患者信息及影像资料
请按照影像表现-初步诊断-鉴别诊断这个思路,试着诊断一下~
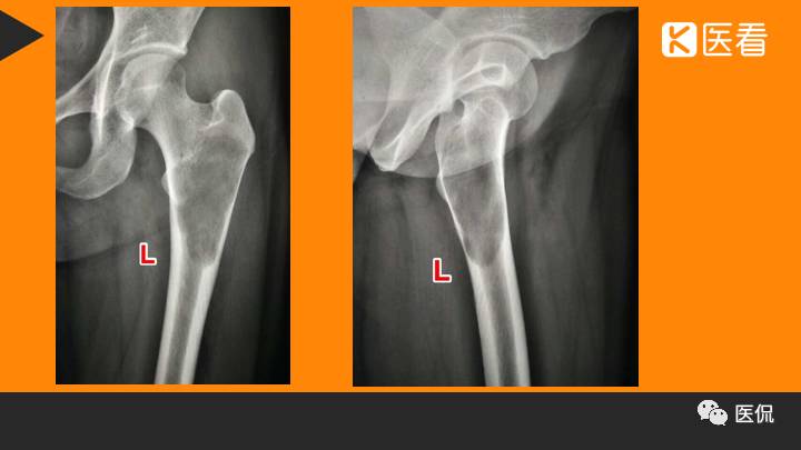
患者资料:男,26岁,左髋部疼痛10余天,无明显诱因出现左侧髋部疼痛,影像行走,夜间疼痛尤其明显。
影像资料:

看看群内老师们怎么说
重要的不仅仅是正确答案,读片思路一样重要哦~

答案解析
动脉瘤样骨囊肿(aneurysmal bone cyst,ABC)是肿瘤性质不明的良性骨病,约占骨原发性病变的2%。ABC有原发性和继发性两种。32%~50%的ABC是继发在骨的其他良性或恶性病变基础上,如巨细胞瘤、纤维结构不、软骨母细胞瘤、骨肉瘤等。本病原因不明,多数学者认为系骨内动-静脉畸形,导致局部的血流动力学改变、静脉压升高和血管床扩张,引起骨质的吸收和反应性修复,Dahlin等认为这可能与创伤有关。今年研究发现ABC内哈有胰岛素生长因子1,这可能与其发生有关。
ABC好发于长骨和椎骨,两者合计占60%~70%。长骨ABC常见于骺端,偶见于骨干或骨皮质;脊椎的ABC常始于椎体的附件。向椎体发展。其他骨骼如短管状骨、足跗骨、盆骨和肋骨等也可累及。
(1)X线 ABC典型的表现为偏心囊状膨胀的溶骨性改变,呈单发或多房的结构,病变与正常骨的分界清楚,边缘光整,有或无硬化、皮质受压、变薄,也可吸收或破裂,突入软组织,形成局限性肿块。位于骨皮质的ABC常呈“吹出”样偏心囊胀,其外常有骨膜新骨形成的薄膜骨嵴,脊柱的ABC也表现为溶骨性膨胀性改变,病变常起始于附件向椎体发展,因此病变常偏于椎体的一侧。病变可跨过椎间关节累及到附近的椎体或肋骨。
(2)CT 能清晰的显示病变的位置,骨内和骨外的累及范围,油漆是解剖结构复杂的骨骼,如脊柱、骨盆和颅骨的ABC。
(3)MRI ABC的特征为鼓囊状的膨胀性破坏,呈单囊或由低信号的间隔分隔成大小不等的多囊。因血细胞和血浆的分离和沉淀,囊内可见液-液平面。在T2WI上,液面上层为高信号,下层为低信号;T1WI上则相反,上层为低信号,下层为偏高信号。液-液平面是ABC较特征的征象。增强检查低信号的纤维间隔呈环形强化。继发性动脉瘤样骨囊肿可在其原发病灶内有液-液平。
【诊断要点】发生于青少年长骨干骺端偏心膨胀的溶骨性病变,MRI检查病灶内见有液-液平征象时应首先考虑为动脉瘤样骨囊肿。
【鉴别诊断】
(1)巨细胞瘤 本病好发于20岁以上成人,儿童很少见,常见于长骨的骨端或骨突部位。病灶内无液-液平。
(2)骨囊肿 骨囊肿膨胀不明显,常为单房呈锥形返纵轴发展,易发生病理性骨折。
PS:想加群的老师欢迎添加小看微信:xiaokankan2016
长按图片,识别二维码
关注医侃(yikantime)
微博:@医看
