痛风患者完全有理由和更多的就诊经验去怀疑:当遗传因素作为痛风重要的致病因素时,对痛风的治疗又如何去信任?或者,痛风作为一种遗传参与的疾病,究竟该不该去进行长期规范的治疗?
其实这样的怀疑是无可厚非的,痛风本就是多基因遗传性疾病。痛风一词是代表遗传性或获得性的一组异质性疾病,表现为单水单钠尿酸盐(MSUM)结晶所致的特征性急性关节炎,其发生是遗传因素和环境因素相互作用及共同作用的结果——同卵双胞胎前瞻性研究的结果显示,原发性痛风60%与遗传因素有关,40%与环境因素有关。遗传因素主要包括与尿酸有关基因和与炎症有关的基因,环境因素主要包括内环境和外环境。

DNA染色体基因图
·痛风的发病机制中至关重要的环节是高尿酸血症患者是否形成局部的尿酸盐沉积,以及这些结晶是否诱发急性炎症和慢性损伤,众多因素影响和决定着这个病理过程。参照痛风的发病机制,推测组成痛风遗传易感性的基因至少包括两类:
- 其一,参与尿酸代谢和排泄的基因,这些基因共同作用的结果将导致肝尿酸的合成增加和(或)肾尿酸的排泄减少,引起高尿酸血症,而高尿酸血症是痛风发病的重要生化基础;
- 其二,参与炎症或调节炎症的基因,这些基因的共同作用让巨噬细胞、中性粒细胞等参与天然免疫反应的细胞系统对尿酸盐晶体的反应性增强,最终导致急性痛风性关节炎的发生。
今天,我们就来讲讲痛风及高尿酸血症与遗传的关系。

遗传的机制
嘌呤代谢异常与尿酸合成遗传易感基因
虽然高尿酸血症患者中只有不到20%的患者最终发展为痛风。但高尿酸血症作为痛风重要的危险因素不容忽视。高尿酸血症有28个与之密切相关的易感基因,这些易感基因主要分为参与或影响尿酸合成有关的基因及参与或影响尿酸排泄有关的基因两大类。
在嘌呤从头合成,补救合成及由嘌呤核苷酸代谢形成尿酸的过程中,涉及多种酶的参与,其中某些酶基因突变致酶活性改变而最终使尿酸升高,包括磷酸焦磷酸酰胺转移酶活性增加、次黄嘌呤鸟嘌呤酸核糖转移酶(HGPRT)活性降低或缺乏;5-磷酸核糖-1-焦磷酸(PRPP)合成酶(PRS)变异、黄嘌呤氧化酶(XO)活动增高;葡萄糖-6-磷酸酶缺乏等。目前在风湿免疫界对于嘌呤代谢中关键酶HGPRT、从头合成途径中的PRPP合成酶PRS的研究最多。

尿酸生成途径
- 次黄嘌呤鸟嘌呤酸核糖转移酶(HGPRT):HGPRT的基因位于X染色体长臂Xg26~27,基因全长约45kb。HGPRT广泛存在于人体各组织的胞质中,以脑组织中含量最多。HGPRT的功能是将次黄嘌呤转变为次黄苷酸(IMP,肌苷酸),将鸟嘌呤转为鸟苷酸(GMP),鸟苷酸及腺苷酸可以反馈抑制磷酸核糖焦磷酸(PRRR)合成1-氨基-5-磷酸核糖,从而控制IMP的自发合成速度,这一过程中HGPRT的催化起到反馈作用。目前发现HGPRT突变有四大类,其中较大结构的改变包括DN*片A**段的缺失、插入和重排。当HGPRT缺乏时,这一反馈抑制作用减弱或消失,就导致嘌呤合成速度增快,尿酸浓度增高,出现高尿酸血症。

IMP的合成过程
- 嘌呤磷酸核糖转移酶(APRT):腺嘌呤磷酸核糖基转移酶(APRT)是嘌呤代谢的关键酶之一,其活性异常直接影响尿酸的生成。APRT基因位于人的第16号染色体,由5个外显子组成,长约2kb。APRT缺陷可分为完全缺陷和部分缺陷两类,前者见于纯合子,后者见于杂合子,杂合子酶活性仅为正常的25%。APRT活性的切实,让DHA产生过剩,导致结石,并引起肾功能不全。

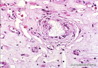
肾小管内羽毛状、针样结晶痛风石,周围可见炎症和巨细胞反应(HE染色)
- 5-磷酸核糖-1-焦磷酸(PRPP):PRPP合成酶催化5-磷酸核糖与ATP反应生成PRPP,此酶是变构酶,其活性受ADP、GDP浓度的调节,而突变的PRPP合成酶不受ADP或GDP的反馈抑制,因此细胞内PRPP浓度升高,而PRPP是嘌呤核苷酸合成时的磷酸核糖供体,浓度高则引起酰胺转移酶活性增加;此外PRPP是嘌呤核苷酸从头合成途径的关键酶,浓度高造成嘌呤核苷酸浓度增加,进而导致嘌呤核苷酸分解产物尿酸的增加。PRPP基因编码分为PRPP1、PRPP2、PRPP3,PRPP1和PRPP2基因分别位于X染色体Xg22.1和Xp22.2~Xp22.3,在所有组织中均有表达。PRPP的突变通过X染色体显性遗传,其基因改变让PRPS蛋白对嘌呤核苷的抑制性反馈减弱或丧失,PRPP大量产生,尿酸增加。

嘌呤核苷酸抗代谢物的作用部位
- 谷胱甘肽还原酶:谷胱甘肽转移酶(GSTs)是一组具有解毒功能的蛋白超基因家族,分为胞质型、胞膜型、线粒体型和LTC4合成酶,其基因在染色体上的位置各不相同。GSTs是体内重要的解毒酶系,催化还原性谷胱甘肽与由一相代谢酶(CYP450)代谢活化而来的广泛的活性亲电子化合物共轭结合成亲电子物质,增加水溶性并将其排除,从而发挥解毒作用。谷胱甘肽还原酶基因突变,导致该酶持续处于高活性状态,需要磷酸戊糖途径提供更多的NADOH,以供还原酶利用,由此导致5-磷酸核糖的生成增加,同时生成了过量的5-磷酸核糖焦磷酸,PRPP进一步促进嘌呤核苷酸的合成,从而导致尿酸增多。
- 合成酶(PRS)基因:人的PRS是由相对分子量为34kD的催化亚单位(PRS1、PRS2)和2个结合亚单位(PAPs)组成的四聚体,PRS转录失调的遗传机制目前尚不清楚,但PRS活性增加,引起PRPP合成过多,嘌呤合成增加,尿酸产生过多,是X染色体显性遗传病。

遗传基因检测目前也是医学研究重点
细胞过度凋亡与尿酸合成遗传易感基因
G6PC、SLC37A4、AGL、PYGM、PFKM、CPT2、ALDOB等一系列与戊糖代谢有关的基因被证明与高尿酸血症和痛风发病有关。与戊糖代谢有关的酶异常可能引起6-磷酸葡萄糖的累积,促进戊糖旁路代谢,从而促进嘌呤代谢并使其终末代谢产物尿酸增加。
- G6PC基因:定位于染色体17q21.31,基因产物为葡萄糖-6-磷酸酶,这一产物的缺陷导致糖原在肝、肾、肠道等组织中大量沉积引起一系列的症状。影响患者最终预后的问题并非糖代谢紊乱,而是由此引起的高尿酸血症和其所导致的并发症。
- SLC37A4基因:定位与染色体11q23,基因全长5.3kb,有9个外显子,基因产物为葡萄糖-6-磷酸转移酶,在肝、肾、大肠、小肠、血液和骨骼肌中具有表达。当SLC37A4基因突变导致葡萄糖-6-磷酸转移酶缺乏时,葡萄糖-6-磷酸不能被转运过微粒体膜而进一步水解产生葡萄糖,造成高尿酸血症。
- AGL基因:定位与染色体1p21区,基因全长85kb,有35个外显子,基因产物为糖原脱支酶,主要在肝及肌肉中表达。AGL基因先天性缺陷使糖原支链不能完全分解,导致带短支链的异常糖原堆积在肝、肌肉和心肌中,此基因异常与高尿酸血症的发生有关。

细胞凋亡过程
肾小管尿酸分泌和重吸收与尿酸排泄遗传易感基因
尿酸从肾的排泄经历了肾小球100%滤过、肾近端小管S1段98%重吸收、肾近端小管S2段50%分泌和肾近端小管S3段50%重吸收4个过程,最终从肾小球滤过的尿酸只有10%~12%排出体外。目前确定的位于肾小管上的高尿酸血症易感基因分为与肾小管尿酸分泌相关的易感基因、肾小管尿酸重吸收相关的易感基因和其他功能不清的基因。

尿酸经肾排泄示意图
- ABCGA2基因:位于染色体4q22区域,含16个外显子和15个内含子,是通过GWAS确认的痛风易感基因,表达于近端肾小管上皮细胞管腔膜以及肝、脑、肠等组织的质膜,在近端肾小管表达的ABCGA2基因主要负责肾小管尿酸的分泌。
- SLC17A1基因:也被称作钠离子依赖性磷酸盐转运蛋白体1,主要表达于肾小管细胞顶端膜、介导钠盐及无机磷酸盐的共同转运,已证实SLC17A1基因是一种氯离子依赖性尿酸盐转运没,其第7外显子与血尿酸水平密切相关。
- UMOD基因:位于染色体16p~p13间隔区域内,由11个外显子组成,基因编码的蛋白为尿调节素,在肾表达。在家族性高尿酸血症性肾病中发现5个UMOD基因存在突变,均涉及在进化上高度保守的氨基酸碱基。
- SLC22A6和SLC22A22基因:SLC22A6是有机阴离子转运体家族(OAT1)的基因编码,位于染色体11q1S.1,由10个外显子和9个内含子组成;而SLC22A8是OAT3的编码基因,其基因位于11q11.7,包含12个跨膜结构领域。其主要负责尿酸分泌过程中的蛋白,如被顺向抑制或反向刺激,肾小管分泌尿酸盐的能力明显减弱。

SLC22A6基因抗体检测数据
- ABCC4基因:ABCC4基因编码多药耐药蛋白4(MRP4),来源于ABC家族,基因位于染色体13q32,约350kb,由31个外显子组成。MRP4消耗ATP获得功能将肾小管上皮细胞内的尿酸分泌入小管腔,因此也是一种ATP依赖的尿酸转运蛋白。
- SLC22A12基因:该基因位于染色体11q13,编码尿酸盐阴离子交换体(hURAT1),表达于肾小管上皮细胞,在近端肾小管负责尿酸重吸收。其基因变异与血尿酸浓度升高和尿尿酸排泄减少密切相关,是目前临床常用降尿酸药物的作用靶点。
- SLC22A9基因:该基因位于染色体4p15.3~16区域,含14个外显子,主要在肾及肝表达,除参与葡萄萄及果糖在肾和肝的转运外,也参与尿酸的转运,是高效的尿酸转运提,参与体内尿酸盐的重吸收。
- SLC22A11:位于染色体11q13,表达于肾近端小管细胞顶膜,编码的OAT4蛋白为有机阴离子和二羟酸交换体,可能是一种非对称甾体作为尿酸盐进入肾近端小管上皮细胞。

肾脏的运行
针对易感基因和尿酸生成机制的治疗
自然免疫形态的被激活是高尿酸血症导致痛风的主要机制,当尿酸超过了其在血中的饱和度大于>420μmol/L,将形成尿酸盐结晶,并在组织器官中广泛沉积。
而痛风性关节炎的造成,主要是单核细胞将趋化到晶体所在的部位,成长为巨噬细胞,吞噬尿酸盐晶体,释放促炎性因子,同时沉积在晶体表面的补体蛋白被活化,促炎性因子和活化的补体共同启动和增强中性粒细胞的募集。大量的中性粒细胞趋化黏附到所在部位,吞噬尿酸盐晶体,释放大量的炎性因子,引起痛风发作。
而针对痛风的治疗,其实也考虑了相关与炎症、尿酸盐生成和排泄相关易感基因与遗传因素。其中最为主要的还是相关的药物研究与临床应用。
- 别嘌醇降尿酸机制:别嘌醇为非特异性黄嘌呤氧化酶抑制药,别嘌醇及其活性代谢产物羟嘌呤醇分别与次黄嘌呤、黄嘌呤竞争与黄嘌呤氧化酶结合,从而抑制次黄嘌呤和黄嘌呤代谢为尼氨酸,减少尿酸的生成,降低血尿酸。别嘌醇可以通过抑制嘌呤核苷磷酸化酶(PNP)抑制鸟嘌呤的形成,通过抑制乳清酸核苷酸脱羧酶(OMPDC),干扰嘧啶代谢合成DNA。

别嘌醇分子结构
- 非布司他降尿酸机制:非布司他为特异性黄嘌呤氧化酶抑制药,是一种噻唑羧酸衍生物,其能通过非竞争机制与黄嘌呤氧化酶结合,抑制黄嘌呤氧化酶活性,抑制尿酸的生成。非布司他不但抑制还原型,而且抑制氧化型黄嘌呤氧化酶,此外该药不干扰嘌呤和嘧啶的合成。

非布司他分子结构
- 奥昔嘌醇降尿酸机制:奥昔嘌醇是别嘌醇的活性代谢产物,其分子结构与别嘌醇相似,为黄嘌呤氧化酶抑制药物,通过抑制黄嘌呤氧化酶活性而减少尿酸生成,降低尿酸。
- 托匹司他降尿酸机制:分子结构不同于别嘌醇和非布司他,为特异性黄嘌呤氧化酶抑制药,通过与氧化型和还原型黄嘌呤氧化酶结合,抑制黄嘌呤氧化酶活性,减少尿酸的生成,其抑制作用也有选择性,对嘌呤、嘧啶代谢的其他酶没有抑制作用。

嘧啶核苷酸的从头合成途径
- 苯溴马隆降尿酸机制:尿酸从肾脏排泄过程中,经历了2次重吸收和1次分泌,其中肾近端小管刷状缘侧的尿酸盐阴离子交换器 (URAT1)负责尿酸盐的重吸收,基底膜侧的OAT1和OAT3摄取尿酸盐,使尿酸进入肾小管细胞内,再通过刷状缘侧MRP4,分泌尿酸盐进入管腔,达到分泌作用,苯溴马隆通过抑制URAT1,减少尿酸的重吸收。
- 丙磺舒降尿酸机制:与苯溴马隆相似,通过抑制尿酸盐在近曲肾小管的主动重吸收,增加肾尿酸盐的代谢,降低血尿酸水平。

IMP转变为AMP和GMP
即使是遗传病,痛风及高尿酸血症所表现出来的遗传特点并无规律。我们对其易感基因的研究,是为了从根本上改变痛风诊疗难度,真正达到痛风能够根治的局面。
同时,遗传疾病的现实的情况并不完全由遗传因素决定,除了少数的遗传疾病外,更多的跟遗传相关疾病是先天(遗传)和后天(环境)共同作用的结果。只是对于不同的疾病两者影响不同。
而激活这些遗传基因,包括肥胖、胰岛素抵抗、高血压、脂代谢紊乱、高血糖、动脉粥样硬化及药物和食物等内环境因素,以及海拔、温度、湿度、大气污染、土壤污染、水污染及特殊职业和人际关系、家庭关系等外环境因素。在这些环境因素的影响下,高尿酸血症及痛风相关易感基因被激活,从而诱发尿酸增高和急性痛风性关节炎发病等。
因此在规范治疗的同时,也要注意环境因素的影响,生活方式的改变与规范治疗*管双**齐下,才能将痛风“压制”下去。

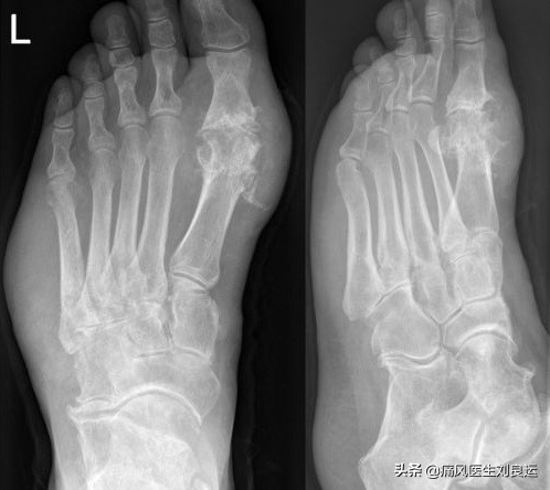
X光下左脚痛风
遗传疾病的现实的情况并不完全由遗传因素决定,除了少数的遗传疾病外,更多的跟遗传相关疾病是先天(遗传)和后天(环境)共同作用的结果。只是对于不同的疾病两者影响不同。
而激活这些遗传基因,包括肥胖、胰岛素抵抗、高血压、脂代谢紊乱、高血糖、动脉粥样硬化及药物和食物等内环境因素,以及海拔、温度、湿度、大气污染、土壤污染、水污染及特殊职业和人际关系、家庭关系等外环境因素。在这些环境因素的影响下,高尿酸血症及痛风相关易感基因被激活,从而诱发尿酸增高和急性痛风性关节炎发病等。
#真相来了# #闪光时刻 主题征文 二期# @*今条头日**青云计划 @头条健康