#好医生为健康护航#
现在疫情已经确确实实走进我们每个人的生活。
我们在日常工作中也会接诊很多的新冠肺炎的患者。
新冠肿瘤患者专家共识解读: 专家共识解读:后疫情时代下的肿瘤患者,应该如何接种新冠疫苗?
面对新冠感染,到底什么情况下应该用药?应该用哪些药?其实现在都还有争议。
要解决这样的问题,我们或许应该首先了解新冠病毒感染以后对肺部造成的具体影响,然后才能决定。
所以,新冠病毒感染后地肺部情况到底如何呢?
现在绝大多数的资料都是集中在CT影像学的改变,但它毕竟只是表层的影像。
能不能透过影像讲本质,聊聊新冠病毒感染对肺内实质的具体影响呢?
我们今天就来聊聊这个话题。
一、新冠病毒感染后的肺部病变
2021年3月份,欧洲医学会官方杂志<Vichows Archiv>发表了一项研究。
为了分析新冠病毒感染对肺部情况的影响,同时为了能够有效结合影像学特点进行分析,研究者设置了严格的筛选标准:
1. 所有患者均罹患新冠病毒感染,并出现肺炎,最终死亡;
2. 所有患者死亡前均有配对的CT影像学表现。
这样,通过 解剖患者的尸体 ,获得肺组织标本,就可以了解新冠病毒对肺内环境的具体影响,也能很好地和CT影像学进行一一比对,来帮助更好地指导临床实践。
最终,研究者基于新冠病毒对肺部组织的具体影响,将新冠肺炎的病程分为三个阶段。
01 | 早期阶段
蛋白膜形成
1、发病机制


2、病理特点及影像表现
如上图所示,正是新冠病毒感染人体肺泡上皮细胞的全过程。
在这个过程当中,病毒会在入胞后在细胞内完成复制,直至细胞死亡,细胞破裂后便释放出大量已经完成复制的病毒,进一步感染周围细胞。
受感染肺泡上皮死亡后,导致原有肺泡上皮完整性被破坏,于是蛋白质渗出蛋白膜形成。

蛋白膜覆盖下,原有的肺泡上皮呈浑浊,在CT下呈现出磨玻璃样改变。

02 | 中期阶段
肺泡腔灌注-纤维蛋白渗出
1、发病机制


2、病理特点及影像表现
肺泡上皮坏死后,病毒释放进入肺泡腔,于是免疫系统被激活, 大量炎症细胞聚集于肺泡腔内, 加重肺泡上皮的炎症反应,诱导肺泡上皮损伤,此外未被免疫细胞识别杀灭的新冠病毒进一步感染肺泡上皮细胞,导致肺泡上皮细胞死亡。
于是,在这样的作用下, 肺泡上皮完整性被进一步打破,大量炎性渗出液渗入肺泡腔中,甚至灌满肺泡腔。

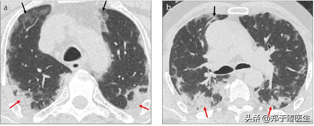
这个时期的影像表现有多种形式:
1、实变
因为弥漫性肺泡损伤引发肺泡腔渗出填充引发的实变

实变可以和磨玻璃成分混杂存在

2、疯狂铺路(crazy-paving pattern)
疯狂铺路是肺实质密度增高呈磨玻璃样外观,小叶间隔和小叶内间隔呈网格状增厚,其反应的是肺泡中的蛋白质沉积。

3、支气管充气征
当肺泡实变后,其包绕的支气管就会形成支气管充气征

4、空泡征(vacuolar sign)
继发于肺实变的细支气管变形和扩张

03 | 晚期阶段
肺泡重塑,彻底失去有效功能
1、发病机制

在第二阶段以后,如果人体免疫系统不能有效杀灭新冠病毒,导致肺泡上皮细胞坏死及炎症反应反复发作,那就会导致 肺泡重塑(alveoli remodelling)

在病理学上表现为,肺泡外的细胞基质结构紊乱,并混杂大量纤维组织,肺泡在这种情况下会变得难以变形,即通气障碍,同时因为肺泡壁周围的间质增厚,导致换气障碍,并 最终丢失有效功能 。
在影像学上表现为经久不愈的扩大的实变区域,区域内的密度高度均一,外周可能合并疯狂铺路、支气管扩张等炎性渗出、蛋白沉积征象。

04 | 愈合阶段
炎症吸收
主要的发病机制是 炎性纤维化的修复过程。
这个阶段最直接的表现是肺部实性病灶的逐渐消退和吸收,其中比较典型的表现是在吸收后在胸膜下出现和胸膜平行的长曲线,即 胸膜下线(subpleural lines) 。

二、如何理解
新冠病毒感染所致肺炎
为了更好的理解新冠病毒感染所致的肺炎及用药时机,我们整理了几个问题。
Q1:新冠感染到底是不是自限性疾病?
从目前的证据来看,绝大多数的新冠感染都可以在机体免疫力的*伤杀**下自愈,罕见转为慢性的过程,所以,新冠感染是自限性疾病,这一点应该是没问题的。
Q2:既然是一种自限性疾病,为什么新冠肺炎会导致这么多的患者死亡?
要理解这个问题,我们要了解新冠病毒对肺部系统的具体破坏机制,主要有以下几种方式:
第一种,病毒直接攻击肺泡上皮细胞。
病毒入侵肺泡上皮细胞,在细胞内无限复制,导致细胞裂解死亡。
第二种,病毒诱发局部炎症反应,二次攻击肺泡上皮细胞。
细胞裂解死亡后,释放出大量的病毒原液进入肺泡腔,吸引大量免疫细胞聚集,产生强烈的免疫反应。
这就相当于在肺泡内进行了一场战争(炎症-免疫反应),在你来我往当中,作为战场的肺泡腔会发生二次破坏,导致肺泡上皮细胞坏死。
第三种,在免疫力不强人群,病毒未被彻底消灭,残存病毒继续感染肺泡上皮细胞,开始新一轮循环。
……
最终,是散发肺泡损害基础上,进一步形成弥漫性肺泡损害,也就是在这个过程当中,肺泡腔内相继出现蛋白渗出、透明膜、肺泡灌注。
这个过程会导致患者呼吸功能受损,难以确保充足的氧气供应,从而导致患者死亡。
Q3:普通新冠肺炎的类似于急性肺损伤,严重新冠肺炎类似于急性呼吸窘迫综合症?
如下图所示,左边是一个正常的肺泡腔,正是他的收缩和舒张完成了通气和换气的过程,而右边则是一个被炎症渗出液灌满了的肺泡腔隙,一旦到了这个阶段,肺泡将失去通气、换气功能。

我们在胸外科手术患者中,经常看到一种术后并发症,叫急性肺损伤(acute lung injury),他的发病主要来自于手术中间的各种挤压等有害操作,损害了局部肺组织,引发肺泡炎症。
而一旦这个病情没有得到有效控制,会进一步恶化成为急性呼吸窘迫综合征,也就是ARDS。
普通的新冠肺炎,类似急性肺损伤;
严重的新冠肺炎,类似急性呼吸窘迫综合症。
正因为有着高度相近的病理生理改变特点,所以他们有着高度相近的临床表现。
首先,他们都表现为严重的低氧血症,需要呼吸机的正压通气。
其次,他们在影像学上都表现为大白肺。

最后,他们都特别强调有效咳痰的重要性。
在胸外科,尤其是肺部手术患者,我们都非常强调术后排痰的重要性,就是为了降低术后急性肺损伤乃至急性呼吸窘迫综合症的风险。
具体可以参考既往帖子: 《肺部手术的那口痰,不咳出来可能会要了你的命》
即便面对已经发展为急性呼吸窘迫综合征的患者,我们依然强调有效排痰的重要性,甚至需要采用一种特殊的体位方便排痰,这就是最近很火的 俯卧位排痰法 。
它的原理就是让患者在俯卧状态下排痰,因为这样的体位特点可以让原本处于低位的痰液位置抬高,从而可以被更加有效地排出,减轻呼吸困难的症状。
因为这个排痰方法现在已经广泛应用于新冠肺炎患者,所以它又有了一个新的名字—— 新冠趴 。

Q4:为什么老年人死亡病例特别多?
目前来看,因为新冠肺炎死亡的主要是老年人群体,它的可能原因主要有以下几点:
1. 老年人原本疫苗接种率就不高,而疫苗接种产生的抗体是防护新冠的重要手段。
疫苗接种对防疫的具体影响,可参考既往帖子: <既然都要得新冠,为什么非要打疫苗?>
2. 老年人原本基础肺功能就差,同样的肺功能损害在这样的人群中影响更明显。
3. 老年人肺部原本就存在不同程度的慢性纤维化改变,排痰功能原本就差,再结合老年人免疫力较差的情况,等量的病毒含量在这个群体造成的伤害将远大于年轻人。
既往研究也发现,即便是疫苗可以带来保护作用,但其在老年人中的功效依然不如年轻人,这背后可能就是老年人肺部基础情况不佳带来的影响。

Q5:可以用抗生素吗?具体应该什么时候用?
以前有句老话,赤脚医生有三素,抗生素,激素和维生素。说的是在很多乡下只要头疼脑热感冒发烧,那没有接受正规培训的医生就只会给这三个方法,说的其实是一种用药不对症的情况。
按理说,抗生素也就是消炎药,它处理的是细菌性感染,病毒是没有效果。
但真的是这样吗?
如前所述,新冠病毒的危害主要是损害肺泡上皮,从而导致肺泡腔灌满炎性渗出物,失去有效功能。
而一个充满了炎性渗出物的肺泡腔,没有流通功能,却充满了各种营养物质,在温暖的环境中,在受抑制的免疫功能下,是滋生细菌感染的最好的环境。
中国有句古话,叫 流水不腐,户枢不蠹 ,说的就是这种状态。
这个背后的临界点,就是肺泡腔因灌注而失去有效的通换气功能。
换句话说,一旦突破这个临界点,就极有可能在单纯的病毒性肺炎基础上,进一步发展出细菌性肺炎。
新冠肺炎选择上抗生素,需要满足两个具体条件:
1、新冠病毒确确实实攻击了我们的肺部,引起了肺部的炎症。
2、肺部的炎症已经达到前文提到的第二个阶段,即肺泡腔灌注-纤维蛋白渗出。
这个阶段最大的特点,就是在原本的磨玻璃斑片影中,出现了实性病变,因为它的背后就是肺泡弥漫损害,也就是肺泡腔灌注。

Q6:可以用激素吗?具体应该什么时候用?
在体内病毒复制活跃的情况下,人体免疫系统可以通过杀灭病毒提供 有益的保护作用。
但在某些情况下,人体免疫系统也可以通过无限激活局部炎症反应带来 有害的破坏作用。
选择激素,就是抑制人体免疫系统,因此这个决定需要充分考虑上述两种具体情况来权衡利弊,即是否合并病毒复制,是否伴随炎症导致的次生伤害。

激素治疗的最佳人群, 是体内已经没有活跃病毒,但却存在明显炎症反应,即核酸检测阴性,但肺部依然存在实性未吸收病灶的患者。
激素治疗的争议人群, 是体内仍有活跃病毒,但也共存明显炎症反应,即核酸检测阴性,但肺部依然存在实性未吸收病灶的患者。
这类患者往往发病迅速,多见于老年人,这种情况要上激素,就要配合有效的抗病毒治疗才行,不然就会导致一种很尴尬的局面,即“顾头顾不了腚,顾腚顾不了头”。
抑制了免疫反应,局部的炎症消退,病毒就开始爆发,而不抑制免疫系统的话,病毒虽然消灭了,但局部炎症却在进展,肺泡的损害越来越重,患者的呼吸也越来越困难。
激素治疗的最不应该人群, 是体内仍有活跃病毒,但却没有明显炎症反应的患者,即核酸检测阳性,但肺部仅表现为磨玻璃斑片影的患者。
此时肺泡上皮没有被大规模破坏,肺泡腔也没有被大量炎症介质灌注,局部的炎症并不明显,此时上激素会抑制人体免疫反应,导致病毒活跃进展。
三、病例分享

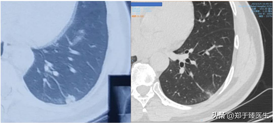
最后,分享一个阳康后肺炎患者的治疗经历。
这是一个中年男性,12月初感染新冠病毒,居家期间,采用对症处理后症状好转,核酸转阴。
12月下旬,患者联系我,说自觉胸闷不适,我担心体内遗留肺炎情况,因此建议他复查了个CT(2022.12.25),结果一看,果然出现肺炎了。
于是,我尽快给他安排住到我们医院,在和主管医生沟通后,查了核酸阴性,于是就上了小剂量激素配合抗生素进行处理(2022.12.26开始)。
一周后,复查CT,炎症消退,患者症状明显好转,办理出院(2023.1.4)。
前后治疗周期10天。
从CT的片子来看,炎症几乎全部吸收,甚至连胸膜下线都没有看到,这说明实变区域吸收非常彻底,没有遗留任何纤维结缔组织,也就是没有任何后遗症。
我个人猜测,如果没有这样使用,他的恢复可能并不会这么迅速,将来可能遗留一些慢性纤维斑痕组织,甚至演变成一个慢性的过程,而这些都是我们不愿意看到的。
下面就是治疗前后的CT改变:






结合这个病例,我有以下几点思考:
一、核酸阴性不等于肺部没问题,更不等于完全康复。
这个病例就是出院后核酸转阴后复查CT发现的肺部炎症。
此外,在有条件下,还是优先建议大家做核酸检测,而不是抗原检测。
具体可参考:< 新冠抗原检测阴性,不是你麻痹大意的理由! >
二、感染新冠后,一旦有异常症状,一定记得复查CT评估肺部是否受累。
从目前来看,新冠病毒对人体的最大损害,一个是心肌炎,一个是肺炎,其中后者更为多见,因此一旦有异常,千万记得要复查CT。
而在肺部方面,因为新冠病毒不仅损害肺泡细胞,还会弱化神经系统(比如感染后导致嗅觉、味觉失灵),而后者让身体对缺氧没有反应,也就是 无症状性低氧血症。
因此,单纯依赖有无症状,判断自己是否存在缺氧,是一种非常不科学的行为。
关于新冠肺炎引发味觉嗅觉失灵的解决办法,我专门整理了一个帖子,欢迎大家查看:< 新冠病毒导致嗅觉味觉减退竟存在终身不愈风险!科学预防是关键 >
三、综合结合患者的CT表现和核酸结果,评估病情发展阶段,选择性地联用抗生素或激素,将有助于新冠肺炎地快速康复。
参考文献:
1. The novel coronavirus pneumonia (COVID-19): a pictorial review of chest CT features. Diagn Interv Radiol. 2021 Mar;27(2):188-194.
2. Imaging and clinical features of patients with 2019 novel coronavirus SARS-CoV-2. Eur J Nucl Med Mol Imaging.2020 May;47(5):1275-1280.
3. Fibrotic progression and radiologic correlation in matched lung samples from COVID-19 post-mortems. Virchows Arch.2021 Mar;478(3):471-485.
4. COVID-19 pneumonia: a pictorial review of CT findings and differential diagnosis.
5. Vaccine effectiveness of one, two, and three doses of BNT162b2 and CoronaVac against COVID-19 in Hong Kong: a population-based observational study. Lancet Infect Dis. 2022 Oct;22(10):1435-1443.
6. COVID-19 Mortality and Vaccine Coverage - Hong Kong Special Administrative Region, China, January 6, 2022-March 21, 2022. MMWR Morb Mortal Wkly Rep. 2022 Apr 15;71(15):545-548.