自己作为一名脑科医生,接诊了大量的脑卒中的患者,尤其是缺血性脑梗死的患者,甚至很多患者合并严重的肺部感染消化性溃疡等全身性疾病。
自己在脑科急诊、神经危重症、神经内科、神经外科都干过,现在主要从事缺血性脑卒中的救治,包括血管内介入治疗。自认为自己是一个比较合格的脑科医生,甚至对自己的技术和医学储备有充分的自信。
从来不曾想过自己的亲人会发生脑梗死,这正好是自己的诊疗方向,让自己来给亲自治病。
他是凌晨3:00发病的,在老家的医院就诊,当时只是突然的心慌、血压低考虑心脏的问题,没收入当地的心脏科,可由于血压低,持续地给予静脉升压药物。
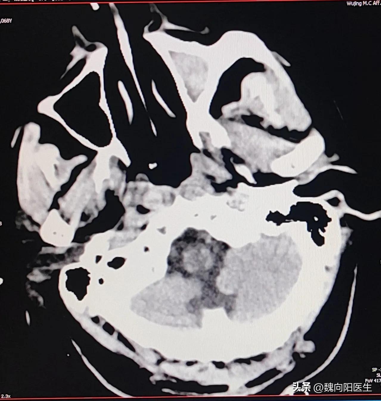
直到早晨的时候才发现患者言语不利,请神经内科会诊之后,考虑是存在脑梗死后立即复查头核磁,发现脑干可疑异常信号,考虑急性脑梗死。
针对急性脑梗死最佳的救治办法就是立即静脉溶栓,自己立即打电话跟当地的医生沟通,能不能静脉溶栓,医生也同意安排静脉溶栓,但是在查血常规的时候发现血小板减低。
根据国内外的静脉溶栓临床治疗指南指出:血小板减低是静脉溶栓的禁忌症。
因此,当地医生并没有给予积极的静脉溶栓治疗。当时自己身边存在三个同科室的医生,其中两人保守不建议溶,一人积极建议溶栓治疗,最终少数服从多数,采取了保守治疗。,
之后父亲的症状逐渐加重,肢体无力症状逐渐加重,并没有好转的趋势。由于自己怀疑当地医院的治疗水平,动用我各种的资源及同学,联系当地的一些好的医院,但是都并不能立即的收入住院。(疫情管控原因)
无奈,只能联系120急救,经过6小时长途转运到我们医院。

到达我们医院时已经是次日的凌晨3点,距离发病整整24小时。此时再看到救护车上的父亲时,我泪眼婆娑,忍不住就掉下眼泪,前日还谈笑风生的老父亲,奄奄一息躺在救护车的担架上。
此时的父亲已经近似于昏迷状态,不能说话,四肢也不能活动,只能听到从喉结传来呼呼的痰鸣音,由于到这儿时体温38°,不能直接上楼,只能去发热门诊做流调和核酸筛查。
看着发热门诊医生不慌不忙的样子,父亲的呼吸变得越来越急促,喉结的痰鸣音越来越明显,我立即火冒三丈,自己只能亲自上去给吸痰。
在我的催促之下,终于做完流调、采完核酸可以拉到病房,此时我悬着心才终于下来了。
到中午之后复查头胸CT,确认是脑干梗死,同时合并吸入性肺炎。用上了广谱抗生素,下胃管,持续的抑酸治疗。

此时根据头CT的检查,考虑父亲存在闭锁的可能,一个清醒的人,脖子以下全不能动,甚至不能说话,只能用眼神来交流,那对他来说是多么的残忍,感觉老天太不公平了。
闭锁综合征:表现为不能讲话,有眼球水平运动障碍,双侧面瘫、咽及构音、吞咽运动均有障碍,不能转颈耸肩,四肢全瘫,可有双侧病理反射。因此虽然意识清楚,但因身体不能动,不能言语,常被误认为昏迷。

此时还并没有认识到问题的严重性,患者的呼吸逐渐变得急促,考虑肺炎有加重的趋势,为了促进患者的排痰和防止返流误吸。
同时在反复的劝说,要尽早做气管切开,由于自己的心存侥幸,不想让父亲把气管割开去,受那些痛苦,觉得还能保一保。
最终,在住院后的第3天亲自做了气管切开术,这样能让父亲呼吸得平静一些,也就是在这天晚上他睡了一个最安稳的觉,自己也可以踏踏实实的睡一会儿。

但是父亲的胃反流还在持续的存在,不得已,在发病第六天下了小肠管,并持续给予胃肠减压吸引胃液,通过小肠管来给肠内营养液。
在发病第7天的时候,老父亲的生命体征都很平稳,表情也很平静,自己感觉有点希望的时候,在一次翻身拍背之后突然发生呼吸急促,喘息明显,呼吸次数最快达到了每分钟45次。
在给予了大量的平喘,利尿抗炎等药物之后,仍然不能改善,只能给予大量的镇静药,抑制他的呼吸,吹上呼吸机,让机器来帮助他喘气。
吹上呼吸机之后复查父亲的血气分析,乳酸持续升高,此时自己心里发慌了。
血乳酸持续升高是预后不佳的典型表现。

自己这次真的慌了!莫非我的父亲真的要交代在自己的手上。
经过我们科室医生商量讨论之后,还是决定把老父亲送到ICU里面,让ICU的医生来给予治疗,这样可能并不会带有感情色彩,有可能会得到更好的效果。
这个道理其实我很早之前就懂,我曾经在一本书上读到过在人情绪激动或感情波动的情况下,千万不要轻易做出任何的决定,因为你此时做的决定很可能是错的。
正所谓:当局者迷,旁观者清。
医者不自医,同一种疾病,同一种治疗方式,医生在给别人看病时,可能就是很正常的,但是如果带有感情色彩,给自己甚至亲人看病时,有可能会出现些许的纰漏。感情因素来影响医生的判断和决策!
@魏向阳医生
急性缺血性脑梗死的患者,对于严重致残性脑梗死,甚至预感进行加重的脑梗死,能溶栓时尽早溶,千万不要错过这唯一的机会,这如同一根导火索,一旦点燃那就后果不堪想象!
#脑卒中##世界脑卒中日##肺炎#
