白领佳佳结婚2年了,事业也刚稳定,正准备给家里增加一个小宝宝,可是孕前检查妇科超声提示子宫内膜呈Y形、子宫纵隔。医生说子宫腔太小了,会导致胎儿生长发育受限制,即使怀孕了也容易流产。
子宫小了?还Y形状?子宫不都是圆圆的吗?自己一直也没感觉,月经正常、不痛不痒,佳佳不能理解。
1、一室户变成两室户?
正常的子宫腔是一个类似倒三角或者倒梨形,宫腔也是空空的,是个宽敞的一室户。虽然宫腔有大小之分,但是正常情况下,并不影响生育。

那佳佳的子宫小是怎么一回事呢?
这么说吧,本来的一室户,突然建一堵墙,变成了两室户,每个房间的面积是不是就小了很多?

一个宫腔被纵膈分成两个
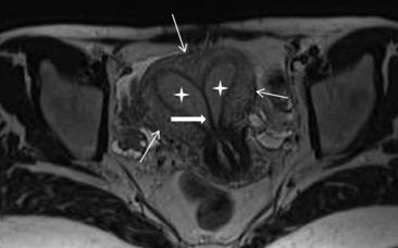
这在医学上叫子宫纵膈,属于最常见的子宫腔畸形,就是在宫腔的中间多出了一道隔(墙),而且这面墙的长度不一(分为完全纵隔与不全纵隔),厚度也不一样。这一面“墙壁”的存在可能使得子宫腔变狭小。
比如佳佳,而从核磁结果上看,子宫就变成了一个Y形,左右两边的宫腔都太小了。

2、没有任何症状,却难怀孕
大家知道,子宫腔是受精卵着床的地方,是孕育胎儿的摇篮。这个隔的存在,可能使得子宫腔变狭小,导致胎儿生长发育的空间不够,生长到一定程度就发生胎停/自然流产。另外,由于隔的表面是没有内膜的,也就是没有营养支撑胎儿生长,所以如果受精卵种植在隔表面,那也是会发生自然流产的。
但是,隔的厚度每个人不一样,也有些人本身宫腔比较大,隔又很薄很短,那也是有可能正常怀孕、妊娠并足月分娩的。

子宫纵隔一般是没有临床症状的。 很多不做体检、不做孕前检查的人,是发生了自然流产后,才去检查发现了子宫纵隔,所以越早检查越好。
3、有纵膈,一定要手术吗?
我们的建议是,术前做个核磁共振检查,评估隔的大小,以及宫腔的大小。
如果看到隔比较宽厚,宫腔狭小,那么为了更好的生育结局,为了尽量减少自然流产、流产不全、清宫,做个纵隔切开也是非常值得的。更何况,现在这个手术非常微创呢!
微创到什么程度呢?
多年前的手术是经腹部切开子宫,把子宫中的这一道隔切除,那术中是血淋淋的,术后恢复时间也较长,还会留下难看的疤痕。而目前,子宫纵隔手术都是通过宫腔镜进行的,宫腔镜是通过阴道和宫颈管这一自然腔道,术后不留任何疤痕,也是妇科最微创的手术之一。
4、每个纵膈都不一样,怎么切更合适呢?
切少了会有纵隔残留,切多了不仅术中出血,以后子宫底肌层薄弱,妊娠后子宫破裂的风险也会增加。
所以,以往是需要宫腹腔镜联合的,腹腔镜可起到一定程度的监护作用。
而在红房子,我们制定了子宫纵隔矫形的手术标准,对于每一例子宫纵隔的患者,常规术前运用核磁共振检查,精确确定子宫外形、宫底形状,精准测量纵隔各个径线的大小,制定了每个人应该切除的范围。

这样也避免了常规腹腔镜监护,对于患者而言,少了腹部的创伤与疤痕,也是更为微创。
宫腔疾病专科门诊
黄浦院区或杨浦院区
周一至周六 8:00-16:30
撰文:陈丽梅
编辑:李妙然