
脑脊液(CSF)在脑室和(或)蛛网膜下腔内异常积聚时称为脑积水(HC)。超声检查侧脑室宽度>10mm即为脑室扩张。10~15mm为轻度扩张,>15mm重度扩张;也有些文献将侧脑室内径13~15mm定义为中度扩张。
一、病因
病因不完全清楚。50%的可能与感染(巨细胞病毒、弓形虫、风疹病毒、流感病毒、腮腺炎病毒或者梅毒感染等)或炎症有关;室管膜壁破坏、脑白质水肿、神经胶质过多症或者纤维化等也是可能的原因。颅内出血的凝血块或颅内肿瘤的堵塞、发育异常、基因缺陷、X性连锁疾病等也可引起脑室扩张。
脉络丛的肿瘤可引起脑积液产生过多;Arnold-Chiari畸形可引起第四脑室延长下移;前脑无裂畸形、胼胝体发育不全可影响CSF循环;X染色体异常可能与大脑导水管狭窄有关,三倍体、多倍体等也常常伴有脑室扩张。
二、分类
脑室或CSF循环通路发育异常引起的HC称为原发性HC或先天性HC,颅内出血、感染、颅内肿瘤等引起的HC称继发性HC或获得性HC;不伴有其他异常的原发性HC为单纯性HC或孤立性HC,伴有脊髓脊膜突出、Dandy-Walker畸形、全前脑畸形、脑膨出、胼胝体发育不良等异常的为综合征性HC。有些单纯性HC可伴有染色体异常,如X连锁遗传病、基因缺陷、Walker-Warburg综合征等,也称为综合征性HC。
另外,还有交通性HC和非交通性HC、高压力性HC和正常压力性HC之分。
三、发生情况
国内围产期HC发生率为5.47/万,占出生缺陷的第4位。乡村平均发生率高于城镇,单发HC的发生率北方高于南方,综合征HC的发生率则是南方高于北方。
四、脑积水超声诊断
(一)声像图显示
1.侧脑室的显示和测量 超声显像检查诊断胎儿HC主要观察侧脑室或以侧脑室扩张为线索,追踪显示第三脑室、第四脑室及其他颅腔。15~16孕周后侧脑室后角充满CSF,内部的较强回声由脉络丛形成。测量位置可选择侧脑室后角或前角,以垂直于侧脑室轴线的侧脑室最大内径为侧脑室宽度,测量时注意要避免脉络丛的影响。随着孕周的增加,侧脑室内径相对缩小;在中期和晚期妊娠中侧脑室内径6~8mm,整个妊娠期侧脑室宽度都不应超过10mm;由于妊娠中期脉络丛几乎占满了侧脑室体部,如果脉络丛与脑室壁之间存有3~4mm的侧脑室腔,即使脑室测值小于10mm,也应引起注意。
2.轻度脑室增宽 轻度脑室扩张(MVM)可以合并严重颅脑结构畸形,也可能是HC的早期表现或染色体异常,但也可能仅为暂时性改变。
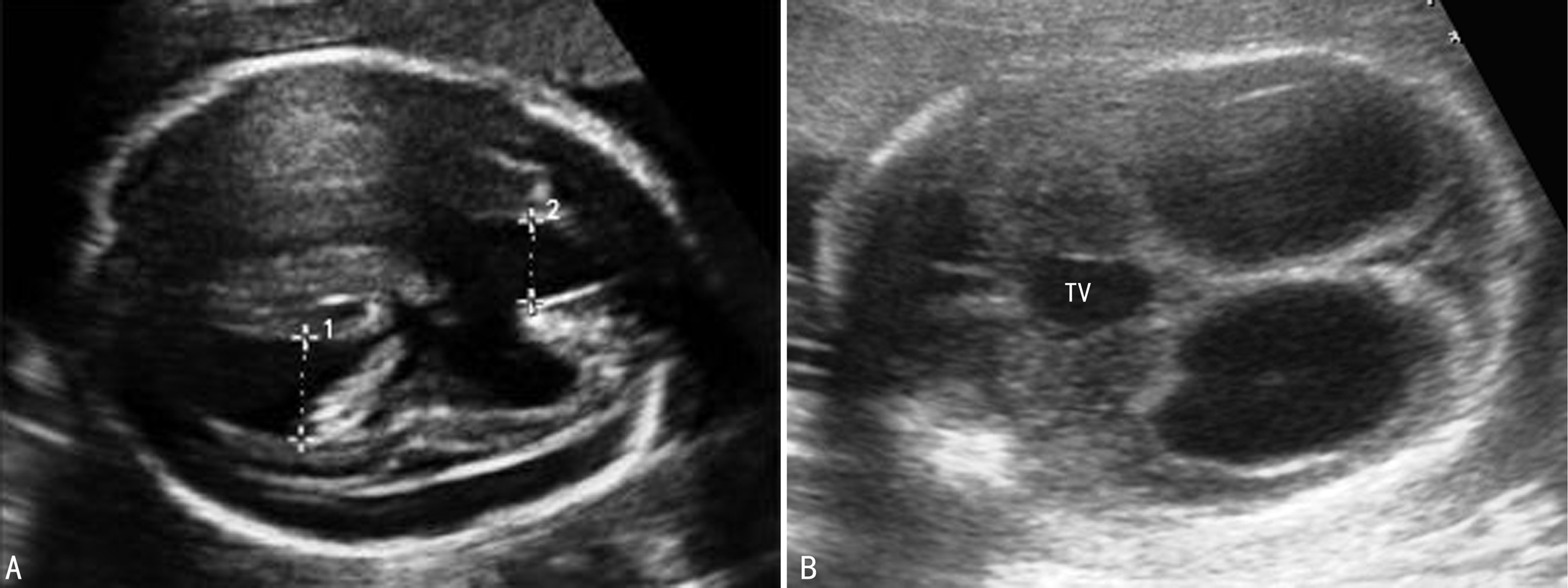
(1)单纯性脑室扩张(IMVM):可以是单侧或双侧(图1),3%~15%有染色体异常,通常为非整倍体异常,主要见于21-三体,在13-三体和18-三体中也常见,还可见于47XXY、47XYY、三倍体、染色体部分缺失、非平衡易位等。大多数IMVM可以自行缩小至正常范围,尤其是侧脑室宽度<13mm时自行消失的可能性很大,与CSF引流暂时性失调有关。McKechnie等报道有83%的轻型脑室扩张患儿可以正常发育,但困扰医生做出抉择或进一步检查的是有14%的IMVM会加重。因此,超声检查显示IMVM后仍需要进行系统的胎儿检查,仔细辨认有无伴发的其他异常、有无染色体异常的其他软指标。如果没有发现其他异常并且IMVM在分娩前消失的则有90%的胎儿预后良好,双侧不对称的IMVM(宽度差异>2mm)时预后不良,约一半的胎儿出生后有神经系统发育异常。侧脑室内径在10~12mm的预后优于内径13~15mm的胎儿。

图1胎儿双侧侧脑室扩张(TV第三脑室)
大多数轻度侧脑室扩张胎儿无不良的后果。因此,单侧、轻度、稳定的侧脑室如不合并其他畸形时多无明显意义,快速加重的或合并其他神经系统畸形的病例则预后较差。需要注意的是轻度脑室扩张的胎儿出生后的相关病率及染色体异常的危险性较正常者高,并且也可能是其他各种神经系统异常的表现或是染色体异常的软指标。
(2)非单纯性脑室扩张(N-IVM):轻度脑室增宽时有43%的胎儿有其他超声可见的结构异常或存在染色体异常软指标。最常见的合并畸形为中枢神经系统异常,包括脊柱裂、胼胝体缺失、Dandy-Walker畸形、脑膨出、前脑无裂畸形、无脑回畸形、蛛网膜囊肿、脉络丛囊肿、小头畸形以及非CNS畸形,如唇裂、先天性心脏病(主动脉缩窄、室间隔缺损、房间隔缺损、法洛四联症、左心发育不良、右室双出口等)、腹部畸形(腹裂、脐膨出、膈疝、食管闭锁等)、泌尿生殖器官畸形(肾脏发育不良或缺失、异位肾、尿道下裂、膀胱外翻畸形、隐睾等)以及足内翻、多指(趾)畸形、单脐动脉、胎盘增厚、羊膜带综合征、胎儿生长受限等。
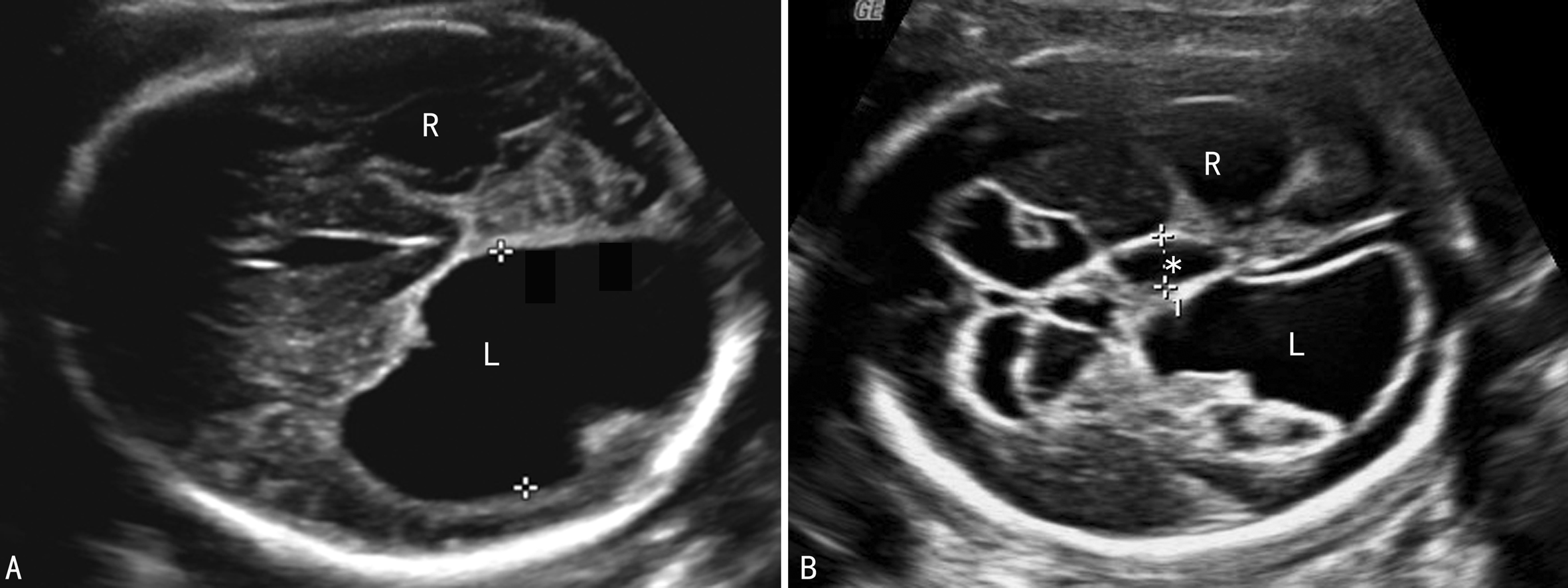
作为染色体异常的软指标,MVM合并染色体异常的风险性是3%~12.6%,单纯性MVM有4%的染色体异常的发生率,其预测价值在女性胎儿中可能比男性胎儿更大一些,最常见的是21-三体综合征(图2),其次为18-三体综合征、13-三体综合征、47XXY综合征、47XYY综合征、三倍体综合征、染色体部分缺失、非平衡易位等。不同的染色体异常引起的脑室扩张的原因可能有一些差异,但还不足以不同的脑室扩张区分染色体异常的类型。

图2 21三体胎儿脑不对称积水,第三脑室(*)扩张
3.重度脑室增宽 重度侧脑室增宽(SVM)俗称HC(图3)。超声显像检查可以显示为对称性脑室扩张(图3,图4A),也可以显示为非对称性脑室扩张(图4B),严重时颅内完全由无回声的积液占据,脑组织显示不清。重度侧脑室增宽最常见的原因是中脑导水管硬化,并且有60%的胎儿伴有CNS结构异常,包括前脑无裂畸形、Dandy-Walker畸形、脊柱裂、小脑扁桃体下疝畸形、脑穿通畸形等,但较少合并染色体异常。超声显像检查显示胎儿头颅增大,脑室系统扩张,压力升高,脑室周围灰质、白质相继受压,严重时颅内结构不可辨认或显示不清,神经结构及功能严重受损,胎儿出生后多有严重的智力障碍。

图3胎儿脑积水声像图,剪头示脉络膜悬吊于脑室内

图4胎儿重度脑积水声像图
4.脑室扩张超声诊断技巧
(1)侧脑室的形态:侧脑室形态可见显示,但显示饱满,侧脑室前角和后角变钝则提示侧脑室内压力增加,即使没有测值的异常,也需要密切随访观察。
(2)脉络丛活动:常见于侧脑室严重增宽时,显示为脉络丛非常薄或者脉络丛自由地飘浮在脑室中(图3)。
(3)第三脑室:第三脑室是一个比较敏感的指标,在头颅横断面或正中冠状切面只要显示了第三脑室的无回声即应考虑第三脑室增宽(图2)。妊娠12~28周第三脑室的平均宽度为lmm左右,随妊娠的进展而增宽,最宽达1.9mm;任何时候第三脑室的宽度>3.5mm可被认为异常。
(4)比率:①侧脑室率(LVR):正常LVR随着胎儿的生长逐渐下降,在12孕周时均值为0.7,到15孕周时均值0.56,至30孕周时均值为0.3,此后进入稳定状态。②头围/腹围比率:正常参考值为1.18。大于2.0则可以诊断为HC。
(5)正中线“波动征”:很早就有研究者提出中线波动征是HC的重要声像图表现。严重HC时在中线两侧均显示扩张的脑室,胎儿头部活动或检查过程中震动胎儿头部时脑中线可出现波动,借此也可以与胎儿颅内囊性病变作出鉴别诊断。
五、脑积水鉴别诊断
脑室扩张可能为正常变异,也可能伴随不同程度的颅内或颅外畸形,预后有很大的不同;不同类型的脑室扩张的鉴别诊断具有重要的意义。因此,超声显像观察到脑室扩张后应注意对颅内和颅外追踪检查和复查,确认有无异常及异常的种类,以期明确诊断,为临床咨询和产科正确处理提供依据。
除上述合并畸形外,以脑室扩张为主要表现或为主要线索需要作出鉴别诊断的主要有Dandy-Walker畸形、全前脑畸形、积水型无脑畸形(水脑症)、Arnold畸形、胼胝体发育不全等。