全瓷牙如今已经成为患者最为喜爱的一种修复体,几乎可以以假乱真,而全瓷牙的寿命有多久?性价比是不是真的令人满意,这也是值得探讨的问题。
全瓷牙概述
全瓷牙,又称全瓷冠,是覆盖全部牙冠表面,且不含金属内冠的瓷修复体。由于内冠不再使用金属,而采用与牙齿颜色相近的高强度瓷材料制成,因此较金属基底烤瓷修复体更美观,半透明度与天然牙近似,修复后牙龈边缘表现更加自然,可达到仿真效果,且具有对周边组织无刺激等。

全瓷牙的保质期
根据制作材料不同分为两种:
1、玻璃陶瓷类全瓷牙。如:热压铸瓷冠,玻璃渗透瓷冠,及采用CAD/CAM技术研磨完成的玻璃陶瓷冠等。
2、氧化铝、氧化锆全瓷牙,通过应用CAD/CAM技术研磨完成氧化铝、氧化锆内冠,再通过分层堆瓷技术添加外层饰瓷,制作完成的全瓷牙或无外层饰瓷的全锆冠。

一般来说,全瓷牙就分为以上两类,而由于材料坚固,稳定性强,因此奠定了经久耐磨的基础。一个经过正规医师严格、规范、正确的操作、设计、制作的烤瓷牙,戴在口内的使用年限,普通合金烤瓷经研究得出,65%左右能使用20年以上。全瓷牙的寿命比普通烤瓷牙要长。如果你平时悉心呵护你的全瓷牙,那么寿命能更长,甚至能用一辈子。反之,全瓷牙的寿命也会减少。

哪些因素会让全瓷牙“折寿”?
全瓷牙的材料
其他情况都一样的时候,当然选择好的材料可以使用的更久一些。一般来说,贵的材料更好,一分钱一分货。不过也不完全,适合您的材料是最好的。二氧化锆全瓷牙是现在最好的全瓷牙。
牙齿的本身情况
其他情况都一样的时候,当然选择好的材料可以使用的更久一些。一般来说,贵的材料更好,一分钱一分货。不过也不完全,适合您的材料是最好的。二氧化锆全瓷牙是现在最好的全瓷牙。

个人的使用情况
个人的使用情况有一定关系。每天全瓷牙喝稀饭和每天用它啃骨头那肯定是不一样的。
医生的水平
整形医生的水平也会影响到全瓷牙的使用寿命。这个不难理解。要是医生的水平比较高,做出来的全瓷牙肯定使用的更久.

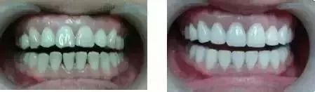
(前后对比照片)
二氧化锆全瓷牙技术
A、美观逼真:治疗后的牙齿的颜色可以和真牙颜色一样,而且永久不变色,在外人看来会跟真牙一样。
B、范围广:它适合各种不满意的牙齿,如个别牙不整齐,出现牙缝过宽、断牙、缺牙等都可以通过这种方法来弥补。

C、所需时间短:做二氧化锆烤瓷牙很方便,一般的一个星期的时间即可完成,只需要就诊两次,在第一次时把牙体准备好,第二次安装。
D、生物相容性好:在治疗后不刺激口腔组织,易清洁,生物相容性好,一般不会出现组织过敏。

E、极高的强度:这是通过高温,把金属与陶瓷粉结合在一起后,可以有足够的力量来承受口腔内的咀嚼力,耐磨耐用。
二氧化锆全瓷牙的七大优势
1、二氧化锆是以斜锆石存在的一种矿物
医用氧化锆经过清洁加工,在锆中保留的少量α射线的残余,其穿透深度很小,仅60微米。
2、二氧化锆烤瓷牙密度和强度很高
(1)强度比EMPRESS二代高1.5倍。
(2)强度比INCERAM氧化锆高60%以上。
(3)独一无二的抗破裂性及破裂后强韧的固化性能。
(4)可制作6个单位以上的烤瓷桥,解决了所有全瓷系统不能做长桥的问题。
3、二氧化锆烤瓷牙颜色自然美观
二氧化锆烤瓷牙,牙齿颜色的自然感觉和不明显的牙冠边缘也是采用二氧化锆全瓷修复所带来的好处。尤其是对美观要求高的患者更加重视其色泽自然这个优点,因为这样就使修复体同健康牙齿浑然一体,很难区分了。

4、二氧化锆烤瓷牙后期省麻烦
您知道吗?如果您口腔中镶嵌的假牙是含金属的烤瓷冠,在您需要做头颅x线、CT、核磁共振检查时,将会受到影响甚至拆除。非金属的二氧化锆对x线却无任何阻挡,只要镶入二氧化锆烤瓷牙,日后需头颅x线、CT、核磁共振检查时都不需要拆掉假牙,省去很多麻烦。

5、二氧化锆是一种很优秀的高科技生物材料
生物相容性好,优于各种金属合金,包括黄金。二氧化锆对牙龈无刺激、无过敏反应,很适合应用于口腔,避免了金属在口腔内产生的过敏、刺激、腐蚀等不良反应。

6、二氧化锆烤瓷牙强度高
二氧化锆烤瓷牙材料与其它全瓷修复材料相比其强度上的优势使医生不用过多的磨除患者的真牙,就能达到极高的强度,号称陶瓷钢铁

7、二氧化锆烤瓷牙品质高
二氧化锆烤瓷牙具有极高的品质,说其品质高不仅因为其材料,设备昂贵,更因为其运用了当今最先进的计算机辅助设计、激光扫描,再由计算机程序控制研磨制作而成,尽显完美。
温馨提示
全瓷牙坚固,耐用,一般情况下可以陪伴你一生,但是它的保质期任受到材料,技术,日后护理多方面因素的影响,因此,请爱护牙齿,注意口腔健康。