汇聚全院之力,整合最新技术,三台手术同时做,长达五个小时的奋战,只为患者生的希望,究竟这是一台怎样的手术,在牵动着众人的心,术中又将出现怎样的险情,在考验着无影灯下的身影…
视频加载中...
6月18日,早上八点,在八朝古都开封,一位73岁高龄食管癌患者被推向手术室。

这场手术技术难度高、创伤大、手术时间长、死亡率高、术后并发症多,众多胸外科医师望而却步,国内许多医院和医生更不愿意做这类手术,患者家属曾多方打听,四处求医,只为活命。

患者在30年前做过胃大部的手术切除,不仅失去了内镜下的治疗机会,也失去了胃代食管的机会,还失去了空肠代食管的机会,只能尝试用横结肠代替。但是,横结肠不像胃一样具有血运良好、物理强度高、游离操作简便、长度充分等优点。作为国内最早开展横结肠代食管手术的医院之一,河南大学第一附属医院胸外科将汇聚全院众多科室之力,为患者争取更多的生命时间,延续生命之火。





术前一周,在河大一附院张双林院长的带领下,胸外科牵头组织消化内科、肿瘤科、普通外科、麻醉科、重症医学科等众多科室的专家进行多学科会诊,反复推敲手术方案,评估手术风险,调整患者身体状态,最终确定采用胸腔镜辅助食管癌根治横结肠代食管手术方案。

横结肠代食管手术一般分三个阶段:第一阶段,游离食管,切除肿瘤,清扫淋巴结;第二阶段,黏连的松解和横结肠移植,结肠长短的游离和取材;第三阶段吻合,颈部食管与结肠肝曲的吻合,腹部结肠脾曲与胃的吻合,还有结肠与结肠的吻合。三个吻合口,三个阶段,相当于三个手术同时做。

这种手术的难点和要点是横结肠的游离长度以及它血管的供应保护,也就是充分的血液供应,一旦血管没选好或者结肠的长度不够,手术就会失败。而患者体质长期消瘦,43公斤的体重和85、50左右的低血压对麻醉诱导、术中生命维持、麻醉苏醒以及术后康复都是极大的挑战。

医院向患者家属耐心讲解病情程度、解释手术原理、分析手术风险,充分的沟通获得了患者家属的理解、信任与认可,并表示无论结果如何,愿意承担一切后果,让医护团队放手一搏。
信任医生是对生命的爱护与尊重,患者及家属对医生的信任是医生们无畏前行的最大动力。张双林院长说:“我们举全院之力,组成最佳治疗团队,倾尽全力给他看好这个病。”

6月18日手术日,患者状态良好。按照手术方案,张双林院长和团队先进行胸腔镜下游离食管及纵膈淋巴结清扫,第一阶段一切顺利。


时间流逝,手术很快进入第二阶段,游离腹腔黏连,分离胃大部切除术后的输入袢及输出袢,横结肠移植。


腹腔打开后,棘手问题出现了,患者血管弓与他人不同,观察横结肠血管,右侧有结肠肝曲,它的血管吻合支,就是右结肠动脉和结肠中动脉之间的吻合支是缺如的, 一般情况下,缺如的概率在3%以下,这影响了主刀及团队对它吻合部位的判断,手术强度陡然增加。


时间就是生命,术中团队紧密配合,张双林院长凭借过硬的理论知识,丰富的临床经验,把结肠肝曲截断的部位放在吻合支缺如的地方,使其它地方尽量的往脾曲延长,保证它的长度和血管正常的血供。
从早上9点到下午3点,张双林院长及团队滴水未进,汗水浸湿了他绿色的手术衣,张双林院长说“作为医生,对累苦没有概念,只要生命到我们身边,我们就有义不容辞的责任,想办法让他获得新生。”
近5个小时的争分夺秒,295分钟的不懈奋战,手术顺利完成。
一般情况下,针对年龄较大、吻合口较多、手术时间较长的患者,按照流程要转入重症医学科过渡治疗。在重症监护室,医护人员采用一对一的护理办法,重点观察患者的血压、心率、引流管的情况,并且考虑患者营养情况,用肠外营养预防吻合口漏。

6月19日,患者在ICU过渡24小时后转入胸外科病房继续治疗。 护理团队针对患者专门制定周密详尽的护理方案,帮助患者恢复肺功能,观察胃肠道功能的恢复情况,通过静脉、腔内营养等各种措施,保证术后营养与身体状况的改善,鼓励患者术后适量活动,加速康复。


精湛的医术、高尚的医德、热情的服务、贴心的护理,获得了患者的尊重与感谢。患者积极配合,次日已经可以进行床旁活动。

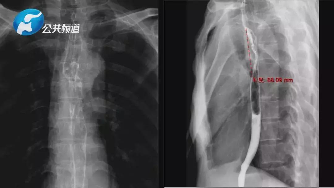
术后第五天,通过上消化道造影检查,患者术后吻合口通畅,形态良好;术后第六天,患者可以经口进流食及半流食;6月26日术后一周,患者开始正常饮食。

河南大学第一附属医院建院于1949年,医院在1956年已开展结肠代食管手术,是当时国内开展这项手术最早的医院之一。

上世纪八十年代,以著名外科专家刘宗兆教授、张庄教授为首的团队围绕“横结肠代食管”进行了一系列基础与临床研究,相关技术居于全国一流水平。

张双林院长继承发展该项技术、总结临床经验,撰写的相关论文发表在《中华外科杂志》、《中华胸心血管外科杂志》等核心期刊上,还被中国抗癌协会食管癌专业委员会制定的最新版《食管癌规范化诊治指南》引用,引起业界关注。并多次受邀在河南省内,或者走出河南到吉林、辽宁、广东等地会诊推广横结肠代食管技术。

几十年来,医院一直坚持研究、探讨、创新这种手术的入路方式,把多年来的技术保留下来,掇菁撷华,取精用宏。

既往手术在颈部,胸部,腹部有三个比较大的手术切口,胸外科在传统优势基础上发展微创特色技术,利用胸腔镜游离胸段食管,减少手术创伤,提升吻合技巧,改人工吻合为机械吻合,不仅操作更精准,更能缩短手术时间,减少病患痛苦,帮助患者快速康复,提高患者生命质量。

张双林院长经常告诉团队成员,“别人不做的,我们愿意做,别人放弃的,我们愿意做,患者只要信任,我们只要有技术,再苦再累,我们愿意做。”
技术的推广、提升和改进离不开团队协作。在院长、科室主任的不断的指导下,医疗和护理团队敢于创新、敢于拼搏、敢于突破、敢做第一,发挥亮剑精神,在临床、学术、科研上均取得了不小的进步。


技术的传承与发展更离不开人才梯队建设。医院新一代的年轻医生都是研究生、博士生,理论与技术水平更高,基础更扎实,张双林院长希望年轻医生不仅要掌握这项技术,改进这项技术,更要深入研究这项技术。在老一代主任、专家的基础上,发扬拼搏精神,四代人共同努力,帮助更多的患者,使国内甚至是国际的患者受益。