最近有粉丝在我们后台求助,她6岁的女儿到了换牙期。孩子下颌最中间的两颗牙长出了"双排牙",新牙已经萌出,乳牙还没有脱落。对此她有些着急,担心乳牙会影响恒牙的生长,从而影响牙齿的美观。

乳牙脱落,恒牙随后逐渐萌出,这是小朋友必然要经历的一个换牙过程。但不少孩子在换牙期都会出现"双排牙",医生表示"10个换牙期的孩子,有5个都会长双排牙"。
每位父母都希望孩子有一口洁白整齐的牙齿,漂亮的牙齿让孩子笑起来更自信。不整齐的牙齿不仅拉低孩子的颜值,还会让人看着不舒服。所以碰到这样的事情,父母会格外重视。
01双排牙对孩子有啥影响呢?
正如妈妈们担心的,双排牙会影响牙齿的健康和美观。
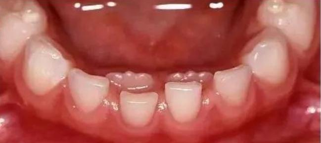
恒牙初萌乳牙不肯腾出位置,恒牙便会自己找地方长,它们会悄悄沿着乳牙的内侧生长。恒牙出生的位置不正,虽然等乳牙脱落了,恒牙会自我纠正位置。但有些位置偏的厉害的恒牙,却不能回归正位。最终导致恒牙不整齐,影响美观。

父母就得花费时间和金钱帮孩子矫正,孩子也要承受矫牙带来的各种不便。
其次,双排牙会影响口腔健康。
双排牙使得恒牙和乳牙周围的食物残渣变得难以清洁。本来孩子刷牙大都敷衍了事,这会导致细菌在双排牙周围聚集繁殖,引起口臭、牙结石等各种牙龈和牙齿疾病。
02为什么会有双排牙?
答案是,养孩子越上心,孩子越容易有双排牙,父母过多的爱反而会害了孩子。
首先,从喂养习惯方面来说。
从给孩子添加辅食开始,我们习惯将食物捣碎弄烂。等孩子慢慢长出牙齿,父母仍旧会习惯性地给孩子吃软烂的饭食,以及切成小粒的水果。如此,孩子吃起来更方便,也更容易消化。

然而家长们忽略了一点,孩子的牙齿需要锻炼和刺激。咀嚼行为对乳牙的锻炼和刺激,能让它们在使命完成之际,及时跟牙槽骨分离,为恒牙的生长提供空间。
咀嚼还能促进颌骨的发育,为恒牙争取更多的成长空间。恒牙一般会比乳牙大1/3左右,如果颌骨发育不好,恒牙将缺少生长的空间。最后牙齿挨挨挤挤一起,就只能整牙了。
正确的喂养方式是,从添加辅食开始,随着孩子月龄增加,食物也应从泥状向颗粒过度,从小颗粒到大颗粒过度。当牙齿基本萌齐,就直接将整个苹果和玉米棒子交给孩子啃吧。

孩子大了还喂养太过精细,比如将肉剁碎了煮烂再吃,将水果榨汁,苹果切小块,将玉米变成玉米粒,孩子吃起来是方便了,却不利咀嚼能力的发育。
其次,营养过剩。
孩子摄入过多营养,会导致恒牙生长过快。在乳牙没到退休年龄时,恒牙已经破土而出了。
俗话说"养儿三分饥来三分寒",孩子每顿不用吃得太饱太好。强迫孩子过多饮食,容易消化不良,引起肥胖,甚至可能因营养过剩而提前发育。
03孩子有双排牙怎么办?
文章开头的那位妈妈,后来咨询了医生。医生表示,"双排牙"的孩子比较常见,由于疫情该牙科工作室未复工,医生便给妈妈支招——让孩子啃苹果或者玉米,看乳牙是否会自行松动。

妈妈按照医生的话做了。果然,几天后其中一颗乳牙已略有松动,但另一颗仍旧纹丝不动。最后这位心急的妈妈找到一间营业中的牙科,在医生的建议下,将孩子的乳牙拔除了。
遇到这种情况,找牙科医生最稳妥,让医生来决定如何处置。但作为父母我们也要略懂常识,以便遇事不慌心里有数。
首先,是否需要拔乳牙的判断标准是:恒牙只萌出1/3或者2/3,可耐心等待乳牙自然脱落。如果恒牙几乎完全萌出乳牙仍旧不落,则需要拔除乳牙。
不建议太早或过多拔乳牙,这容易造成牙颌畸形,且拔牙的过程可能给孩子造成心理负担,能不拔就不拔。
其次,注意口腔清洁。监督孩子认真刷牙漱口,必要时帮孩子清洁口腔。控制甜食,要定期带孩子看牙医。