(声明:本文仅用于科普用途,为了保护患者隐私,以下内容里的相关信息已进行处理)
【基本信息】女,35岁
【疾病类型】25慢性牙髓炎,26中龋
【治疗医院】聊城市人民医院(三甲)
【治疗方案】25根管治疗+冠修复,26树脂充填修复
【治疗周期】门诊治疗2次,共1周。
【治疗效果】患牙不适症状消失,叩痛阴性。
一、初识患者
患者,女,今年35岁,2周前左上牙出现疼痛,于是前往外院就诊,外院完善口腔检查及牙片后,明确诊断为25慢性牙髓炎,26中龋。在当地进行了初步牙髓处理,术后疼痛减轻,未接受进一步根管治疗,转入我科。
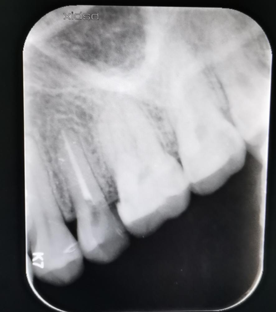
查看患者口腔情况,可见25中邻合面暂封物存在,无探痛,叩痛,牙齿无松动,牙龈缘轻度红肿,根尖区无红肿,冷测无反应,拍X线提示冠部低密度影近髓腔,根管内无填充物,根尖区无低密度影,诊断为25慢性牙髓炎(根管治疗中),26中龋。
二、患者的治疗经过
一般而言,如果患者需要进行多次根管治疗,第一步是行牙髓失活或牙髓摘除,俗称“杀神经”或“抽神经”,目的是减轻患者疼痛。然后会进行根管预备,主要是通过消炎使根管处于一种无菌的状态。(炎症较严重者需进行数次消炎,直到症状完全得以控制,才能进行下一步。)接下来复诊,进行根管填充,即使用特殊材质将根管充填,最后才能进行最后的补牙。

结合患者治疗进度,决定予以25根管治疗+冠修复,26树脂充填修复。在去除25旧暂封物后,予以3%Naclo冲洗,并在根管显微镜下揭顶,探及1个根管口。根管口内探痛,拔髓不成形,手用K锉通畅根管,然后使用iRoot sp+热牙胶垂直加压填充,复拍X片提示恰填,予以GIC暂封。同时对26齿去腐净达牙本质浅层,比色后,给予流体树脂+3M P60树脂充填,抛光。
1周后,复查25暂封物在,叩痛阴性,不松动,于是去除25暂封物,上橡皮障,制备嵌体洞形,扫描数字化印模,然后涂抹粘结剂,调合,抛光,完成修复,并嘱其定期复查。

术前片

术后片
三、患者在治疗中的注意事项
1、治疗结束会用临时的材料封闭,半小时内不要进食,注意不要让封闭的材料脱落,否则会妨碍治疗的效果。待封闭材料干后,进食、刷牙可照常进行。
2、避免咬过硬食物:如排骨、牛肉干等。过硬食物容易使牙齿受到不垂直的颌力而发生劈裂、折断。
3、根管预备或根管充填后一周内也许会出现疼痛反应,多数属于正常现象,如疼痛严重,伴有局部肿胀和全身反应,应及时复诊,酌情进一步治疗。
四、患者的治疗效果
复查时,患者自述未再出现牙齿疼痛情况,检查患者口腔,牙齿无叩痛、松动,冷热刺激痛,口腔卫生较佳。为了解牙齿内部情况,嘱托其定期回医院复查,并在日常生活中改变生活习惯,保护好口腔卫生。
五、患者在日常生活中的注意项
1、定期复查,建议遵照医嘱,每3个月或6个月到医院定期复查,拍牙片随访牙齿内部情况。
2、饭后立即漱口能有效清除掉口腔内的部分食物残渣和软垢,使口腔内的细菌数量相对减少,从而达到清洁口腔的目的。

3、掌握正确刷牙方法,定期检查口腔健康情况。
六、医生感悟
龋齿,俗称蛀牙、虫牙,是由于细菌感染等多种因素作用,导致牙齿发生慢性、进行性破坏。根据其龋坏程度,可分为浅龋、中龋、深龋。浅龋、中龋由于不太严重,患者疼痛感不强,所以很多患者未前往医院就诊,导致龋齿加重,形成深龋,导致细菌感染牙髓,形成牙髓炎,造成剧烈疼痛。
浅龋、中龋,这两种龋坏程度相对较浅,进行常规补牙即可,先进行腐质清除,一定要把腐质(牙齿坏掉的部分)清除干净,备洞,然后进行牙齿修补。
若龋齿发展成牙髓炎,需要先进行根管治疗,将发炎的牙髓清理干净,封药消炎,然后进行根管填充,打桩做冠,如果牙体保存良好,可以考虑垫底后补牙,可就是采用盖髓术。
本次就诊患者由于两颗牙齿存在问题,一个是25慢性牙髓炎,另一个是26中龋。因此,在综合考虑后,决定对25进行根管治疗+桩冠修复,对26进行修补。通过完善的计划以及术中操作、术后护理,患者症状改善,复查情况良好。
姓名: 白广亮
单位: 山东聊城市人民医院
科室: 口腔科
职称:主治医师