齐鲁晚报·齐鲁壹点 记者 张焜
安丘市公安局兴安派出所辅警张玉春,与同事协助外地警方抓捕犯罪嫌疑人过程中,左手手掌骨折,但仍然死死抓住嫌疑人不肯撒手,最终在同事的帮助下成功抓获嫌疑人。1月19日,做完手术刚刚回家休养的张玉春说,既然已经抓住了,就不能让嫌疑人再从自己手中跑了。

1月11日中午,当张玉春和同事协助外地警方抓捕一名涉嫌诈骗的犯罪嫌疑人程某时,刚走到程某身边,程某就突然发力逃跑。张玉春立即追了上去。
“跑了100多米后,我距离他还有大约1米的样子,他钻入了附近的一个树林。”张玉春说,当时他想也没想,也追上去纵身一跃,将程某扑倒在地,而他自己也倒在了地上。
而此时,张玉春首先着地的左手掌,也狠狠地撞击在了地面的一块硬物上。
身高约1.85米,体重超过200斤的程某虽然也倒在了地上,但仍然想借助身体的优势挣脱逃跑。张玉春没有撒手,死死地将程某抓住,直到其他同事快步赶到。众人合力将程某控制住。
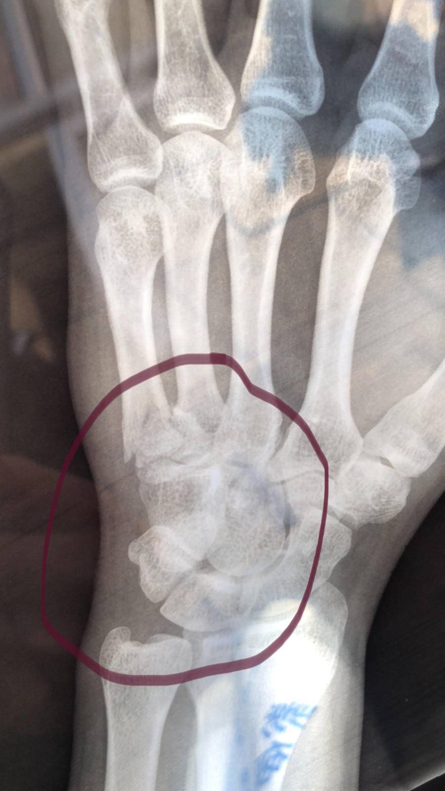
等到将程某带回时,张玉春才感觉到左手疼痛,不久后,左手就肿胀了起来。后来到医院检查,被诊断为左手第5掌骨基底部骨折。

“后来医生仔细看了看,发现我的手掌一处已经出现了粉碎性骨折。”19日,做完手术刚刚回家休养的张玉春谈及自己的伤情时,口气显得很轻松。实际上,在手术中,他的掌骨上被打上了钢钉,光缝针就缝了十几针。

张玉春笑着说,既然已经抓住了,就不能让嫌疑人再从自己手中跑了。 当时抓捕时,就一心要把嫌疑人抓住,真还没感觉到那么疼,没想到后来肿得不成样子。不过嫌疑人已经移交给外地警方了,任务算是圆满完成了。