扭伤后脚上有块骨头突出了?
小李是一名地产从业人员,前段时间带客户看房时下台阶不小心扭到脚,幸好只是轻度肿痛,自行冰敷后症状就逐渐缓解。最近两天又在一次看房过程中扭伤了脚,在家休息了一天也没缓解,而且感觉脚上有块骨头肿起来,心慌之下来了门诊就诊····
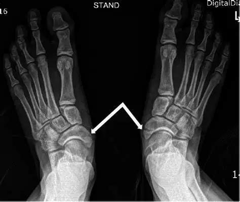
到了医院,检查了小李的足踝,告诉她:踝关节内外侧的韧带都没太大问题,怀疑有“副舟骨综合征”,也是叫“症状性副舟骨”,并是不普遍说法的“崴脚”,去拍了X线片。报告上写着:副舟骨形成····这···到底是个什么病???

什么是副舟骨?
部分人由于先天发育异常,部分骨骼的骨化中心未能融合,导致原来的骨头上多长了一块,被称为副骨。
Grogan 1989 年 报道副舟骨发生率13%;Kiter 认为是常染色体显性遗传所致;
正常情况下,维持足弓最重要的胫后肌腱大部分附着在舟骨上,但是当副舟骨存在时,胫后肌腱便舍舟骨而去,转而附着在副舟骨上,导致胫后肌腱相对延长,胫后肌腱力线异常,维持足弓的力量减弱,致使足弓发生塌陷,形成平足。
一般副舟骨多数合并有平足,不一定都会疼痛,很多人都是因为扭伤后去医院就诊时才发现自己有副舟骨。

什么情况下副舟骨会引起疼痛?
1.足部扭伤时,副舟骨与舟骨稳定的纤维软骨连接受到破坏而出现不稳定,下地负重时,胫后肌腱牵拉副舟骨时,受伤的纤维软骨连结也收到牵拉而引起疼痛。
这种是最常见的情况,所以很多人足踝扭伤以后,踝关节内外侧韧带损伤很快恢复了,但是足内侧长期疼痛,往往就是这个原因。
2.副舟骨引起平足,又会继发胫后肌腱的过度牵拉,肌腱疲劳导致胫后肌腱炎,引发疼痛。
3.据文献报道:副舟骨发生率13%,出现后平均2年42%融合,副舟骨平均融合年龄13.3岁,换句话说就是在儿童的副舟骨有可能转化为无症状的3型副舟骨,所以在融合年龄前不要去切除副舟骨。
症状与体征:
症状:
以青年女性多见,常有扁平足表现。
久站或行走较长时,感觉足底部的足内侧疼痛。
舟骨内侧隆起,并有压痛。
局部可有滑囊炎。
有时可有胫后肌腱压痛。
部分患者因急性踝扭伤后发病。
检查:
足隆起部位压痛明显;有时在隆起的近端胫后肌腱部位压痛;抗阻力内翻时,足内侧疼痛加重。
X线平片显示舟骨内后方有小骨块,部分能够见到小骨块明显分离。

分型
I型又称为籽骨型,副舟骨为小的骨块,圆形或椭圆形,与舟骨不相连,通常情况下不引起疼痛;
II型被称为假关节型,副舟骨与舟骨以纤维软骨相连,被称为“两分舟骨”,可引发疼痛;
III型为融合型,副舟骨与舟骨形成骨性的桥梁,也不容易引起疼痛。


治疗
首先进行X线检查,确定分型,根据分型及临床表现进行治疗。
1.儿童时期发现平足、足外翻或副舟骨的及时到正规医疗机构评估、必要时使用矫形足垫或矫形鞋。
2.保守治疗:疼痛症状较轻者,可使用非甾体类消炎止痛药,局部理疗,穿定制足弓支撑鞋垫,减少胫后肌牵拉的疼痛,避免过度负重行走活动等,等待纤维连接的愈合。

3.手术治疗:主要适用于Ⅱ型痛性足副舟骨,一般扭伤后可导致舟骨与副舟骨间纤维软骨连接损伤,在行走过程中胫后肌腱不断牵拉副舟骨,间断刺激已损伤的纤维软骨连接,故病情常难以自愈,需手术治疗。
目前手术方式较多,主要有:Kidner手术、Malicky内固定融合术、对于合并胫后肌腱功能不全的还需结合以下几种手术:胫后肌腱重建、跟骨内移截骨、足外侧柱延长术、跖楔关节融合或楔骨背侧开放截骨、距下关节制动术等等。#家庭医生超能团# #真相来了# #健康科普# @头条健康 @暨南大学附属第一医院 #足痛#
