
小儿补液,是每一个儿科医生的基本功,在遇到不同情况的电解质紊乱患儿,我们仍需要仔细分析和计算,并给出合理的补液计划,本文通过一例严重的低钠血症病例,跟大家一起学习儿科低钠血症的治疗。
作者:@白衣奶爸
来源:医学界儿科频道
2016年年初,曾经在病区遇到一个因为反复腹泻2天,导致高渗性脱水(高钠血症)的患儿(抢救实录!重度高渗性脱水患儿),在2016年年末,遇到另外一种极端,在病区接诊到一个因为反复呕吐10天,导致低钠血症的患儿。
小儿补液,是每一个儿科医生的基本功,在遇到不同情况的电解质紊乱患儿,我们仍需要仔细分析和计算,并给出合理的补液计划。以下,以近期遇到的这一例严重低钠血症病例为例,跟大家一起复习学习儿科低钠血症的治疗。
病例:
患儿L仔,男,16天,因“反复呕吐10天,抽搐1次”于2016-11-02 11:51由H县人民医院低流量吸氧下转入。
患儿系G2P2,胎龄41+4周,因其母“腹痛10小时”于2016年10月17日22:52在H县人民医院经阴道分娩出生,脐带绕颈1周,羊水、Apgar评分不详,否认出生窒息抢救史(未见纸质病历),出生体重2.8 kg,胎盘胎膜娩出完整。生后母婴同室,第二天随母出院,按需喂养母乳及配方奶,吸吮力可,现患儿自吮配方奶60 ml/次,每2-3小时喂养一次,生后第2天患儿皮肤稍黄染,予观察,现黄染无明显加重。
10月23日开始患儿每次喂养后约30分钟出现反复呕吐,呕吐物为豆腐渣样,酸臭味,量不详,5-6次/天,自行口服“八宝散”未有好转,伴全身散在皮疹,自行涂药膏后无好转。
11月2日04:00左右患儿出现颜面及口唇发绀,呼吸急促费力,四肢抖动,双手握拳,双眼凝视,持续约4分钟后情况较前改善,后精神转疲,07:00至H县人民医院就诊,予“吸氧、头孢哌酮抗感染、氨溴索祛痰”等治疗,考虑病重,建议转上级医院,遂随救护车鼻导管吸氧下来我院,途中神疲,无发绀,无再发抽搐,急诊拟“呕吐抽搐查因”收入我科进一步诊治。自出生以来患儿胎粪及小便均为生后24小时内排出,现大便2-3次/天,黄色软便,小便色清,量正常。已接种乙肝疫苗及卡介苗,未行新生儿疾病筛查。
体查:
T:36.6℃,P:154次/分,R:60次/分,BP:60/30 mmHg,头围34 cm,身长52 cm,Wt2.74 kg。足月儿外貌,精神疲,反应差。鼻导管吸氧下血氧饱和度95%,全身皮肤散在脓疱疹,全身皮肤中度黄染,经皮胆红素246μmol/L。头颅无畸形,未触及异常包块。前囟大小1.5 cm*1.5 cm,前囟平,张力不高。双侧瞳孔等圆等大,直径约2 mm,对光反射灵敏。口腔黏膜光滑,未见腭裂。颈软,胸廓无畸形,双侧对称,三凹征(+),呼吸急促,双肺呼吸音粗,未闻及干湿性啰音。心率154次/分,心律齐,未闻及杂音。腹软不胀,脐部渗液,脐周皮肤潮红,肝肋下未及,脾肋下未触及肿大,肠鸣音4次/分。双侧*丸睾**已降至阴囊。四肢脊柱未见畸形,未见脊柱裂。四肢肌张力稍高,触觉刺激下偶有肢体抖动,双下肢无水肿及硬肿,觅食反射、吸吮反射、握持反射可引出,拥抱反射未查。
辅助检查:末梢血糖10.9 mmol/L。
入院诊断:呕吐抽搐查因:颅内感染?电解质紊乱?脓疱疹;新生儿肺炎?应激性高血糖;新生儿脐炎。
入院后查急诊生化:

(严重低钠血症,血清钠104mmol/L)
低钠血症诊断和分类:
1、根据血钠水平:
(1)血钠130~135 mmol/L为轻度低钠血症;
(2)血钠125~129 mmol/L为中毒低钠血症;
(3)血钠<125 mmol/L为重度低钠血症。
2、根据进展速度分类:
(1)低钠血症存在<48 h为急性钠血症;
(2)低钠血症存在≥48 h为慢性低钠血症;
(3)若不能确定低钠血症存在时间,在除外可引起急性低钠血症的因素后(包括:手术后期、烦渴、运动、结肠镜检查的准备、*头丸摇**、催产素、噻嗪类利尿剂、去氨加压素、特利加压素、抗利尿激素、静脉应用环磷酰胺等),建议考虑为慢性低钠血症。
3、根据有无临床症状分类:
(1)任何程度的血钠降低伴中度低钠血症症状定义为“中毒症状低钠血症”。其中,中度低钠血症症状包括:恶心不伴呕吐、意识模糊、头痛;
(2)任何程度的血钠降低伴重度低钠血症症状定义为“严重症状低钠血症”,其中重度低钠血症症状包括呕吐、心脏呼吸窘迫、异常和深度嗜睡、癫痫、昏迷(Glasgow≤8)。
治疗:
1、积极治疗原发病,去除病因;
2、轻症患儿(血清钠>120-130 mmol/L),应缓慢纠正低钠,在24-48小时内,逐渐把血钠提高到正常范围。(补钠和泵速计算公式见下文)
3、严重者,有明显的神经系统症状或血清钠低于120mmol/L的患儿,不论病因是什么,都应该迅速配置3%NS,尽快使得血清钠提高到125mmol/L以上(第一个24小时提高不超过10 mmol/L,第二个24小时起1天不超过8mmol/L,补钠速度不超过1 mmol/L.h)。(补钠和泵速计算公式见下文)
4、如果患儿存在脱水情况,应该同时纠正脱水、补充生理量,补充损伤量,分别计算并共同补液。
补钠计算公式:
补钠量计算:
每提高10 mmol/L的血清钠,需要0.9%NS 40ml/kg,或需要3%NS(浓钠)12ml/kg,一般先使用半量,复查生化后再决定下一步补液计划;
补钠速度计算:
儿科常规补钠速度要求:
临床一般要求补钠速度≤1 mmol/(L.h).
重症低钠血症患儿,血清钠提高到125 mmol/L以上后,应该逐渐减速,最终改用0.9%NS继续补充。
贴士:
按3%NS计算,补钠速度1 mmol/(L.h)=泵速1.2 ml/kg;
按0.9%NS计算,补钠速度1 mmol/(L.h)=泵速4 ml/kg.h。
3%NS配液:GS:10%NS=7:3配置或0.9%NS:10%NS=10:3配置)
第一个24小时提高不超过10 mmol/L,第二个24小时起1天不超过8mmol/L,48小时不超过18 mmol/L。
补钠速度过快容易导致:心脏骤停、脑水肿、脑桥和脑桥外脱髓鞘病变。
本文病例后续诊治结果:
该病例中的患儿,入院时血压、尿量正常,入院后查末梢血糖高,存在应激性高血糖。
入院后暂予0.9%NS输注,未见明显脱水貌,未排消化道畸形可能,有抽搐病史,入院后有再发抽搐1次,予镇静、禁食,按生理需要量60%输注常规营养液。
急查相关检查结果,生化Na104.1 mmol/L,K 2.53 mmol/L,存在低钠血症,低钾血症(该病例中,补钾量计算后加入上述常规营养液中),另管补钠,低钠血症方面,已经是重度低钠血症,存在神经系统症状,按补钠速度1 mmol/(L.H),用3%NS计算(现在临床一般要求24小时提高不超过10mmol/L,《儿科急诊医学》写明48小时内≤28 mmol/L,《实用儿科学》写明,24小时不超过12 mmol/L。2014年欧洲指南指出,第一个24小时提高不超过10 mmol/L,第二个24小时起1天内不超过8 mmol/L),予3%NS 33ml(3%NS配液:0.9%NS:10%NS=10:3配置),泵速3.3 ml/h。输注2小时后复查生化,提示血清钠105 mmol/L,继续输注完毕后复查生化:

(↑12小时后复查结果)

(↑36小时后复查,结果出来后,改用0.9%NS继续补钠)

(↑48小时后复查)

(↑入院后第三天复查)
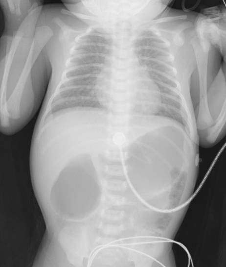
患儿经过补液纠正电解质紊乱后,无再发抽搐,精神好转,临床症状改善,病情较入院稳定,X片检查:

患儿除了肺部少许渗出,提示肺炎,腹部有典型的双泡征,考虑十二指肠远端狭窄可能性大,后来完善消化道造影检查,证实为十二指肠远端狭窄,送小儿外科继续外科治疗。
部分参考资料:
1、《实用新生儿学》
2、《诸福棠实用儿科学》
3、《儿科急诊医学》
4、《Clinical practice guideline on diagnosis and treatment of hyponatraemia》2014 ESICM/ESE/ERA-EDTA 欧洲低钠血症诊断和治疗的临床实践指南