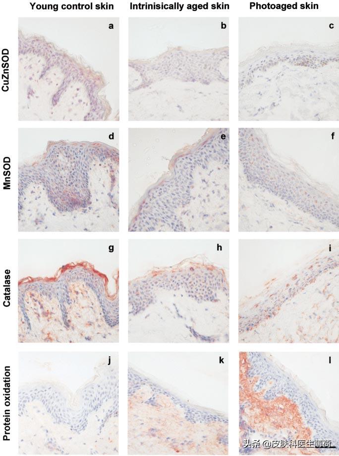
- 光老化的皮肤中,对皮肤有利的抗氧化物质更少(CuZnSOD、MnSOD、CAT),而真皮中会出现大量被氧化的蛋白质(即坏了的蛋白质)

图片来源:Photoaging is Associated with Protein Oxidation in HumanSkin In Vivo
- 最终,细胞膜的脂质过氧化,导致细胞变性坏死

参考文献:Photoaging and chronological aging profile: Understanding oxidation of the skin
被紫外线照射过的皮肤(irradiated),其脂质过氧化物(TRARS)的含量最高,这是紫外线作用于皮肤的最终归宿——细胞、蛋白出现变性、坏死。
总之,日光会诱导对皮肤有害的氧化物质生成,消耗掉对皮肤有益的抗氧化物质,最终出现脂质的过氧化,细胞变性坏死,皮肤衰老的进度条被疯狂拉进。
皮肤中本来就存在着大量的“防光氧化”物质
这也可以理解为皮肤自身的“防晒作用”——无论是皮肤的浅层次(表皮),还是皮肤的深层次(真皮),都存在大量的“抗光”的物质,如维生素E、维生素C、泛醌(辅酶Q)、SOD、过氧化氢酶、谷胱甘肽等。
当皮肤被日光暴晒时,它们就会“英勇就义”,通过牺牲自己,来减少日光导致的皮肤氧化现象。

如何抗“光氧化”?
少晒、不晒,是从根源上减少日光氧化的第一要诀,为此,我们需要做好防晒。(关于防晒,既往的内容几乎是篇篇强调!!)
以下一些外用护肤成分,能帮助减少皮肤的“光氧化”:
- 维生素C:
15%的维生素C精华,能使日晒导致的色素和皱纹都得到减少。

参考文献:Photodamage of the skin: protection and reversal with topical antioxidants
- 维生素E
5%的维生素E,能提高皮肤的保湿,减少皮肤皱纹。

参考文献:Photodamage of the skin: protection and reversal with topical antioxidants
- 硒元素
硒是人类和动物必需的微量元素,能帮助细胞内抗氧化酶谷胱甘肽(GSH)过氧化物酶和硫氧还蛋白还原酶的合成。

参考文献:Photodamage of the skin: protection and reversal with topical antioxidants
- 辅酶Q10、谷胱甘肽、锌元素、白藜芦醇、水飞蓟素等
都被研究证明能减少日晒导致的皮肤氧化。
(老规矩,可自己去相关的平台,选择对应成分的护肤品)
另外,补充以下的营养元素,也能提高皮肤的“抗光氧化”能力:
- 富含番茄红素、胡萝卜素的食物,如番茄、胡萝卜、番石榴、西瓜、葡萄柚、南瓜、甘蓝、空心菜、芒果等;
- 绿茶多酚、咖啡因也具有不错的抗氧化能力,所以,每天饮用3-5杯,能帮助减少紫外线导致的皮肤氧化!

图片来源:Green Tea Polyphenols Prevent Ultraviolet Light-InducedOxidative Damage and Matrix ……
如上图,饮用绿茶后,皮肤受到的光伤害更小(第一张图片为正常的皮肤结构,第二张为接受UVB照射后的皮肤,第三张为饮用绿茶后再接受UVB照射的皮肤)。