84岁老人体检中查出高危前列腺癌,前列腺增生严重,重量数倍于正常标准,影响正常排尿。十堰市人民医院泌尿外科一病区专家团队克服老人高龄和基础疾病多的不利因素,成功为老人完成腹腔镜下前列腺根治性切除术,不仅阻止癌症进一步发展,更极大地改善了老人的生活质量。

10月20日,记者在十堰人医泌尿外科一病区病房,见到正接受康复治疗的任爷爷。任爷爷说:“泌尿外科的专家护士们不仅给我治了病,还把我照顾得非常好。”有过从军经历的老人特别为泌尿外科一病区的医护团队总结了一句评语:“十面埋伏,全面进攻”,称赞他们治疗、护理各方面工作做得十分到位。
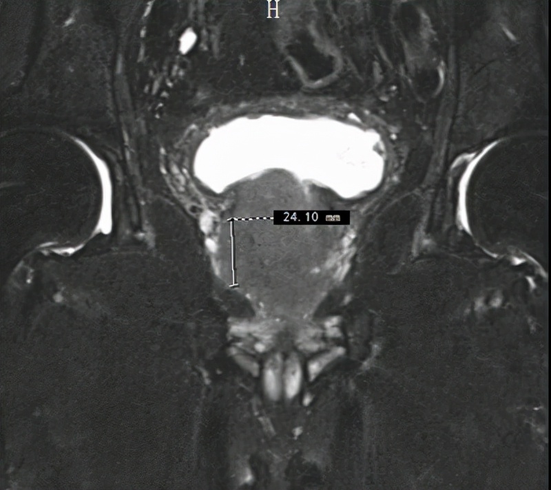
据了解,任爷爷9月下旬到十堰人医做健康体检,经磁共振检查提示前列腺结节,同时前列腺总特异性抗原(TPSA)异常升高,10月3日收治于该院泌尿外科一病区,经进一步穿刺活检,确诊为高危前列腺癌。

患者术前影像资料
十堰人医泌尿系统疾病中心常务副主任李云飞博士介绍,前列腺癌是中老年男性最为常见的恶性肿瘤之一,临床上对局限性前列腺癌分为低危、中危及高危三个层次,任爷爷的情况处于最高危,有扩散转移风险。同时任爷爷前列腺增生明显,严重影响到正常排尿,生活质量受到较大影响。
根治性切除术是治疗前列腺癌最有效的方法之一,但是也伴随着大出血、损伤直肠等较大风险,任爷爷84岁,有癫痫病史等基础性疾病,心肺功能较年轻患者有很大差距,手术风险更大。
综合评估患者情况,与本人及家属深入沟通后,李云飞团队决定为任爷爷行腹腔镜下前列腺根治性切除术。“患者是退伍军人,虽然年龄大,但身体素质相对较好。从患者本人的要求及后期生活质量来看,手术是较好的选择。”李云飞表示,腹腔镜下前列腺根治性切除术具有出血少、术后恢复快、切口美观等微创特点,已成为十堰人医泌尿外科一病区的常规性手术,科室治疗团队在技术和经验方面有足够保障。
在任爷爷的整个围术期,泌尿外科一病区医护团队充分评价并调整患者身体机能,为手术做好各项准备。10月14日,李云飞主刀手术,历时两小时,顺利完成手术,彻底解除了任爷爷前列腺癌的问题及排尿不畅的问题。术后第二天,患者即能下床活动。(记者 吕鑫 通讯员 郑桢桢)