
近年来,我国乙肝、丙肝的感染率逐年下降,但是随着人们饮食、生活习惯的改变,酒精性和脂肪性肝病的发病率则呈逐年上升趋势。据统计,脂肪性肝病在中国的发病率约为18%,发达城市则更高, 脂肪性肝病已成为仅次于病毒性肝炎的第二大肝病 。

发达国家数据统计表明, 大约15%-25%的脂肪性肝病患者在未来的10-15年间会发展为肝纤维化和肝硬化,而其中脂肪性肝硬化患者发展成肝癌、肝衰竭和肝移植术后复发的概率达30%-40%。 因此,肝纤维化作为一个关键的病理进程如得不到有效控制,将会成为严重威胁人类健康的“隐形杀手”。
“隐形杀手”肝纤维化可逆转
肝纤维化是一种由炎症导致的肝内结缔组织异常增生,而纤维增生是机体对于损伤的一种修复反应,各种病因 如病毒、酒精、寄生虫等所致反复或持续的慢性肝实质炎症,可导致肝脏持续不断的纤维增生而形成肝纤维化 。肝纤维化患者会有消化不良、恶心呕吐、食欲下降、腹痛、腹胀、腹泻等多种情况。

临床多年研究发现,肝纤维化疾病可以 逆转 ,更甚者早期肝硬化疾病也可以逆转,因此,早检测、早发现、早干预是治疗肝纤维化的有效途径。
胆汁酸作为重要的信号分子,通过作用于胆汁酸核受体FXR以及膜受体TGR5受体,对肝脏的代谢稳态调节起着重要的作用。 肝纤维化患者的血清和肝脏的胆汁酸浓度水平会显著升高 ,但是不同的胆汁酸在肝纤维化形成过程中起的具体作用尚不完全清楚。
基于此, 绘云生物的谢国祥博士团队 展开了深入研究,系统揭示了不同胆汁酸,包括12位羟基胆汁酸和非12位羟基胆汁酸在肝纤维化形成中的作用,及其抑制或逆转肝纤维化的信号通路。该研究成果成功发表于EbioMedicine。
肝纤维化预警信号——胆汁酸
胆汁酸在肝脏合成有两条途径(经典途径和替代途径),替代途径合成出来的一类胆汁酸(非12位羟基胆汁酸)是有益的,近年来被越来越多的发现与脂质、胆固醇、碳水化合物和能量稳态的调节有着密切关系。

- 肝纤维化与血清12羟胆酸浓度升高显著相关
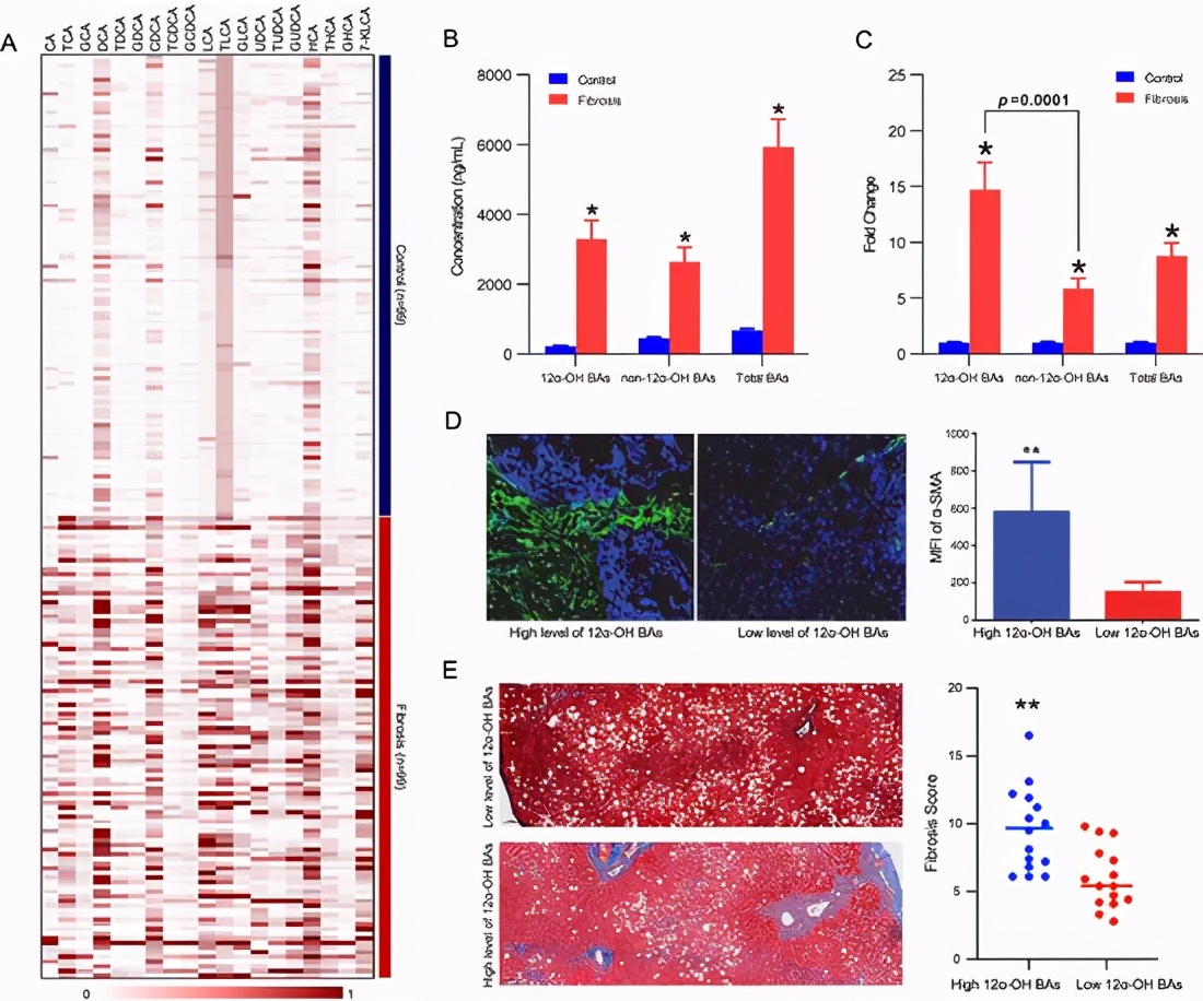
绘云生物研究团队比较了非酒精性脂肪性肝炎(NASH))患者与健康对照血清胆汁酸浓度,发现NASH患者的血清胆汁酸水平显著高于对照组,而且NASH患者血清12羟胆酸浓度显著高于非12羟胆酸,且变化倍数更高。
肝纤维化越严重,12羟胆酸浓度越高 ,在乙肝和丙肝伴随纤维化患者中也是如此。提示12羟胆酸与肝纤维化形成密切相关。

- 小鼠模型肝纤维化与12羟胆酸水平升高显著相关
为了进一步验证临床发现,绘云生物研究团队采用高脂饮食、左链脲菌素-高脂饮食(STZ-HFD)以及四氯化碳诱导的三种肝纤维化动物模型,分析其胆汁酸浓度变化,发现与肝病患者中胆汁酸变化类似的结果, 在三种肝纤维化模型小鼠中,肝脏组织和血浆中的总胆汁酸和12羟胆酸都显著增加 。
- 肝纤维化小鼠肠道菌群与胆酸水平改变显著相关
肠道菌群通过调节胆酸代谢进而影响多个胆酸受体信号传导通路。小鼠粪便肠道菌群分析结果发现,与胆酸解离、去羟基化和降解相关的细菌(如梭菌和拟杆菌),在肝纤维化模型小鼠中均发生了显著变化。而 这些变化的肠道菌群与12羟胆汁酸呈正相关 。

- 12羟胆汁酸TDCA和GDCA对肝星状细胞的激活和增殖作用最显著
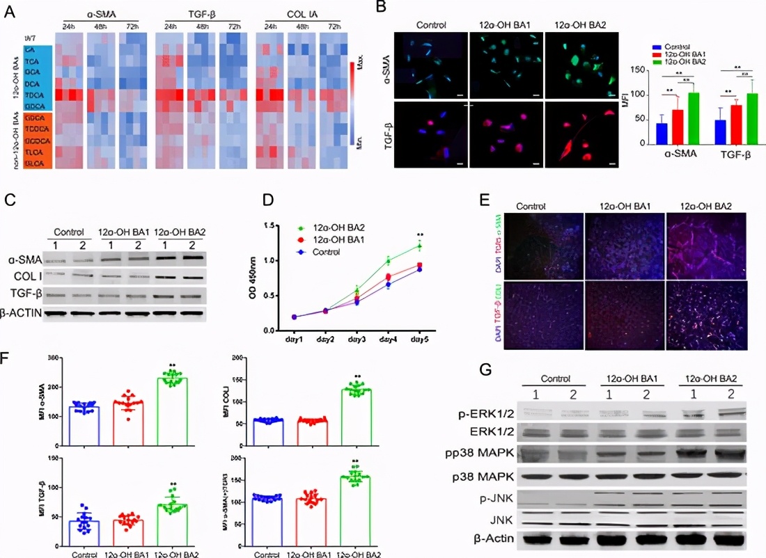
为了进一步确定12羟胆酸对肝脏星状细胞的激活作用,绘云生物研究团队采用LX-2细胞系统地筛查了不同胆汁酸个体。发现结合型次级12羟胆酸TDCA 和 GDCA对肝脏星状细胞的激活作用最强。与非12羟胆酸相比,12羟胆酸的诱导率成倍增加。
绘云生物研究团队进一步研究了结合型初级12羟胆汁酸以及结合型次级12羟胆汁酸对肝纤维化形成的作用。
通过免疫荧光染色,在肝纤维化模型小鼠的肝脏中发现,在48小时处理后的LX-2 细胞中, 结合型次级12羟胆汁酸对纤维化标记物蛋白(α-SMA和TGF-β)表达的上调作用更显著高于结合型初级12羟胆汁酸 。

- 结合型12羟胆酸通过激活肝星状细胞中TGR5相关信号通路促进肝纤维化
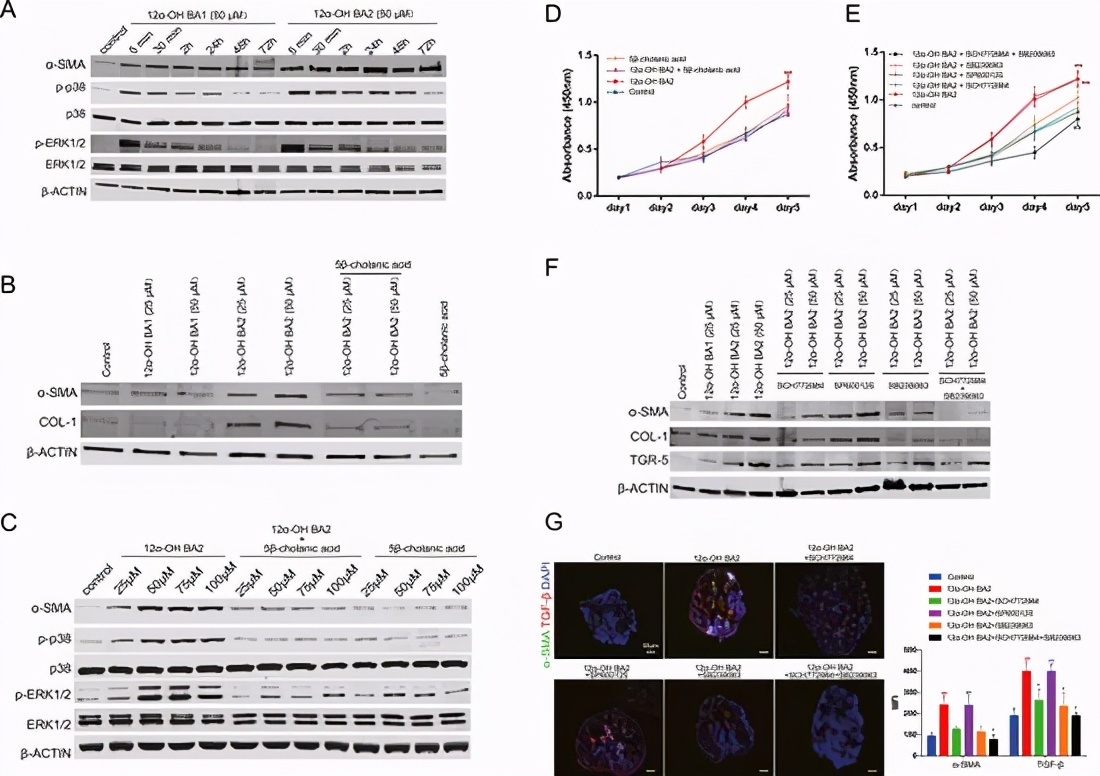
绘云生物研究团队分别用结合型初级12羟胆汁酸和结合型次级12羟胆汁酸对LX-2细胞进行了不同时长(5min, 30min, 2h, 24h, 48h和72h)的处理,然后用western blot方法对ERK1/2 和 p38 MAPK的磷酸化水平进行检测。
结果显示,结合型次级12羟胆汁酸比结合型初级12羟胆汁酸对ERK1/2 和 p38 MAPK具有更强和更长时间的磷酸化激活效果,对α-SMA也有更高的表达促进作用。
此外,绘云生物研究团队做了一系列基因敲除实验,发现结合型次级12羟胆汁酸是通过TGR5及其下游信号通路(ERK1/2和p38 MAPK)传导来促进HSCs增殖和激活的。

- 动物实验证实TDCA或GDCA能够直接激活肝星状细胞并促进肝纤维化的形成
除了体外实验表明TDCA和GDCA能够激活和促进肝纤维化形成外,绘云生物研究团队用四氯化碳诱导的肝纤维化小鼠模型进行了TDCA和GDCA与肝纤维化关系的体内实验研究,证实了TDCA以及GDCA能在体内直接激活肝星状细胞并促进肝纤维化的形成。
- 特异性敲除肝星状细胞Tgr5能显著降低肝纤维化
之前的LX-2细胞实验研究已表明TGR5是肝脏星状细胞激活和NASH关联肝纤维化所必需的。绘云生物研究团队再用特异性敲除小鼠模型进一步发现TGR5敲除小鼠在纤维化造模情况下胶原纤维水平和激活的肝星状细胞数明显下降,肝纤维化程度明显降低。
- 抑制12羟胆汁酸升高可有效预防或逆转肝纤维化
这次研究揭示了, 肝纤维化的形成与机体内循环胆汁酸尤其是结合型次级12羟胆汁酸水平升高密切相关 。
病理状态的高水平12羟胆酸可诱导肝星状细胞的活化,次级12羟胆汁酸TDCA和GDCA的作用更为明显。而这一类胆汁酸诱导星状细胞活化以及肝纤维化过程中,TGR5、ERK1/2和p38 MAPK是诱导星状细胞活化的重要信号介质。
本研究还提示 拮抗TGR5或抑制ERK1/2和p38 MAPK信号通路可有效预防或逆转肝纤维化 。
绘云生物多管齐下预防肝纤维化
检测试剂盒+智能软件+胆汁酸相关检测
迄今为止肝纤维化尚没有特异的临床诊断手段, 绘云生物开发的肝纤维化和肝硬化检测试剂盒及人工智能辅助软件可以帮助大众来预测和诊断肝纤维化以及分期 。
检测试剂盒是基于4500多例临床样本数据,通过代谢组学层层筛选的血清学指标的检测与分析,满足了临床上对于检测结果灵敏度和特异性的高标准与高要求。本试剂盒对肝纤维化,特别是早期肝纤维化诊断准确性较高,更便于动态监测疾病进展和疗效评估。
另外, 本文涉及的胆汁酸类代谢物检测,绘云生物均可提供全套解决方案 。绘云生物胆汁酸相关检测包括胆汁酸全谱检测、胆汁酸简谱检测、Q300全定量代谢检测、Q200宏代谢检测。其中,胆汁酸全谱分析平台可确保多种胆汁酸同分异构体获得较好的分离,并以10+同位素标记胆汁酸为内标可在多个物种、多种生物样本中精确定量60+种胆汁酸,部分检测列表如下:

绘云生物研究团队相关文献:
[1] Xie G, Jiang R, Wang X, Liu P, Zhao A, Wu Y, Huang F, Liu Z, Rajani C, Zheng X, Qiu J, Zhang X, Zhao S, Bian H, Gao X, Sun B, Jia W. Conjugated secondary 12α-hydroxylated bile acids promote liver fibrogenesis. EBioMedicine. 2021;66:103290.
[2] Jia W, Xie G, Jia W. Bile acid–microbiota crosstalk in gastrointestinal inflammation and carcinogenesis. Nature Reviews Gastroenterology Hepatology. 2018;15(2):111.
[3] Jia W, Wei M, Rajani C, Zheng X. Targeting the alternative bile acid synthetic pathway for metabolic diseases. Protein Cell. 2020. doi: 10.1007/s13238-020-00804-9.