病例分享
病史:56岁男性患者何某,因“体检发现肝占位5天”入院。
现病史:患者5天前自觉右上腹包块,无压痛等不适。当地医院查CT:肝占位;AFP>1000ng/mL。为进一步治疗,于2018.8.23入院。
既往史:体健,未行常规体检。
诊断:原发性肝癌 BCLC分期:IIa期;
Child-Pugh分级:*级A**
术前实验室检查(2018.8.24)
HBV-DNA:超过正常值;
乙肝两对半:HBcAb(+),余阴;
AFP:46802.00ng/ml, CEA:6.19ng/ml;
ALT:24U/L,AST:25U/L,γ-GT:21U/L, ALP:67U/L。
病理:(肝穿刺活检)考虑为肝细胞癌。
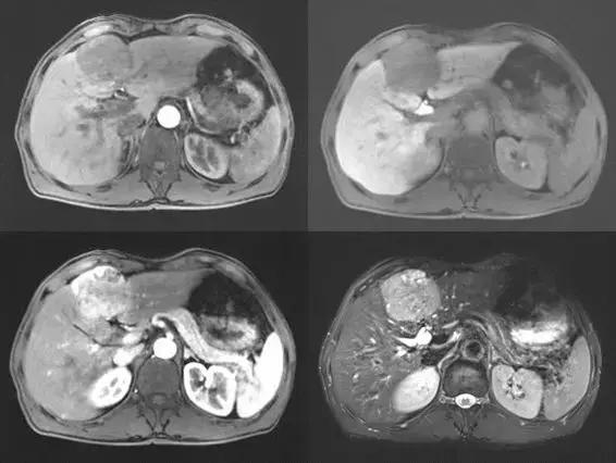
术前影像学检查(2018.8.25)

*肿块约为58mm*50mm*50mm。
MDT讨论:肝左叶单发病灶
治疗选择:首选外科切除,患者拒绝;
介入治疗,TACE 患者接受,可以行DEB-TACE,因病灶体积较大,不除外有潜在卫星灶的可能,可行少量碘油行作标记处理。DEB-TACE手术方案
肝左动脉:雷替曲塞2mg化疗灌注
载药微球:Callisphere(100-300μm)*1瓶
加载药物:吡柔比星 60mg
肝右动脉:超液态碘化油2ml
术中DSA(2018.8.28)

可见肝左动脉分支明显增粗,肿瘤染色,载药微球栓塞过程中可见明显血管湖现象(VLP),肝右动脉起源于肠系膜上动脉,未见有明显肿瘤供血,按预定方案实施栓塞。
术后2+月实验室检查(2018.11.6)
AFP:511.60ng/ml, CEA:2.89ng/ml;
ALT:11U/L,AST:17U/L,γ-GT:22U/L, ALP:64U/L。
术后2+月影像学检查(2018.11.6)

*肿块缩小至35mm*31mm*29mm大小。
术后2+月影像学复查,病灶明显缩小,并证实原先大的单发病灶实际是由2个病灶融合而成,肝右叶未见碘油沉积,证明肝右叶无肿瘤发生,因AFP存在高值,考虑与原发灶相关,经讨论及为验证载药微球的栓塞效果,说服患者接受外科彻底完整切除。
外科手术(2018.11.6)

术后病理:
第一次报告(2018.11.16):
1.(肝脏)肝组织内肿物区域镜下均为大片坏死,局部见一结节区域,细胞有异型,有癌可能,正在免疫组化;切缘呈肝硬化改变。另见结节为肝硬化结节。
2.较大肝组织块呈结节性肝硬化改变。
第二次报告(2018.11.17):
(肝脏)肝细胞性肝癌伴大片坏死。
外科术后2月影像学检查(2019.1.25)
AFP:2.54ng/ml, CEA:2.72ng/ml;
ALT:21U/L,AST:24U/L,γ-GT:44U/L, ALP:76U/L。
外科术后2月影像学检查(2019.1.4)

外科术后2月复查,切除术后肿瘤区域无明显强化,肝右叶未见转移性病灶,AFP降至正常范围。
外科术后7月影像学检查(2019.6.10)

外科术后7月影像学复查,切除术后肿瘤区域无明显强化,肝右叶未见转移性病灶,AFP:1.66ng/ml,仍为正常范围。
小结
该患者为HCC、BCLC-IIa期、Child *级A**,经1次D-TACE治疗后,病变控制良好,按mRECIST标准疗效评价为CR。
可以选择D-TACE3个月后再行复查,考虑到AFP未达到正常水平及肿瘤的特点,借鉴以往经验,动员患者行外科切除。
外科手术从病理学角度验证了栓塞效果,经病理证实肿瘤大片坏死,其中的结节区域仅仅发现是细胞异型,考虑为肿瘤新生,从侧面说明了D-TACE对既有肿瘤细胞的有效性治疗。
温馨提示:有关肿瘤问题可以私信我。