许多患者在生活和工作中常因突发的“小意外”而引发骨折。
下面通过真实生活中的实例,来给大家讲讲一眼就能发现的常见骨折。
一
足部
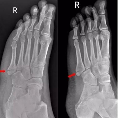
1、患者下楼梯,左脚踩空,左脚外侧扭伤来院就诊,拍片如下:

右足第5跖骨基底部见骨折线,断处稍分离移位,右足第5跖骨基底部骨折
2、患者从二楼房顶坠落,后脚跟着地,拍片如下,

左侧跟骨见骨折透亮线,后缘骨皮质连续中断,左侧跟骨骨折
3、患者脚掌被车轮碾压,拍片如下:

右足斜位示 右侧跟骨前部见骨折透亮线,右跟骨前部骨折。
二
手部
1、患者拇指被车门挤压,拍片如下:

右手拇指远节指骨甲粗隆游离骨碎片影
2、患者拇指被锤子砸伤,拍片如下:

右手拇指末节指骨见数条骨折线,骨折端对位对线尚可,右手拇指末节指骨粉碎性骨折。
3、患者拇指被车床挤压,拍片如下:

右手拇指近节远端见斜行骨折透亮线,断端稍分离移位,右手拇指近节远端骨折。
4、患者中指提重物受伤,拍片如下:

右手中指远节近端背侧关节处见游离骨片影,右手中指远节骨折。
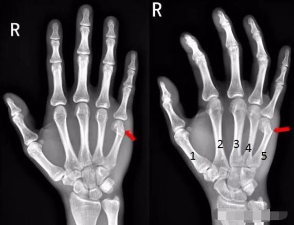
5、患者酒后右手砸墙,拍片如下:

右手第五掌骨远端骨皮质不连续,骨折端移位、成角。右手第五掌骨骨折(1-5. 第1-5掌骨)
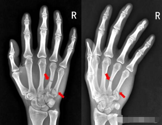
6、患者右手被车门挤压,拍片如下:

右手第四掌骨中段、第五掌骨基底部见横行骨折透亮线,骨折端对位对线尚可,第四、第五掌骨骨折。
三
腕部
患者摔倒,右手掌着地,拍片如下:

右侧桡骨远端可见不规则透亮骨折线,并累及关节面,右侧桡骨远端骨折。尺骨茎突见游离骨碎片影,左侧尺骨茎突骨折。
四
肘关节
1、患儿摔倒,左肘关节着地,拍片如下:

左侧尺骨上段见骨折透亮线,断端稍移位成角,左侧尺骨上段青枝骨折
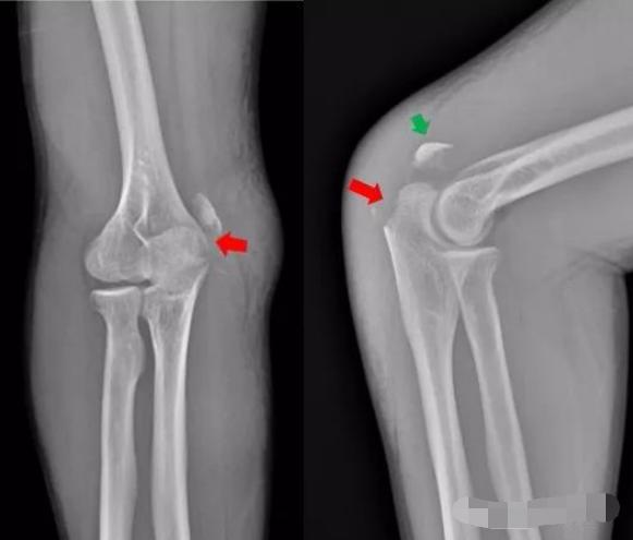
2、患者摔倒,右肘关节着地,拍片如下:

右肘关节内侧见游离骨碎片影,侧位示骨碎片位于右肘关节背侧,右尺骨近端背侧骨质部分缺如,右尺骨近端背侧撕脱性骨折。
五
前臂
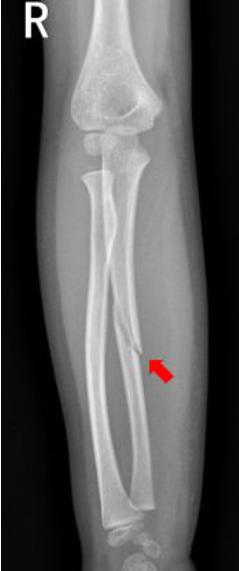
患儿摔倒,右前臂着地,拍片如下:

右侧尺骨中段可见斜形骨折线,骨折端稍分离移位,右侧尺骨中段骨折。
六
肩关节
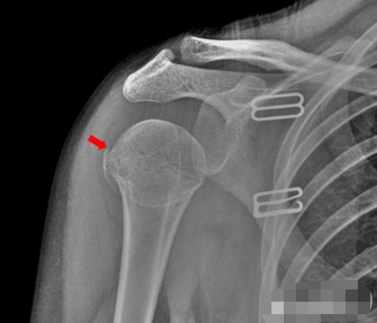
1、患者摔倒,右肩关节着地,拍片如下:

右侧肱骨大结节骨皮质欠光整,见弧形透亮线。右侧肱骨大结节骨折。
2、患者摔倒,左肩关节着地,拍片如下:

左侧锁骨肩峰端见不规则透亮线,骨折处稍移位,左侧锁骨骨折。
七
脊柱
患者洗澡摔倒,腰部着地,拍片如下:

腰椎侧位示:第1腰椎呈前低后高楔形改变,腰椎第1椎体陈旧性压缩性骨折。
八
髋关节
一患者雪地滑到,左臀部着地,拍片如下:

左侧股骨大粗隆处见不规则透亮线影,骨折处无明显分离、移位。左侧股骨大粗隆骨折
九
踝关节
患者右踝关节被电动车砸伤,拍片如下:

所示右侧腓骨远端见斜行骨折线,骨折端对位对线尚可,右腓骨远端骨折。
通过以上的几个病历向大家介绍了几种常见的骨折,希望大家看到这样的片子,千万不能大意,要配合大夫进行专业治疗,以免有后期的症状遗留。