小儿龋齿的治疗方法有哪些 (小儿龋齿的原因及防治措施)

龋齿原因及防治方法,小儿龋齿的原因及防治措施

龋齿原因及防治方法,小儿龋齿的原因及防治措施 ​​

龋齿原因及防治方法,小儿龋齿的原因及防治措施

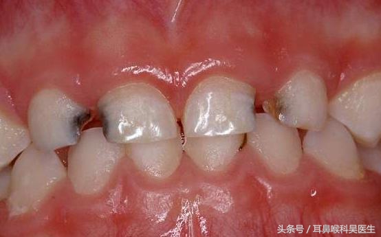
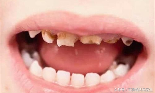
龋齿原因及防治方法,小儿龋齿的原因及防治措施 ​ 应网友要求今天写了一个小儿龋齿的科普,以往很多人对小儿牙齿的关爱不够,很多小儿有不同程度的龋齿,随着现在科普的大力宣传,人们对儿童龋齿的注重程度才得到很快的提升。 小儿龋齿形成主要有以下几方面的因素:首先,乳牙本身牙釉质钙化程度低易患龋齿;加之小儿天*爱性**吃甜食,时间长了导致口腔的酸性环境,牙菌斑容易附着在乳牙表面;如果患儿吃过多的甜食,加之刷牙不到位,口腔清洁度差,时间长了就会形成龋齿。如果不及时治疗会影响患儿的咀嚼、消化及吸收功能,影响小孩的生长发育;也可导致经常健侧咀嚼,影响颌面部畸形发育;如果乳牙龋齿向深部发展,可形成牙髓炎、根尖周炎,可影响恒牙发育及萌出。 治疗方法1.药物治疗,涂药治疗龋齿主要适用于浅龋,可抑制龋齿发展,但不能恢复牙体外形,常用药物有2%氟化钠溶液,5%的氟化亚锡,4%氟磷酸盐溶液或凝胶等,可每半年涂一次。2.龋齿的充填物 ,目前充填是治疗龋齿的主要方法,即将病变组织去除干净,用牙科材料充填,恢复牙体外形,防止龋坏继续继续发展。 预防: 1.掌握正确的刷牙方法 ,6个月以内的婴儿,家长应用纱布清洗牙面,睡着时最好停止喂哺,不要含着奶嘴睡觉。随着乳牙的萌生,家长应帮助孩子刷牙,随着幼儿的成长,让幼儿逐渐掌握刷牙方法,养成早晚刷牙,饭后漱口的口腔卫生习惯。1~2岁选择白开水刷牙;2岁以后开始用牙膏刷牙,每次刷牙不少于3分钟。2.饮食管理不让儿童摄取过多甜食,每日控制点心和零食的量。3.定期检查,乳牙本身易患龋齿,家长应每隔3个月或半年带孩子去医院做定期的口腔检查,做到早发现早治疗。