
作者/周娟 肖玉珍 邵鸣 山西省永济肝胆胃病专科医院
发热是指机体在致热源作用下或各种原因引起体温调节中枢的功能障碍时,体温升高超出正常范围。发热的病因多见于感染性发热(细菌、真菌、寄生虫、病毒感染所致)、非感染炎症性疾病(自身免疫性疾病、自身炎症性疾病、造血系统恶性疾病)、肿瘤性疾病等。根据发热的热型及伴随症状可获得诊断线索的提示。今天让我们跟随笔者找出这个患者反复发热的元凶。
病例资料
患者男,67岁,主因“ 反复发热、腹痛1周”于2021-03-20入院。
现病史: 入院1周前无明显原因出现反复发热、腹痛,最高体温40℃,晨起体温多正常,发热以下午至凌晨多见,并感食欲欠佳、纳差、活动后心慌、气短、胃区不适、腹胀、肝区不适,就诊于当地诊所肌注药物治疗4天(具体药名药量不详)、静脉滴注“清开灵、左氧氟沙星等药物” 治疗2天,体温下降至38-39℃,但仍未降至正常;入院1天前就诊于当地市人民医院行腹部CT检查示:肝右叶低密度灶,随后就诊于当地市中心医院行骨髓穿刺及新冠病毒核酸检测,排除新冠病毒感染及血液病所致的发热,为求进一步诊治,来我院就诊,门诊以“发热 肝右叶低密度影待诊 肺结节 心肌供血不足 高血压 高脂血症”收入我科。患者自发病以来精神差,饮食欠佳,夜间睡眠欠佳,大便基本正常,小便黄,尿量正常。
流行病学史: 否认与肝炎患者有密切接触史,否认伤寒、结核等传染病接触史,预防接种史不详。否认输血史。
既往史: 自述查出高血压10余年,测最高血压160/90mmHg,现口服酒石酸美托洛尔(25mg、1次/天),自述血压可控制正常;有心肌供血不足病史,平时口服单硝酸异山梨酯缓释片(40mg、1次/天)、阿司匹林肠溶片(100mg、1次/天)、阿托伐他汀钙片(20mg、1次/天)等药物治疗。否认糖尿病病史,否认外伤史。否认中毒史,有维生素K1过敏史。
个人史: 生于本地,未到过疫区,无不良嗜好。
婚育史: 适龄结婚,其配偶及子女身体健康。
家族史: 否认家族中有相关疾病史。
入院检查
体格检查:
肥胖体型,焦虑表情,全身皮肤轻度黄染,未见蜘蛛痣及肝掌。全身浅表淋巴结未触及。巩膜轻度黄染,双侧甲状腺未触及肿大。双肺呼吸音粗,未闻及干、湿啰音。胸骨后不适感(+)。心率90次/分,心律齐,各瓣膜听诊区未闻及杂音。腹部膨隆,无局限性隆起,无静脉曲张及胃肠蠕动波,未见手术瘢痕。上腹中部及右上腹部压痛(+),反跳痛(+),Murphy征(-),腹部未触及肿块。肝、脾肋下未触及,液波震颤(-),移动性浊音(-),腹水征(-);肝区叩击痛(+)。肠鸣音约5次/分。双下肢凹陷性水肿(+)。
辅助检查:
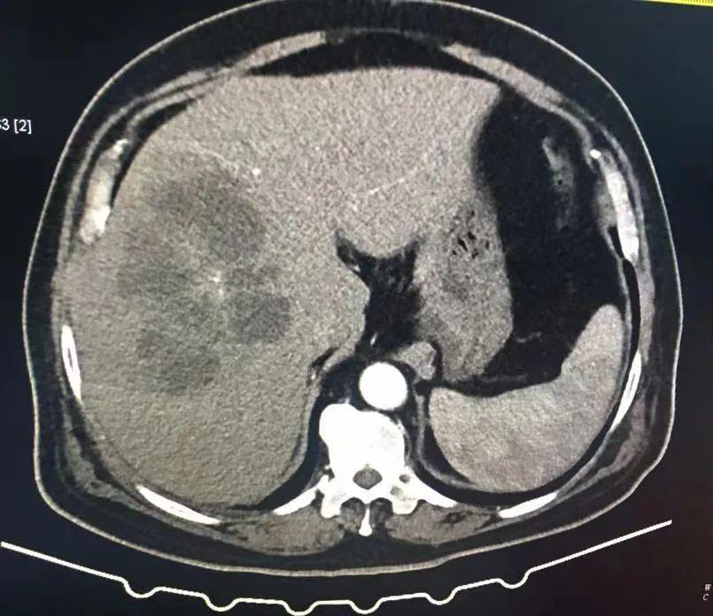
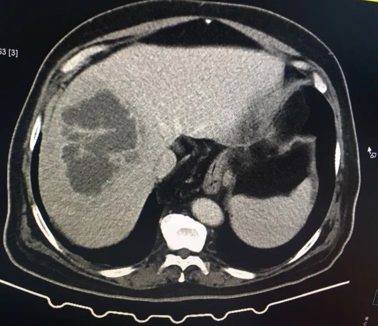
腹部CT: 肝右叶低密度灶,胆囊结石,建议增强CT;
胸片: 肺结节
CRP: 179.80mg/L;HS CRP:>5mg/L;ESR:8mm/h;
血常规: WBC:17.49×10^9/L,RBC:4.16×10^12/L,HGB:132g/L,PLT:141×10^9/L,NEUT%:85.91%;
骨髓细胞学检查: 感染性骨髓象(2021-03-20)。
入院后检查结果:

甲状腺功能: 正常;
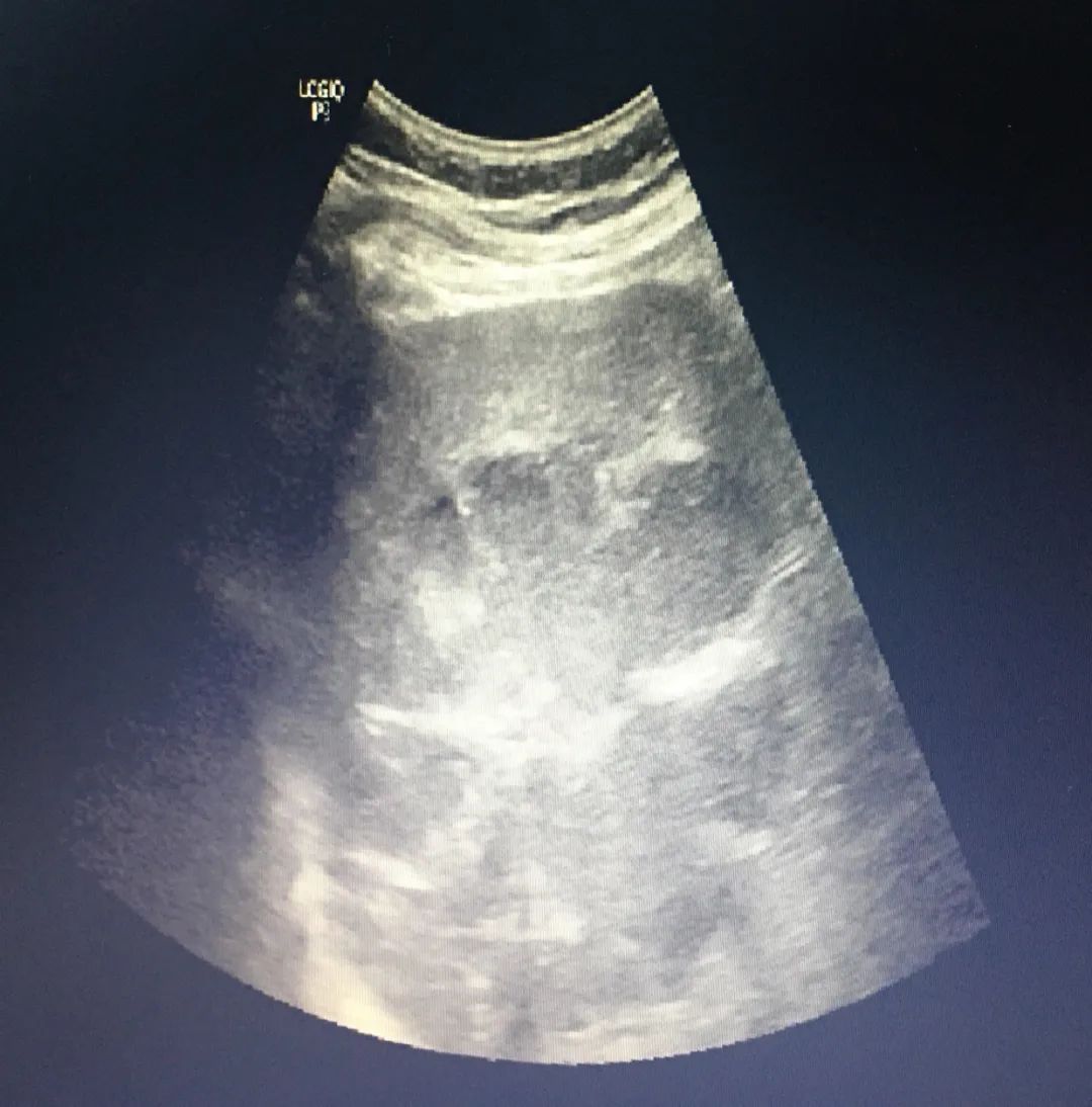
腹部彩超示: 1.肝脾大,肝内低回声,考虑肝囊肿,进一步检查;2.胆囊结石;3.左肾囊肿;
心脏彩超: 主肺动脉内径增宽,左室舒张功能降低,收缩功能正常;
彩色血流示: 未见异常;
颈部血管彩超: 右侧颈动脉内膜毛糙,右侧颈外动脉起始处后壁斑块形成;
彩色血流示: 斑块处血流充盈缺损;
心电图: 窦性心律,正常心电图。
腹部增强CT: 肝右叶多发肝脓肿、胆囊结石、腹主动脉硬化、食管裂孔疝、左肾囊肿。




诊断
细菌性肝脓肿;低蛋白血症;电解质紊乱;心肌供血不足;高血压2级(高危);胆囊结石; 肾囊肿。
治疗方案
1.患者为老年人,基础疾病较多,且有高热、黄疸,建议患者行脓肿穿刺置管引流联合抗感染治疗,促进疾病的恢复,患者及家属暂不考虑穿刺引流;
2.肝脓肿致病菌多见于大肠杆菌、金黄色葡萄球菌、厌氧菌,在未确定病原菌可首选对此类细菌有效的抗生素;入院之前有骨髓炎的可能,且入院前有多种抗生素的使用,未能行血培养;结合肝脓肿多为大肠杆菌、肺炎克雷伯杆菌,常易导致脓毒性转移引起肝外并发症,经验性给予哌拉西林钠他唑巴坦钠(4.5g、q12)联合替硝唑注射液(0.4个、q12)静脉滴注;
3.给予人血白蛋白(10g、qd)输注及营养支持治疗。
2021年3月24日
治疗3天后(2021-03-24)患者恢复体温正常,腹部压痛及肝区叩击痛较入院时减轻,偶感肝区隐痛;复查肝功能指标下降、CRP、血白细胞下降、血糖正常、血糖、血肌酐恢复正常。
肝功能:TB:53.10µmol/L,DB:35.90µmol/L,IB:17.20µmol/L,ALT:87U/L,AST:58U/L,ALP:227U/L,GGT:277U/L,CRP:55.6mg/L;
Glu:5.82mmol/L;
血常规:WBC:13.14×10^9/L,RBC:3.65×10^12/L,HGB:120g/L,PLT:186×10^9/L,NEUT%:86.74%;
胸部CT示:左肺下叶结节影考虑淋巴结显影、右侧胸腔少量积液、食管裂孔疝、头臂血管及冠状动脉硬化。
向患者及家属交代检查结果:胸腔积液考虑与炎性刺激有关,建议继续抗感染治疗,定期复查CRP,评估抗生素治疗的效果。
2021年3月25日
感活动后气短,查体:右肺呼吸音粗,可闻及哮鸣音;行胸部CT示:左肺下叶结节影考虑淋巴结显影、右侧胸腔少量积液、食管裂孔疝、头臂血管及冠状动脉硬化;胸腔积液考虑与炎性刺激有关,建议患者行肝脓肿穿刺置管引流术,患者因恐惧暂不考虑。
2021年3月27夜间
再次出现发热,最高体温38℃,结合患者肝脓肿大于10cm,且有多间分隔,建议行肝脓肿穿刺置管引流术促进脓液排出,利于疾病的恢复,患者及家属同意,于当日中午11时在超声引导、局部麻醉下行肝脓肿穿刺置管引流术。
术前彩超示:肝右后叶可探及大小12.2×8.7cm的低回声包块,其内可见分隔光带,术中引流出约100ml浅咖啡色粘稠脓液,术后患者未再有发热,术后3天复查肝功能呈持续好转趋势,CRP、血白细胞等指标明显下降。
肝功能:TB:33.40µmol/L,DB:18.20µmol/L,IB:15.20µmol/L,ALT:55U/L,AST:35U/L,Alb:34.6g/L;
Glu:5.81mmol/L;HbAlc:5.06%;
血常规:WBC:6.29×10^9/L,RBC:4.24×10^12/L,HGB:136g/L,PLT:313×10^9/L,NEUT%:78.21%,LYMPH%:15.62%;
CRP:21mg/L;
肾功能、电解质:正常。
术后5天共引流出浅咖啡色粘稠脓液约400ml,淡黄色粘稠液体约385ml。患者一般情况恢复正常后出院。
随 访
患者出院后精神、饮食、睡眠、体温正常,大、小便正常,出院后门诊复查,肝功能指标逐渐下降至正常,血常规、CRP正常,腹部彩超提示脓腔逐渐缩小,引流液逐渐减少,仅有少许絮状物,更换引流袋,替硝唑注射液冲洗后继续引流观察。行引流术后2个月患者复查肝功能正常、腹部彩超提示脓腔愈合后拔除引流管。
讨 论
肝脓肿大致分为细菌性肝脓肿、阿米巴性肝脓肿,今天我们结合该病例讨论细菌性肝脓肿。细菌性肝脓肿是较为常见且严重的肝脏感染性疾病,多见于肝病、胆道疾病、糖尿病及经过创伤性手术的患者,常见的危险因素包括糖尿病、肝硬化、长期使用质子泵*制剂抑**,主要经胆道、门静脉、肝动脉、开放性创伤、隐源性途径感染。
细菌性肝脓肿常见的致病菌为大肠杆菌、肺炎克雷伯菌、金黄色葡萄球菌、肠球菌和链球菌,临床特点为:发热、肝区疼痛、肝肿大,伴恶心、呕吐、食欲不振、乏力,严重时可出现黄疸,常易并发脓毒性转移,导致肝外并发症:眼、脑膜、中枢神经系统和肺,尤其是糖尿病患者多见。脓肿大于5cm、壁变薄和气性脓肿常易导致自发性脓肿破裂。此外,还可侵蚀隔膜,引起胸腔积液、脓胸、肺炎、心包炎、支气管胸膜瘘、十二指肠支气管瘘。
实验室检查可见白细胞、中性粒细胞增高、血沉、C反应蛋白升高、低蛋白血症、碱性磷酸酶、胆红素升高、凝血酶原时间延长。腹部彩超和CT检查对脓肿诊断具有较高的敏感性。
肝脓肿的治疗主要以穿刺引流和抗感染为主。血培养后和引流之前,一经诊断立即开始经验性抗菌治疗。小于3cm的多发脓肿,可以单用抗生素治疗,如哌拉菌素、第三代头孢菌素(头孢噻肟、头孢曲松)联合氨基糖苷类。如果有合并厌氧菌感染,可联合甲硝唑,一般为4-6周。CRP可作为评估抗菌药物治疗效果的有效指标,帮助指导合理停药。
抗生素治疗效果不理想或持续高热、脓肿直径>5cm或年老体弱者,首选经皮肝穿刺抽吸及置管引流术。当引流液清亮、持续多日少于10ml,B超下引流后脓腔小于2cm,且临床表现及实验室指标完全正常后,即可拔出引流管。
介入治疗失败,脓肿存在多间隔或多发性脓肿、脓液粘稠、胆道异常或合并恶性肿瘤者可手术治疗。
病例启示
1.对于高热患者第一时间进行血培养,选择有效抗生素。
2.应用有效足量的抗菌药物是治疗的基石,基层医院或没能进行血培养时,初期经验性选用尽可能全面覆盖常见菌群的药物:甲硝唑联合三代头孢或哌拉西林-他唑巴坦、碳青霉烯类抗生素。
3.对于肝脓肿大于5cm、深部脓肿、高龄患者,超声引导下经皮肝穿刺置管引流具有方便、微创、疗效确切、缓解临床症状快、经济负担小等特点,可优先选择。
4.低蛋白血症是介入或穿刺引流失败的重要危险因素,及时输注白蛋白可提高成功率,降低并发症。
5.术后的定期复诊及随访,有助于观察疾病的转归及有无复发。
6.胆源性肝脓肿是胆石、胆管狭窄等原因引起的胆管梗阻。感染所致肝脓肿,是肝胆管结石的严重并发症之一,表现为多发肝脓肿,常与化脓性胆管炎同时存在,起病急骤。该患者急起高热,多发肝脓肿,并发胆囊结石,故不能排除胆源性肝脓肿及化脓性胆管炎诊断,应进一步行MRCP了解是否有胆道结石或梗阻。如未能解除胆道梗阻,患者可能肝脓肿病情迁延或复发。
参考文献:
1.李祺,颜玉.细菌性肝脓肿的临床研究进展.牡丹江医学院学报.2021,42(1):127-131
2.左珊珊,李玉森,马杰.超声引导经皮肝穿刺置管引流治疗细菌性肝脓肿40例临床分析.河南外科学杂志.2020,26(4):110-111
3.赵芮,纪宇欣,李方平,李树臣 细菌性肝脓肿的诊治进展.肝脏.2020,25(3):331-333

*本文仅供医疗卫生专业人士为了解资讯使用,不代表本平台观点。该等信息不能以任何方式取代专业的医疗指导,也不应被视为诊疗建议。如该等信息被用于了解资讯以外的目的,平台及作者不承担相关责任。