血友病性假肿瘤又称血友病性假性囊肿、血友病性血囊肿,是严重血友病较为罕见的一种并发症,属于血友病性骨关节病变的一种,发生率仅占严重血友病的1%~2%。由于对该病的临床及影像特点缺乏认识,多误诊为骨肿瘤或肿瘤样病变。
病因与发病机制
血友病为组织凝血因子缺乏引起的出血性遗传疾病。按缺乏因子的不同,分为A型( 第Ⅷ因子缺乏) 、B型( 第Ⅸ因子缺乏) 和C型( 第Ⅺ因子缺乏) 。
- A型和B 型为X 性染色体隐性遗传,仅男性发病,女性为携带者,患者有明显的骨与关节出血倾向;
- C型为常染色体显性遗传,男、女均可发病,此型病例少见,出血较轻,很少累及骨与关节。
血友病性假肿瘤是在血友病的基础上,无明显原因或轻微的外伤即可造成骨内或软骨下反复出血不止引起骨质吸收或囊变所致;病变机制为骨质及骨膜下出血,一方面造成骨膜增生,另一方面对骨皮质产生侵蚀性破坏,并沿骨质蔓延形成假性肿瘤;或骨皮质及髓腔内连续性出血,骨内压力增高,造成骨的破坏吸收,形成肿瘤样改变。
根据发病部位临床分为肌间型(Ⅰ型) 、骨膜下型(Ⅱ型) 和骨内型(Ⅲ型) 。
- 肌间型为血肿长时间对骨质产生外压性或侵蚀性破坏。
- 骨膜下型多见于长管状骨骨干,以股骨、胫骨多见,骨膜下出血对骨质的侵蚀性破坏,易引起病理性骨折,可引起骨膜反应。
- 骨内型多见于颅骨、髂骨和距骨等,骨内反复性出血,使骨髓内压力增高,引起骨质破坏,形成囊状透亮区,其内可有残留粗大骨嵴和破坏边缘硬化,周围骨皮质变薄扩张,甚至吸收中断,穿破骨皮质形成软组织肿块。
临床特点
血友病患者因凝血因子缺乏的程度不同,其病情也有差异。轻度患者凝血因子水平为20%~60%平时无症状,仅在外伤或手术时出血较多; 中度者凝血因子水平为5%~10%,手术或外伤后出血过多; 重度者凝血因子水平为1%~5%,常在轻度外伤后即出血不止或自发出血。
好发于青壮年,临床主要表现为局部瘤样肿胀,皮肤紧张发亮,中等硬,皮肤无发热,无血管曲线,伴有不同程度的疼痛、压痛及功能障碍,病程持续数月或数年则发生关节僵硬、畸形、肌肉萎缩,而致功能丧失。
该病凝血因子缺乏是内因,而创伤是血友病性假肿瘤的外因。
影像表现
好发部位:股骨、胫骨、髂骨、颅骨、跟骨、骰骨、尺骨和桡骨。
骨质以膨胀性破坏为主或侵蚀破坏:
- 骨内型血肿骨质以膨胀性破坏为主,极少数病例骨质以膨胀性并溶骨性破坏,也有病例以囊状破坏为主,可伴病理性骨折。骨膜下型或骨旁型血肿,则慢性骨膜下或骨旁血肿对骨质侵蚀或压迫作用,致骨质呈侵蚀性破坏或压迫相邻骨质形成压迹或缺损。
- 破坏区边缘骨质硬化。假瘤的血肿为慢性反复出血所致,骨内血肿在骨髓腔内压力逐渐增高,或肌间和骨膜下血肿持续产生对破坏边缘的骨质挤压,使破坏边缘骨质增生硬化。
- 骨膜增生。部分病例可出现假Codman 氏三角,酷似恶性骨肿瘤的骨膜反应,但假Codman 氏三角周边有明显骨质增生硬化,与恶性骨肿瘤和其他疾病引起的骨膜Codman 氏三角明显不同,可作为与恶性骨肿瘤和炎症性疾病鉴别点之一。
增强扫描无强化,骨质破坏区和软组织肿块均无明显强化,CT血管造影显示病变区和邻近血管受压移位。这与软组织肿瘤有着截然不同区别,尤其增强扫描无强化,是与软组织肿瘤鉴别的重点。
由于血肿为反复出血,病变区MRI 信号于T2WI、T1WI、SPAIR均为混杂信号。软组织肿块实质为肌间型血肿、骨膜下型或骨内型血肿突破骨皮质所形成的血肿,且MRI上信号混杂。
总之,主要影像表现如下:骨质膨胀性、侵蚀性及囊状破坏,破坏边缘硬化,骨皮质变薄,破坏区残留粗大骨嵴,软组织肿块,增强扫描病变区无强化,少数可有骨膜掀起,形成假Codman氏三角,肿块内钙化,伴病理性骨折。

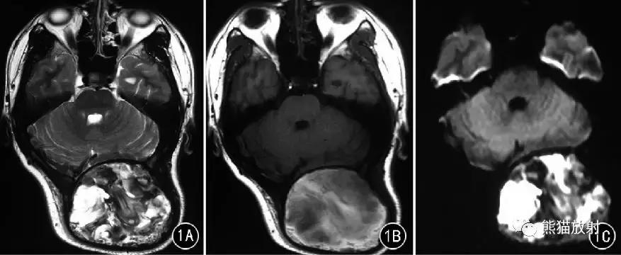
图1 男30岁。颅骨骨内型假肿瘤。枕部巨大肿块,枕骨内外板膨胀、受压,脑组织受压变形; T2WI(A) 、T1WI(B) 和DWI(C) 均呈高、低混杂信号。

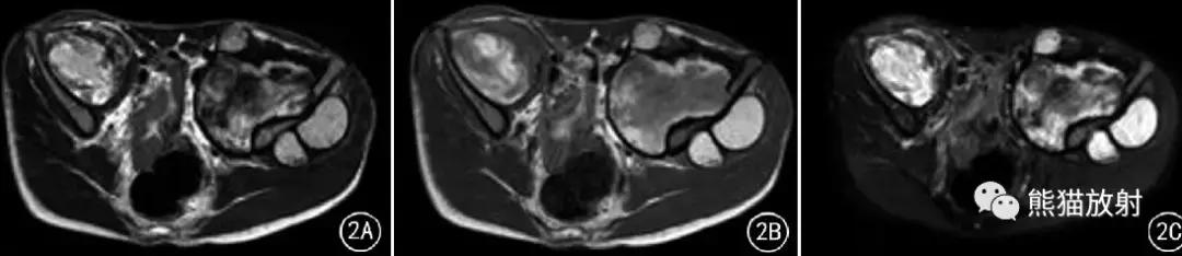
图2 男21岁。右侧髂前窝及左侧髂周围肌间型假肿瘤(血肿) 。右侧髂前方、左侧髂周围软组织块,左髂骨翼局部骨质侵蚀性吸收,邻近组织受压移位; T2WI(A) 、T1WI(B) 、SPAIR(C) 均呈高、低混杂信号。


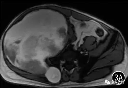
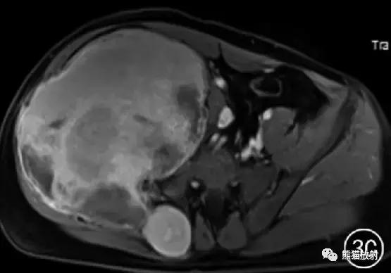
图3 男38岁。右侧髂骨骨内型假肿瘤。右侧髂骨区见巨大肿块,同髂骨翼骨质膨胀性破坏,邻近臀肌、髂腰肌及盆腔内组织受压移位,T1WI呈高、低混杂信号(A) ; 增强扫描未见强化。

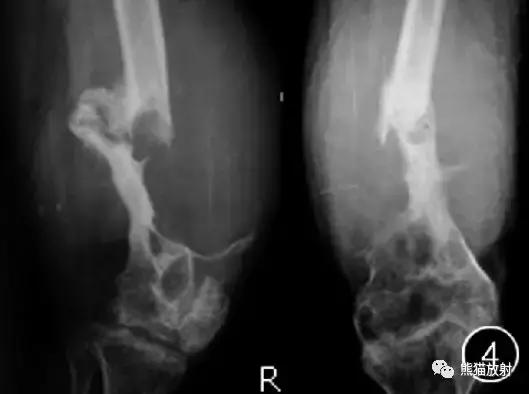
图4 男32岁。右侧股骨下段骨膜下型假肿瘤。DR显示右大腿下段软组织明显肿胀,股骨下段骨质膨胀并溶骨性破坏,边缘硬化,其内有残余骨嵴影,伴病理性骨折,骨折端见骨痂生长及骨质增生,左侧膝关节间隙变窄,关节面骨质硬化。

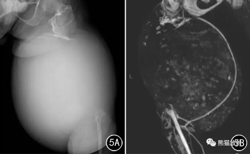
图5 男31岁。股骨中下段骨内型假肿瘤。DR示左侧股骨中下段骨质完全溶解吸收,股骨近端骨皮质呈“杯口状”,股骨粗隆间骨质囊状破坏,膝关节消失; 大腿软组织形成巨大肿块,其内有散在性斑点状高密影(A) ,CT血管造影显示股动脉受压推移(B)。
鉴别诊断
需与骨肉瘤、纤维肉瘤、恶性纤维组织细胞瘤、转移瘤、骨巨细胞瘤、动脉瘤样骨囊肿、骨髓炎等鉴别。
影像表现结合临床资料,尤其是家族史、发病于男性及凝血时间延长及多种影像学检查可提高诊断准确率。
该病治疗主要以保持机体功能为目标,保守治疗、手术或放疗等。
↓ 以上内容整理自:

来源:熊猫放射
【版权声明】本平台属公益学习平台,转载系出于传递更多学习信息之目的,且已标明作者和出处,如不希望被传播的老师可与我们联系删除