导语:脑梗在近些年好像早已越来越普遍,据相关组织的数据分析表明,每一年增加脑梗总数约有550多万人,在其中年轻人所占总数已经在逐步升高。
37岁的王先生便是这550万人群中的一员,要知道,王先生平常烟酒不沾,却爱吃肥肉,腊肉等食物,还将肥肉戏称为“油面包”。
这让不够一米6的王先生,体重抵达了260斤重,在2年前,王先生还被得知了血脂高,医师叮嘱他控制饮食,少吃油腻感,可是,都被他给忽视了。

王先生近期觉得身体困乏,有时候身体右边还发生发麻,最初麻木频次较少,歇息后不适感便会缓解,王先生也就没太放在心里。
昨晚,王先生吃过晚餐,坐在沙发上和老婆聊天近期家中的事,还没有说几句就觉得嘴巴变硬,语言表述也出现了难题,接着眼前一黑,昏倒在地。
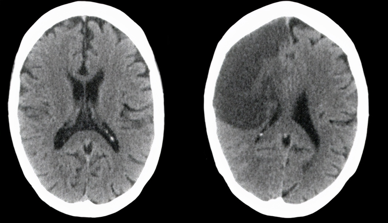
老婆瞧见马上联络120,抵达大医院后,医师马上分配查验,发觉王先生脑血管比较严重阻塞,诊断为脑梗,幸运地是送来及时,还有治愈的可能。

一、温馨提示:身体2处变硬,要留意脑血管的检查,别忽略
1、身体单侧僵硬
日常生活若是时常觉得身体一侧发麻或是肌肉僵硬,要留意脑血管的查验,要知道脑血管主要供给大脑及附近组织的血液和氧气。
若是脑血管阻塞,会造成 提供电脑上及额外机构的血细胞降低,导致机构、体细胞活力变弱,而操纵人体活动的神经中枢下丘脑垂体就坐落于在其中,导致身体一侧肌肉僵硬发生。

2、舌头发硬
有舌头发硬
,经常无意识流口水等现象,可能是脑梗到来的预兆,脑血管能够为头顶部提供血液,滋润神经系统,保持脑部或是神经的一切正常运行。
伴随着脑血管发生情况之后,很有可能会造成提供头顶部血液不够,危害到咽腔肌或是脸部的神经系统,就会增加舌头发硬几率和无意识流口水等状况。

二、脑血管不好的人,以下2种美食不可多吃
1、肥肉
肥肉 做成的特色美食,并不适宜长期性食用,其带上的植物油脂尽管能够为人体提供发热量,可是,在太多食用之后,非常容易引起血脂高,促进脑梗产生。
伴随着血液内脂质化学物质增加,血液黏稠度也会上升,还会继续让血管壁硬底化、脆化速度加速,造成硬底化斑点转化成,提升心血管堵塞概率,造成心脑血管病症。
因而, 肥肉 、煎炸等带上植物油脂多的食材,不要长时间食用,尤其是高血脂的人。

2、腊肉
腊肉、香肠等食品都应属高盐食材,而世界卫生组织强调,每日对食用盐的摄取量尽可能操控在6g下列,太多摄取盐分,会让血流量上升,引起血压高。
而血压高的发生是脑梗发病的主要发病原因,血压值过高,会让血管壁遭受的挤压力提升,还会继续让粘附的素餐、硬底化斑点掉下来,导致脑梗或是心肌梗塞发生。
提议,盐分高的食品或是调味品不要太多食用,饮食搭配尽可能维持口味淡。

三、减轻血管损害,日常生活里能做些什么?
常开展健身运动
日常生活要多留意健身运动,每日维持适量运动,对新陈代谢有协助,还能够让血管运送作用获得提高,减少血管病症发生,有利人体运作。
提示,每日要有少量的健身运动,健身时间要调节在30分钟之上,能够多做些有氧运动减肥,如跑步、练拳、游泳等。

结语:脑血管不太好的人,平常要维持稳定情绪,尽量避免发火,除此之外,脑梗发病后两小时之内是最好的急救时间,这时候要马上联络120,在120将来以前,要让病人尽可能平躺着,还需要特别注意口腔内部清除,防止排泄物危害呼吸系统,造成 氧气不足。